• 文献检索
  • 文档翻译
  • 深度研究
  • 学术资讯
  • Suppr Zotero 插件Zotero 插件
  • 邀请有礼
  • 套餐&价格
  • 历史记录
应用&插件
Suppr Zotero 插件Zotero 插件浏览器插件Mac 客户端Windows 客户端微信小程序
定价
高级版会员购买积分包购买API积分包
服务
文献检索文档翻译深度研究API 文档MCP 服务
关于我们
关于 Suppr公司介绍联系我们用户协议隐私条款
关注我们

Suppr 超能文献

核心技术专利:CN118964589B侵权必究
粤ICP备2023148730 号-1Suppr @ 2026

文献检索

告别复杂PubMed语法,用中文像聊天一样搜索,搜遍4000万医学文献。AI智能推荐,让科研检索更轻松。

立即免费搜索

文件翻译

保留排版,准确专业,支持PDF/Word/PPT等文件格式,支持 12+语言互译。

免费翻译文档

深度研究

AI帮你快速写综述,25分钟生成高质量综述,智能提取关键信息,辅助科研写作。

立即免费体验

采用自膨式金属支架“并排”法并联合化疗成功治疗恶性隆突受累。

Successful management of malignant carinal involvement by "side-by-side" method of self-expandable metallic stents followed by chemotherapy.

作者信息

Takeda Takayuki, Itano Hideki, Takeuchi Mayumi, Saitoh Masahiko, Takeda Sorou

机构信息

Division of Respiratory Medicine Department of Internal Medicine Uji Tokushukai Medical Center 145, Ishibashi, Makishima-cho Uji Kyoto 611-0041 Japan.

Division of Thoracic Surgery Department of General Surgery Uji Tokushukai Medical Center 145, Ishibashi, Makishima-cho Uji Kyoto 611-0041 Japan.

出版信息

Clin Case Rep. 2017 Nov 20;6(1):27-31. doi: 10.1002/ccr3.1278. eCollection 2018 Jan.

DOI:10.1002/ccr3.1278
PMID:29375832
原文链接:https://pmc.ncbi.nlm.nih.gov/articles/PMC5771874/
Abstract

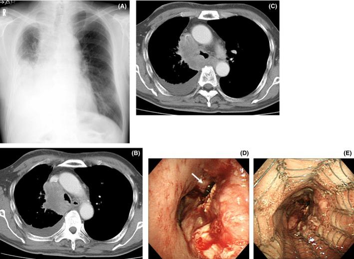
Bilateral self-expandable metallic stents may be useful in the management of malignant carinal involvement and may improve the performance status of patients. This strategy may allow patients with poor performance status to receive additional chemotherapy.

摘要

双侧自膨式金属支架可能有助于处理恶性隆突受累情况,并可能改善患者的功能状态。这一策略可能使功能状态较差的患者能够接受额外的化疗。

https://cdn.ncbi.nlm.nih.gov/pmc/blobs/9fc6/5771874/520ee6953569/CCR3-6-27-g003.jpg
https://cdn.ncbi.nlm.nih.gov/pmc/blobs/9fc6/5771874/facceb63a3fa/CCR3-6-27-g001.jpg
https://cdn.ncbi.nlm.nih.gov/pmc/blobs/9fc6/5771874/2b252296f868/CCR3-6-27-g002.jpg
https://cdn.ncbi.nlm.nih.gov/pmc/blobs/9fc6/5771874/520ee6953569/CCR3-6-27-g003.jpg
https://cdn.ncbi.nlm.nih.gov/pmc/blobs/9fc6/5771874/facceb63a3fa/CCR3-6-27-g001.jpg
https://cdn.ncbi.nlm.nih.gov/pmc/blobs/9fc6/5771874/2b252296f868/CCR3-6-27-g002.jpg
https://cdn.ncbi.nlm.nih.gov/pmc/blobs/9fc6/5771874/520ee6953569/CCR3-6-27-g003.jpg

