• 文献检索
  • 文档翻译
  • 深度研究
  • 学术资讯
  • Suppr Zotero 插件Zotero 插件
  • 邀请有礼
  • 套餐&价格
  • 历史记录
应用&插件
Suppr Zotero 插件Zotero 插件浏览器插件Mac 客户端Windows 客户端微信小程序
定价
高级版会员购买积分包购买API积分包
服务
文献检索文档翻译深度研究API 文档MCP 服务
关于我们
关于 Suppr公司介绍联系我们用户协议隐私条款
关注我们

Suppr 超能文献

核心技术专利:CN118964589B侵权必究
粤ICP备2023148730 号-1Suppr @ 2026

文献检索

告别复杂PubMed语法,用中文像聊天一样搜索,搜遍4000万医学文献。AI智能推荐,让科研检索更轻松。

立即免费搜索

文件翻译

保留排版,准确专业,支持PDF/Word/PPT等文件格式,支持 12+语言互译。

免费翻译文档

深度研究

AI帮你快速写综述,25分钟生成高质量综述,智能提取关键信息,辅助科研写作。

立即免费体验

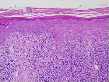
卡培他滨致光敏性苔藓样皮肤反应。

Photosensitive lichenoid skin reaction to capecitabine.

机构信息

Hematology/Oncology Department of Medicine, University of Wisconsin - Madison, Madison, WI, USA.

Dermatology Department, University of Wisconsin - Madison, Madison, WI, USA.

出版信息

BMC Cancer. 2017 Dec 19;17(1):866. doi: 10.1186/s12885-017-3882-4.

DOI:10.1186/s12885-017-3882-4
PMID:29258457
原文链接:https://pmc.ncbi.nlm.nih.gov/articles/PMC5735949/
Abstract

BACKGROUND

Capecitabine is an oral prodrug of fluorouracil, which is a common agent used in the management of many solid tumor malignancies. Dermatologic reaction is common with various chemotherapy agents but is not commonly reported in the use of capecitabine. When adverse reactions of rashes occur, the offending agent is typically removed. We report here an unusual case of photosensitive lichenoid rash due to capecitabine which is managed conservatively without major alteration in treatment.

CASE PRESENTATION

Seventy-three year old female with a diagnosis of stage IV breast cancer undergoing management with capecitabine presents with a rash during the summer months that is biopsy proven to be lichenoid photosensitive rash with likely offending agent being capecitabine. Her treatment was initially held despite having response to treatment, started on topical steroids after evaluation by dermatology. Given her response to treatment, drug was resumed with instructions to use sun precaution, sunscreen, and to complete course of topical steroids until rash resolution.

CONCLUSION

Drug-related rashes tend to lead to disruptions or alterations in treatments of malignancies, despite responses. Given the wide use of capecitabine in many different solid tumors, it is important to recognize this photosensitive related skin rash and to initiate appropriate precautions of sun safety and topical steroids to allow minimal disruptions in therapy and continue use of capecitabine.

摘要

背景

卡培他滨是氟尿嘧啶的口服前体药物,氟尿嘧啶是治疗多种实体瘤恶性肿瘤的常用药物。各种化疗药物都会引起皮肤反应,但卡培他滨的皮肤反应并不常见。当出现皮疹等不良反应时,通常会停用引起不良反应的药物。我们在此报告一例罕见的卡培他滨引起的光敏性苔藓样皮疹,该病例采用保守治疗,在治疗方案中未做重大调整。

病例介绍

一名 73 岁女性,诊断为 IV 期乳腺癌,接受卡培他滨治疗,在夏季出现皮疹。皮疹活检证实为苔藓样光敏性皮疹,可能的致病药物是卡培他滨。尽管治疗有反应,她的治疗最初还是被暂停了,并在皮肤科评估后开始使用局部皮质类固醇。鉴于她的治疗反应,在给予使用防晒措施、防晒霜和完成局部皮质类固醇疗程直至皮疹消退的指示后,恢复了药物治疗。

