• 文献检索
  • 文档翻译
  • 深度研究
  • 学术资讯
  • Suppr Zotero 插件Zotero 插件
  • 邀请有礼
  • 套餐&价格
  • 历史记录
应用&插件
Suppr Zotero 插件Zotero 插件浏览器插件Mac 客户端Windows 客户端微信小程序
定价
高级版会员购买积分包购买API积分包
服务
文献检索文档翻译深度研究API 文档MCP 服务
关于我们
关于 Suppr公司介绍联系我们用户协议隐私条款
关注我们

Suppr 超能文献

核心技术专利:CN118964589B侵权必究
粤ICP备2023148730 号-1Suppr @ 2026

文献检索

告别复杂PubMed语法,用中文像聊天一样搜索,搜遍4000万医学文献。AI智能推荐,让科研检索更轻松。

立即免费搜索

文件翻译

保留排版,准确专业,支持PDF/Word/PPT等文件格式,支持 12+语言互译。

免费翻译文档

深度研究

AI帮你快速写综述,25分钟生成高质量综述,智能提取关键信息,辅助科研写作。

立即免费体验

肾细胞癌最初表现为阴道肿物伴大量出血。

Initial presentation of renal cell carcinoma as a vaginal mass with excessive bleeding.

作者信息

Yordanov Angel, Kostov Stoyan, Kornovski Yavor, Ivanova Yonka, Slavchev Stanislav, Kostov Gancho, Strashilov Strahil

机构信息

Department of Gynaecological Oncology, Medical University Pleven, Pleven, Bulgaria.

Department of Gynaecology, Medical University of Varna "Prof. Dr. Paraskev Stoyanov", Varna, Bulgaria.

出版信息

Prz Menopauzalny. 2022 Dec;21(4):285-288. doi: 10.5114/pm.2022.124020. Epub 2022 Dec 30.

DOI:10.5114/pm.2022.124020
PMID:36704765
原文链接:https://pmc.ncbi.nlm.nih.gov/articles/PMC9871993/
Abstract

INTRODUCTION

Renal cancer is the seventh most common cancer in men and the tenth most common cancer in women. Renal cell carcinoma accounts for 3% of all adult malignancies and 85% of all primary renal tumours. It metastasizes most often to the lungs, liver, bones, and brain and very rarely to the vagina.

CASE REPORT

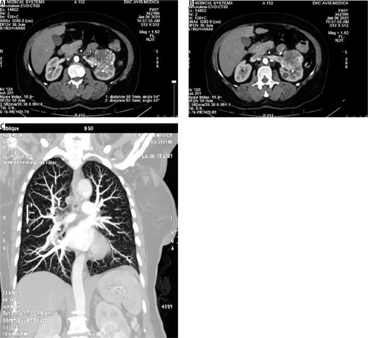
We present a case of a 60-year-old patient, in whom the renal cell carcinoma manifested for the first time as an intense bleeding, soft tumour formation with dimensions 4/6 cm originating in the vagina.

DISCUSSION

Renal cell carcinoma metastasizes in about 30% of cases. Metastasizing can be lymphatic, hematogenous, transcoelomic, or by direct invasion. Most commonly it affects the lungs, bones, adrenal glands, liver, lymph nodes, and brain. Much less often, it metastasizes to the thyroid, orbit, nasal structures, vagina, gallbladder, pancreas, sublingual tissues, and soft tissues of distal extremities. Metastases can be synchronous and metachronous. The described cases in the literature of renal cell carcinoma manifested with vaginal metastases are isolated.

CONCLUSIONS

We present an extremely rare case of renal cell carcinoma manifested by profuse genital bleeding from a vaginal metastasis. In such cases, especially if the vaginal lesion does not appear as the primary vaginal carcinoma, we must consider the possibility of metastasis from renal carcinoma.

摘要

引言

肾癌是男性中第七大常见癌症,女性中第十大常见癌症。肾细胞癌占所有成人恶性肿瘤的3%,占所有原发性肾肿瘤的85%。它最常转移至肺、肝、骨和脑,很少转移至阴道。

病例报告

我们报告一例60岁患者,其肾细胞癌首次表现为阴道内出现大量出血、大小为4/6厘米的柔软肿瘤形成。

讨论

肾细胞癌约30%会发生转移。转移途径可以是淋巴转移、血行转移、种植转移或直接侵犯。最常受累的部位是肺、骨、肾上腺、肝、淋巴结和脑。较少见的是转移至甲状腺、眼眶、鼻结构、阴道、胆囊、胰腺、舌下组织和远端肢体的软组织。转移可以是同时性的,也可以是异时性的。文献中描述的肾细胞癌表现为阴道转移的病例是孤立的。

