• 文献检索
  • 文档翻译
  • 深度研究
  • 学术资讯
  • Suppr Zotero 插件Zotero 插件
  • 邀请有礼
  • 套餐&价格
  • 历史记录
应用&插件
Suppr Zotero 插件Zotero 插件浏览器插件Mac 客户端Windows 客户端微信小程序
定价
高级版会员购买积分包购买API积分包
服务
文献检索文档翻译深度研究API 文档MCP 服务
关于我们
关于 Suppr公司介绍联系我们用户协议隐私条款
关注我们

Suppr 超能文献

核心技术专利:CN118964589B侵权必究
粤ICP备2023148730 号-1Suppr @ 2026

文献检索

告别复杂PubMed语法,用中文像聊天一样搜索,搜遍4000万医学文献。AI智能推荐,让科研检索更轻松。

立即免费搜索

文件翻译

保留排版,准确专业,支持PDF/Word/PPT等文件格式,支持 12+语言互译。

免费翻译文档

深度研究

AI帮你快速写综述,25分钟生成高质量综述,智能提取关键信息,辅助科研写作。

立即免费体验

食管鳞状细胞癌:组织学标准及其预后意义。

Squamous carcinoma of the oesophagus: histological criteria and their prognostic significance.

作者信息

Edwards J M, Hillier V F, Lawson R A, Moussalli H, Hasleton P S

机构信息

Department of Pathology, Wythenshawe Hospital, Manchester, UK.

出版信息

Br J Cancer. 1989 Mar;59(3):429-33. doi: 10.1038/bjc.1989.87.

DOI:10.1038/bjc.1989.87
PMID:2930710
原文链接:https://pmc.ncbi.nlm.nih.gov/articles/PMC2247087/
Abstract

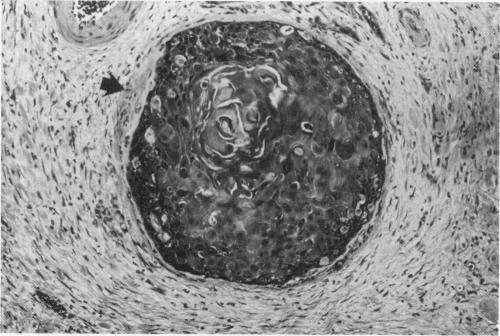
One hundred resected cases of squamous cell carcinomas of the oesophagus were reviewed and a series of histological criteria related to the survival time. Two histological features were important in the assessment of survival. Good prognostic factors were a marked lymphocytic response to the tumour and a lack of intravenous tumour infiltration. Presence of tumour in the middle third of the oesophagus, infiltration through the muscularis propria, severe tumour necrosis, glandular or small cell tumour differentiation, lymphatic invasion and lack of peritumoural fibrosis were all factors which tended to worsen prognosis. None of these factors reached statistical significance. The degree of squamous differentiation had no effect on survival.

摘要

回顾了100例食管鳞状细胞癌切除病例,并研究了一系列与生存时间相关的组织学标准。在评估生存情况时,有两个组织学特征很重要。良好的预后因素是对肿瘤有明显的淋巴细胞反应以及无肿瘤静脉浸润。肿瘤位于食管中段、浸润穿过固有肌层、严重肿瘤坏死、腺性或小细胞肿瘤分化、淋巴浸润以及无肿瘤周围纤维化都是倾向于使预后恶化的因素。这些因素均未达到统计学意义。鳞状分化程度对生存无影响。

https://cdn.ncbi.nlm.nih.gov/pmc/blobs/d3d3/2247087/820e44ae9dde/brjcancer00125-0111-c.jpg
https://cdn.ncbi.nlm.nih.gov/pmc/blobs/d3d3/2247087/17f9d83b82ee/brjcancer00125-0111-a.jpg
https://cdn.ncbi.nlm.nih.gov/pmc/blobs/d3d3/2247087/0944a6ab550b/brjcancer00125-0111-b.jpg
https://cdn.ncbi.nlm.nih.gov/pmc/blobs/d3d3/2247087/820e44ae9dde/brjcancer00125-0111-c.jpg
https://cdn.ncbi.nlm.nih.gov/pmc/blobs/d3d3/2247087/17f9d83b82ee/brjcancer00125-0111-a.jpg
https://cdn.ncbi.nlm.nih.gov/pmc/blobs/d3d3/2247087/0944a6ab550b/brjcancer00125-0111-b.jpg
https://cdn.ncbi.nlm.nih.gov/pmc/blobs/d3d3/2247087/820e44ae9dde/brjcancer00125-0111-c.jpg