结论

尽管有治疗反应,药物相关性皮疹往往会导致恶性肿瘤治疗的中断或改变。鉴于卡培他滨在许多不同的实体瘤中的广泛应用,识别这种光敏相关的皮疹并采取适当的防晒和局部皮质类固醇预防措施非常重要,这可以将治疗中断降到最低限度,并继续使用卡培他滨。

https://cdn.ncbi.nlm.nih.gov/pmc/blobs/b910/5735949/49dd0e5bfd0d/12885_2017_3882_Fig2_HTML.jpg
https://cdn.ncbi.nlm.nih.gov/pmc/blobs/b910/5735949/7084d0131c44/12885_2017_3882_Fig1_HTML.jpg
https://cdn.ncbi.nlm.nih.gov/pmc/blobs/b910/5735949/49dd0e5bfd0d/12885_2017_3882_Fig2_HTML.jpg
https://cdn.ncbi.nlm.nih.gov/pmc/blobs/b910/5735949/7084d0131c44/12885_2017_3882_Fig1_HTML.jpg
https://cdn.ncbi.nlm.nih.gov/pmc/blobs/b910/5735949/49dd0e5bfd0d/12885_2017_3882_Fig2_HTML.jpg

相似文献

1
Photosensitive lichenoid skin reaction to capecitabine.卡培他滨致光敏性苔藓样皮肤反应。
BMC Cancer. 2017 Dec 19;17(1):866. doi: 10.1186/s12885-017-3882-4.
2
Lichenoid photosensitive eruption due to capecitabine chemotherapy for metastatic breast cancer.卡培他滨化疗所致转移性乳腺癌的苔藓样光敏性皮疹。
Clin Exp Dermatol. 2007 Jan;32(1):102-3. doi: 10.1111/j.1365-2230.2006.02245.x. Epub 2006 Jul 27.
3
Capecitabine-induced lichenoid drug eruption: a case report.卡培他滨诱发的苔藓样药疹:一例报告
Dermatol Online J. 2017 Feb 15;23(2):13030/qt75n8m2zq.
4
Two patients with isoniazid-induced photosensitive lichenoid eruptions confirmed by photopatch test.两名经光斑贴试验确诊为异烟肼诱发的光敏性苔藓样疹患者。
Photodermatol Photoimmunol Photomed. 1998 Apr;14(2):77-8. doi: 10.1111/j.1600-0781.1998.tb00017.x.
5
Lichenoid photosensitivity: an unusual reaction to doxycycline and an unusual response.苔藓样光敏反应:一种对多西环素的异常反应及异常表现。
Cutis. 2014 May;93(5):E1-2.
6
Photosensitive lichenoid drug eruption to capecitabine.卡培他滨引起的光敏性苔藓样药疹。
J Am Acad Dermatol. 2014 Aug;71(2):e52-3. doi: 10.1016/j.jaad.2014.01.884.
7
Resolution of pembrolizumab-associated lichenoid dermatitis with a single dose of methotrexate.单剂量甲氨蝶呤治愈派姆单抗相关的苔藓样皮炎。
Dermatol Online J. 2020 May 15;26(5):13030/qt6348767t.
8
Histologic Assessment of Lichenoid Dermatitis Observed in Patients With Advanced Malignancies on Antiprogramed Cell Death-1 (anti-PD-1) Therapy With or Without Ipilimumab.在接受或未接受伊匹木单抗治疗的晚期恶性肿瘤患者中,使用抗程序性细胞死亡蛋白1(抗PD-1)疗法时观察到的苔藓样皮炎的组织学评估
Am J Dermatopathol. 2017 Jan;39(1):23-27. doi: 10.1097/DAD.0000000000000587.
9
Lichenoid Dermatologic Toxicity From Immune Checkpoint Blockade Therapy: A Detailed Examination of the Clinicopathologic Features.免疫检查点阻断疗法引起的苔藓样皮肤毒性:临床病理特征的详细研究
Am J Dermatopathol. 2017 Feb;39(2):121-129. doi: 10.1097/DAD.0000000000000688.
10
[A Case of a Suspected Photosensitive Reaction Induced by Weekly Paclitaxel as Neoadjuvant Chemotherapy for Breast Cancer].[1例每周使用紫杉醇作为乳腺癌新辅助化疗引发疑似光敏反应的病例]
Gan To Kagaku Ryoho. 2015 Aug;42(8):981-4.

