Ouellet Simon, Binette Audrey, Nguyen Alexander, Garde-Granger Perrine, Sabbagh Robert
Department of Surgery, Division of Urology, Université de Sherbrooke, Centre Hospitalier Universitaire de Sherbrooke (CHUS), 3001 12e avenue Nord, Sherbrooke, QC, J1H 5N4, Canada.
Department of Obstetrics and Gynaecology, Université de Sherbrooke, Centre Hospitalier Universitaire de Sherbrooke (CHUS), 3001 12e avenue Nord, Sherbrooke, Canada.
BMC Urol. 2018 Jan 30;18(1):4. doi: 10.1186/s12894-018-0317-8.
We report an unusual case of a synchronous rectal and metachronous vaginal metastatic renal cell carcinoma.
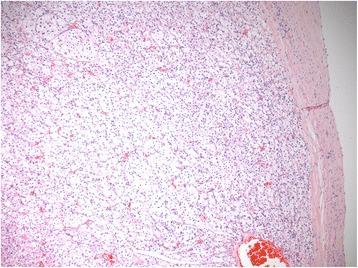
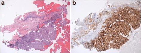
A 78-year-old woman presented with hematochezia and a colonoscopy revealed a metastatic clear-cell renal cell carcinoma rectal polyp biopsy-proven. Abdominal computed tomography identified a 9.0-cm left renal mass with renal vein thrombosis, for which she underwent a laparoscopic radical nephrectomy. Histopathological examination confirmed a pT clear-cell renal cell carcinoma. Seven months later, the patient presented with vaginal bleeding. Physical examination revealed a vaginal polypoid mass and biopsy confirmed a clear-cell renal cell carcinoma metastasis.
This case represents unusual manifestations of metastatic renal cell carcinoma and is a reminder of the wide spectrum of clinical course of this disease.
我们报告一例罕见的同时性直肠和异时性阴道转移性肾细胞癌病例。
一名78岁女性因便血就诊,结肠镜检查发现经活检证实为转移性透明细胞肾细胞癌的直肠息肉。腹部计算机断层扫描发现左肾有一个9.0厘米的肿块并伴有肾静脉血栓形成,为此她接受了腹腔镜根治性肾切除术。组织病理学检查证实为pT透明细胞肾细胞癌。七个月后,患者出现阴道出血。体格检查发现阴道有息肉样肿块,活检证实为透明细胞肾细胞癌转移。
该病例代表了转移性肾细胞癌的不寻常表现,并提醒人们注意这种疾病广泛的临床病程。