Suppr超能文献

Ino80在内皮细胞中的缺失会破坏冠状动脉血管生成并导致先天性心脏病。

Endothelial deletion of Ino80 disrupts coronary angiogenesis and causes congenital heart disease.

作者信息

Rhee Siyeon, Chung Jae I, King Devin A, D'amato Gaetano, Paik David T, Duan Anna, Chang Andrew, Nagelberg Danielle, Sharma Bikram, Jeong Youngtae, Diehn Maximilian, Wu Joseph C, Morrison Ashby J, Red-Horse Kristy

机构信息

Department of Biology, Stanford University, 371 Serra Mall, Stanford, CA, 94305, USA.

Stanford Cardiovascular Institute, Stanford University School of Medicine, Stanford, CA, 94305, USA.

出版信息

Nat Commun. 2018 Jan 25;9(1):368. doi: 10.1038/s41467-017-02796-3.

Abstract

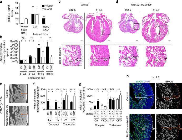
During development, the formation of a mature, well-functioning heart requires transformation of the ventricular wall from a loose trabecular network into a dense compact myocardium at mid-gestation. Failure to compact is associated in humans with congenital diseases such as left ventricular non-compaction (LVNC). The mechanisms regulating myocardial compaction are however still poorly understood. Here, we show that deletion of the Ino80 chromatin remodeler in vascular endothelial cells prevents ventricular compaction in the developing mouse heart. This correlates with defective coronary vascularization, and specific deletion of Ino80 in the two major coronary progenitor tissues-sinus venosus and endocardium-causes intermediate phenotypes. In vitro, endothelial cells promote myocardial expansion independently of blood flow in an Ino80-dependent manner. Ino80 deletion increases the expression of E2F-activated genes and endothelial cell S-phase occupancy. Thus, Ino80 is essential for coronary angiogenesis and allows coronary vessels to support proper compaction of the heart wall.

摘要

在心脏发育过程中,要形成一个成熟且功能良好的心脏,需要在妊娠中期将心室壁从疏松的小梁网络转变为致密的心肌层。心肌致密化失败在人类中与诸如左心室心肌致密化不全(LVNC)等先天性疾病相关。然而,调节心肌致密化的机制仍知之甚少。在此,我们表明,血管内皮细胞中Ino80染色质重塑因子的缺失会阻止发育中的小鼠心脏的心室致密化。这与冠状动脉血管生成缺陷相关,并且在两个主要的冠状动脉祖细胞组织——静脉窦和心内膜中特异性缺失Ino80会导致中间表型。在体外,内皮细胞以Ino80依赖的方式独立于血流促进心肌扩张。Ino80缺失会增加E2F激活基因的表达和内皮细胞的S期占有率。因此,Ino80对于冠状动脉血管生成至关重要,并使冠状动脉能够支持心脏壁的正常致密化。

https://cdn.ncbi.nlm.nih.gov/pmc/blobs/2eba/5785521/6b32d102068c/41467_2017_2796_Fig1_HTML.jpg

文献AI研究员

20分钟写一篇综述,助力文献阅读效率提升50倍。

立即体验

用中文搜PubMed

大模型驱动的PubMed中文搜索引擎

马上搜索

文档翻译

学术文献翻译模型,支持多种主流文档格式。

立即体验