引用本文的文献

1
Drug-Induced Photosensitivity: Clinical Types of Phototoxicity and Photoallergy and Pathogenetic Mechanisms.药物性光敏反应:光毒性和光变应性的临床类型及发病机制
Front Allergy. 2022 Jun 20;3:876695. doi: 10.3389/falgy.2022.876695. eCollection 2022.
2
Beware the Unexpected Infection: Disseminated Varicella Zoster Virus Mimicking A Drug Eruption.当心意料之外的感染:播散性水痘带状疱疹病毒酷似药物疹。
J Investig Med High Impact Case Rep. 2022 Jan-Dec;10:23247096221117785. doi: 10.1177/23247096221117785.
3
Drug-Induced Photosensitivity-An Update: Culprit Drugs, Prevention and Management.

本文引用的文献

1
Capecitabine-induced leukocytoclastic vasculitis under neoadjuvant chemotherapy for locally advanced colorectal cancer.卡培他滨诱导的白细胞破碎性血管炎在局部晚期结直肠癌新辅助化疗中的情况
J Gastrointest Oncol. 2015 Jun;6(3):E40-3. doi: 10.3978/j.issn.2078-6891.2015.003.
2
Photosensitive lichenoid drug eruption to capecitabine.卡培他滨引起的光敏性苔藓样药疹。
J Am Acad Dermatol. 2014 Aug;71(2):e52-3. doi: 10.1016/j.jaad.2014.01.884.
3
Lapatinib plus capecitabine in patients with previously untreated brain metastases from HER2-positive metastatic breast cancer (LANDSCAPE): a single-group phase 2 study.
药物诱导光敏性:更新:致病药物、预防和管理。
Drug Saf. 2019 Jul;42(7):827-847. doi: 10.1007/s40264-019-00806-5.
拉帕替尼联合卡培他滨治疗人表皮生长因子受体 2 阳性转移性乳腺癌伴未经治疗的脑转移患者(LANDSCAPE):一项单组、Ⅱ期研究。
Lancet Oncol. 2013 Jan;14(1):64-71. doi: 10.1016/S1470-2045(12)70432-1. Epub 2012 Nov 2.
4
Capecitabine-induced stomatitis: a likely pathogenetic mechanism of oral lichenoid mucositis.卡培他滨引起的口腔炎:口腔苔藓样黏膜炎可能的发病机制。
Eur J Clin Pharmacol. 2009 Oct;65(10):1057-9. doi: 10.1007/s00228-009-0674-z. Epub 2009 Jun 12.
5
Capecitabine and trastuzumab in heavily pretreated metastatic breast cancer.卡培他滨与曲妥珠单抗用于多程治疗后的转移性乳腺癌
J Clin Oncol. 2007 Sep 1;25(25):3853-8. doi: 10.1200/JCO.2007.11.9776. Epub 2007 Aug 6.
6
Lichenoid photosensitive eruption due to capecitabine chemotherapy for metastatic breast cancer.卡培他滨化疗所致转移性乳腺癌的苔藓样光敏性皮疹。
Clin Exp Dermatol. 2007 Jan;32(1):102-3. doi: 10.1111/j.1365-2230.2006.02245.x. Epub 2006 Jul 27.
7
Tegaful photosensitivity--lichenoid and eczematous types.替加氟光敏性——苔藓样和湿疹样类型。
Photodermatol. 1986 Jun;3(3):192-3.