相似文献

1
Squamous carcinoma of the oesophagus: histological criteria and their prognostic significance.食管鳞状细胞癌:组织学标准及其预后意义。
Br J Cancer. 1989 Mar;59(3):429-33. doi: 10.1038/bjc.1989.87.
2
Ploidy as a prognostic indicator in oesophageal squamous carcinoma and its relationship to various histological criteria.
J Pathol. 1989 Sep;159(1):35-41. doi: 10.1002/path.1711590110.
3
Evaluation of prognosis of squamous cell carcinoma of the oesophagus by endoscopic ultrasonography.内镜超声检查评估食管鳞状细胞癌的预后
Gut. 2000 Jul;47(1):120-5. doi: 10.1136/gut.47.1.120.
4
Poorer prognosis associated with simultaneous lymphatic and vascular invasion in patients with squamous carcinoma of the thoracic oesophagus.胸段食管鳞癌患者同时存在淋巴管和血管侵犯与预后不良相关。
Eur J Cardiothorac Surg. 2017 Aug 1;52(2):378-384. doi: 10.1093/ejcts/ezx081.
5
Nuclear morphometry lacks prognostic value in squamous cell carcinoma of the oesophagus.核形态测量学在食管鳞状细胞癌中缺乏预后价值。
Histol Histopathol. 1993 Jul;8(3):505-8.
6
The presence of lymphovascular and perineural infiltration after neoadjuvant therapy and oesophagectomy identifies patients at high risk for recurrence.新辅助治疗和食管切除术后出现淋巴管和神经周围浸润表明患者复发风险高。
Br J Cancer. 2015 Nov 17;113(10):1427-33. doi: 10.1038/bjc.2015.354. Epub 2015 Nov 10.
7
Prognostic significance of the T2 substage in patients with esophageal squamous cell carcinoma.食管鳞状细胞癌患者中T2亚分期的预后意义
Dis Esophagus. 2017 Apr 1;30(4):1-7. doi: 10.1093/dote/dow027.
8
Prognostic impact of upper, middle, and lower third mucosal or submucosal infiltration in early esophageal cancer.早期食管癌中上、中、下三分之一黏膜或黏膜下浸润的预后影响。
Ann Surg. 2011 Nov;254(5):802-7; discussion 807-8. doi: 10.1097/SLA.0b013e3182369128.
9
[Prognostic evaluation of squamous cell carcinoma of the esophagus].[食管癌鳞状细胞癌的预后评估]
Sov Med. 1991(10):68-9.
10
Prognostic Significance of Postoperative Complications After Curative Resection for Patients With Esophageal Squamous Cell Carcinoma.食管鳞状细胞癌患者根治性切除术后并发症的预后意义
Ann Surg. 2017 Mar;265(3):527-533. doi: 10.1097/SLA.0000000000001692.

引用本文的文献

1
Post-neoadjuvant cellular dissociation grading based on tumour budding and cell nest size is associated with therapy response and survival in oesophageal squamous cell carcinoma.基于肿瘤芽和细胞巢大小的新辅助后细胞解离分级与食管鳞癌的治疗反应和生存相关。
Br J Cancer. 2019 Dec;121(12):1050-1057. doi: 10.1038/s41416-019-0623-2. Epub 2019 Nov 6.
2
Prevalence and Prognostic Significance of Extramural Venous Invasion in Patients with Locally Advanced Esophageal Cancer.局部晚期食管癌患者的腔外静脉侵犯的流行率和预后意义。
Ann Surg Oncol. 2018 Jun;25(6):1588-1597. doi: 10.1245/s10434-018-6448-z. Epub 2018 Apr 2.
3