相似文献

1
Successful management of malignant carinal involvement by "side-by-side" method of self-expandable metallic stents followed by chemotherapy.采用自膨式金属支架“并排”法并联合化疗成功治疗恶性隆突受累。
Clin Case Rep. 2017 Nov 20;6(1):27-31. doi: 10.1002/ccr3.1278. eCollection 2018 Jan.
2
Management of malignant carinal involvement using 'side-by-side' method of bilateral self-expandable metallic stents.使用双侧自膨式金属支架“并排”法治疗恶性隆突受累
Respirol Case Rep. 2018 Dec 10;7(2):e00396. doi: 10.1002/rcr2.396. eCollection 2019 Feb.
3
Bilateral self-expandable metallic stents for lung cancer involving the carina.用于累及隆突的肺癌的双侧自膨式金属支架
Respirol Case Rep. 2013 Dec;1(2):48-51. doi: 10.1002/rcr2.26. Epub 2013 Oct 3.
4
Comparison of covered and uncovered self-expandable stents in the treatment of malignant biliary obstruction.覆膜与非覆膜自膨式支架治疗恶性胆管梗阻的比较。
Rev Esp Enferm Dig. 2016 May;108(5):246-9. doi: 10.17235/reed.2016.4161/2015.
5
Factors leading to tracheobronchial self-expandable metallic stent fracture.导致气管支气管自膨式金属支架断裂的因素。
J Thorac Cardiovasc Surg. 2008 Nov;136(5):1328-35. doi: 10.1016/j.jtcvs.2008.05.039. Epub 2008 Sep 6.
6
Predictors of stent dysfunction after self-expandable metal stent placement for malignant gastric outlet obstruction: tumor ingrowth in uncovered stents and migration of covered stents.自膨式金属支架置入治疗恶性胃出口梗阻后支架功能障碍的预测因素:uncovered stents 中的肿瘤生长和 covered stents 的迁移。
Surg Endosc. 2017 Oct;31(10):4165-4173. doi: 10.1007/s00464-017-5471-7. Epub 2017 Mar 9.
7
Use of self-expandable metallic stents in benign GI diseases.自膨式金属支架在良性胃肠道疾病中的应用。
Gastrointest Endosc. 2003 Aug;58(2):207-12. doi: 10.1067/mge.2003.343.
8
Self-expandable metallic stents in the management of malignant biliary obstruction.自膨式金属支架在恶性胆管梗阻治疗中的应用
J Formos Med Assoc. 1996 Apr;95(4):298-302.
9
Single-step simultaneous side-by-side placement of a self-expandable metallic stent with a 6-Fr delivery system for unresectable malignant hilar biliary obstruction: a feasibility study.使用6F输送系统单步同步并排置入自膨式金属支架治疗不可切除的恶性肝门部胆管梗阻:一项可行性研究
J Hepatobiliary Pancreat Sci. 2015 Feb;22(2):151-5. doi: 10.1002/jhbp.173. Epub 2014 Oct 23.
10
Fluoroscopically guided placement of a covered self-expandable metallic stent for malignant antroduodenal obstructions: preliminary results in 18 patients.荧光透视引导下置入覆膜自膨式金属支架治疗恶性十二指肠梗阻:18例初步结果
AJR Am J Roentgenol. 2002 Apr;178(4):847-52. doi: 10.2214/ajr.178.4.1780847.

引用本文的文献

1
Management of malignant carinal involvement using 'side-by-side' method of bilateral self-expandable metallic stents.使用双侧自膨式金属支架“并排”法治疗恶性隆突受累
Respirol Case Rep. 2018 Dec 10;7(2):e00396. doi: 10.1002/rcr2.396. eCollection 2019 Feb.

本文引用的文献

1
Bilateral self-expandable metallic stents for lung cancer involving the carina.用于累及隆突的肺癌的双侧自膨式金属支架
Respirol Case Rep. 2013 Dec;1(2):48-51. doi: 10.1002/rcr2.26. Epub 2013 Oct 3.
2
Side-by-side versus stent-in-stent deployment in bilateral endoscopic metal stenting for malignant hilar biliary obstruction.双侧内镜下金属支架置入术治疗恶性肝门部胆管梗阻时支架对置与支架内再置的比较。
Dig Dis Sci. 2012 Dec;57(12):3279-85. doi: 10.1007/s10620-012-2270-9. Epub 2012 Jun 26.
3
An outcome analysis of self-expandable metallic stents in central airway obstruction: a cohort study.
中心气道梗阻中自膨式金属支架的疗效分析:一项队列研究。
J Cardiothorac Surg. 2011 Apr 8;6:46. doi: 10.1186/1749-8090-6-46.
4
Therapeutic bronchoscopy for malignant airway stenoses: choice of modality and survival.恶性气道狭窄的治疗性支气管镜检查:方式选择与生存率
J Cancer Res Ther. 2010 Apr-Jun;6(2):204-9. doi: 10.4103/0973-1482.65250.
5
A novel anatomy-conforming metallic stent for tracheobronchial stenosis.一种用于气管支气管狭窄的新型解剖学适配金属支架。
Ann Thorac Surg. 2008 Jun;85(6):2100-3. doi: 10.1016/j.athoracsur.2007.11.076.
6
Placement of two types of spiral Z-stents at the bronchial carina for the treatment of terminal lung cancer--a new method.
J Int Med Res. 2006 Sep-Oct;34(5):556-62. doi: 10.1177/147323000603400514.
7
Use of the Dumon Y-stent in the management of malignant disease involving the carina: a retrospective review of 86 patients.使用杜蒙Y型支架治疗累及隆突的恶性疾病:86例患者的回顾性研究
Chest. 2004 Sep;126(3):951-8. doi: 10.1378/chest.126.3.951.
8
[Self-expanding nitinol stents for treatment of bilateral main bronchial stenosis caused by esophageal cancer].
Nihon Kyobu Geka Gakkai Zasshi. 1997 Aug;45(8):1183-8.