本文引用的文献

1
Carcinoma of thoracic oesophagus and cardia. A review of 405 cases.胸段食管癌和贲门癌。405例病例回顾。
Br J Surg. 1962 Mar;49:507-22. doi: 10.1002/bjs.18004921704.
2
Squamous cell carcinoma of the esophagus. Stromal inflammatory cell infiltration as a prognostic factor.
Cancer. 1961 Sep-Oct;14:921-33. doi: 10.1002/1097-0142(196109/10)14:5<921::aid-cncr2820140504>3.0.co;2-i.
3
The clinical significance of invasion of veins by rectal cancer.直肠癌侵犯静脉的临床意义。
[Grading of tumors in the tubular digestive tract : Esophagus, stomach, colon and rectum].
[管状消化道肿瘤的分级:食管、胃、结肠和直肠]
Pathologe. 2016 Jul;37(4):293-8. doi: 10.1007/s00292-016-0165-9.
4
Prognostic significance of circumferential resection margin involvement following oesophagectomy for cancer.食管癌切除术后环周切缘受累的预后意义
Br J Cancer. 2003 May 19;88(10):1549-52. doi: 10.1038/sj.bjc.6600931.
5
Plasminogen activators in normal tissue and carcinomas of the human oesophagus and stomach.人食管和胃癌组织及正常组织中的纤溶酶原激活剂
Gut. 1993 Jan;34(1):80-5. doi: 10.1136/gut.34.1.80.
6
Esophageal squamous cell carcinoma: pathology and prognosis.食管鳞状细胞癌:病理学与预后
World J Surg. 1994 May-Jun;18(3):321-30. doi: 10.1007/BF00316810.
7
Vascular invasion in non-small cell lung carcinoma.非小细胞肺癌中的血管侵犯
J Clin Pathol. 1992 Jul;45(7):591-3. doi: 10.1136/jcp.45.7.591.
Br J Surg. 1980 Jun;67(6):439-42. doi: 10.1002/bjs.1800670619.
4
Invasion of veins by carcinoma of rectum: method of detection, histological features and significance.直肠癌的静脉侵犯:检测方法、组织学特征及意义
Histopathology. 1981 Mar;5(2):141-63. doi: 10.1111/j.1365-2559.1981.tb01774.x.
5
Tissue culture of tumour biopsies in oesophageal carcinoma and correlations with prognosis.食管癌肿瘤活检组织培养及其与预后的相关性
S Afr J Surg. 1982 Dec;20(4):245-52.
6
Autopsy findings in squamous-cell carcinoma of the esophagus.食管鳞状细胞癌的尸检结果。
Cancer. 1982 Oct 15;50(8):1587-90. doi: 10.1002/1097-0142(19821015)50:8<1587::aid-cncr2820500820>3.0.co;2-s.
7
Autopsy findings in 111 cases of esophageal cancer.111例食管癌的尸检结果。
Cancer. 1981 Jul 15;48(2):329-35. doi: 10.1002/1097-0142(19810715)48:2<329::aid-cncr2820480219>3.0.co;2-v.
8
Small cell carcinoma of the esophagus: evidence for a unified histogenesis.
Hum Pathol. 1984 May;15(5):460-8. doi: 10.1016/s0046-8177(84)80081-7.
9
Small cell undifferentiated carcinoma of the esophagus. Case report with hormonal studies.食管小细胞未分化癌。病例报告及激素研究
Cancer. 1984 Apr 15;53(8):1746-51. doi: 10.1002/1097-0142(19840415)53:8<1746::aid-cncr2820530822>3.0.co;2-v.
10
Oesophageal squamous cell carcinoma: I. A critical review of surgery.食管鳞状细胞癌:I. 手术的批判性综述。
Br J Surg. 1980 Jun;67(6):381-90. doi: 10.1002/bjs.1800670602.