结论

我们报告了一例极其罕见的肾细胞癌,表现为阴道转移导致大量生殖器出血。在这种情况下,尤其是如果阴道病变不表现为原发性阴道癌,我们必须考虑肾癌转移的可能性。

https://cdn.ncbi.nlm.nih.gov/pmc/blobs/31ff/9871993/fbc4c32293c9/MR-21-49876-g003.jpg
https://cdn.ncbi.nlm.nih.gov/pmc/blobs/31ff/9871993/5b482b6cd194/MR-21-49876-g001.jpg
https://cdn.ncbi.nlm.nih.gov/pmc/blobs/31ff/9871993/de03682b81fa/MR-21-49876-g002.jpg
https://cdn.ncbi.nlm.nih.gov/pmc/blobs/31ff/9871993/fbc4c32293c9/MR-21-49876-g003.jpg
https://cdn.ncbi.nlm.nih.gov/pmc/blobs/31ff/9871993/5b482b6cd194/MR-21-49876-g001.jpg
https://cdn.ncbi.nlm.nih.gov/pmc/blobs/31ff/9871993/de03682b81fa/MR-21-49876-g002.jpg
https://cdn.ncbi.nlm.nih.gov/pmc/blobs/31ff/9871993/fbc4c32293c9/MR-21-49876-g003.jpg

相似文献

1
Initial presentation of renal cell carcinoma as a vaginal mass with excessive bleeding.肾细胞癌最初表现为阴道肿物伴大量出血。
Prz Menopauzalny. 2022 Dec;21(4):285-288. doi: 10.5114/pm.2022.124020. Epub 2022 Dec 30.
2
Vaginal bleeding as a rare presentation of metastatic renal cell carcinoma: Case report and literature review.阴道出血作为转移性肾细胞癌的罕见表现:病例报告及文献综述
Int J Surg Case Rep. 2023 Sep;110:108657. doi: 10.1016/j.ijscr.2023.108657. Epub 2023 Aug 11.
3
Vaginal Bleeding as Initial Presentation of an Aggressive Renal Cell Carcinoma: A Case Report and Review of the Literature.阴道出血作为侵袭性肾细胞癌的首发表现:一例病例报告及文献复习
Case Rep Pathol. 2018 Jun 4;2018:2109279. doi: 10.1155/2018/2109279. eCollection 2018.
4
Synchronous Metastatic Clear Cell Renal Cell Carcinoma to the Gallbladder With Metachronous Contralateral Recurrence.同步性转移至胆囊的透明细胞肾细胞癌伴异时性对侧复发
Cureus. 2021 May 13;13(5):e15007. doi: 10.7759/cureus.15007.
5
Gynecologic bleeding revealing vaginal metastasis of renal cell carcinoma.妇科出血提示肾细胞癌阴道转移。
Pan Afr Med J. 2013;14:62. doi: 10.11604/pamj.2013.14.62.838. Epub 2013 Feb 14.
6
Tumor-to-tumor metastases: papillary thyroid carcinoma into a clear cell renal cell carcinoma.肿瘤至肿瘤转移:甲状腺乳头状癌转移至肾透明细胞癌
J Otolaryngol Head Neck Surg. 2017 Mar 1;46(1):17. doi: 10.1186/s40463-017-0193-3.
7
Vaginal bleeding as primary presentation of renal cell carcinoma.阴道出血为首诊表现的肾细胞癌。
CEN Case Rep. 2020 May;9(2):138-140. doi: 10.1007/s13730-019-00442-z. Epub 2020 Jan 8.
8
Vagina as a rare location of renal cell carcinoma metastasis.阴道作为肾细胞癌转移的罕见部位。
Eur J Gynaecol Oncol. 2016;37(3):434-5.
9
Vaginal metastasis and thrombocytopenia from renal cell carcinoma.肾细胞癌导致的阴道转移和血小板减少症。
Gynecol Oncol. 2004 Mar;92(3):970-3. doi: 10.1016/j.ygyno.2003.11.046.
10
Unexpected Gallbladder Metastasis of Clear Cell Renal Carcinoma.透明细胞肾细胞癌意外发生胆囊转移
Clin Pathol. 2019 Jul 22;12:2632010X19861112. doi: 10.1177/2632010X19861112. eCollection 2019 Jan-Dec.

引用本文的文献

1
Vulvar Metastasis in Renal Cell Carcinoma: A Case Report Highlighting the Aggressive Nature of Clear Cell Renal Cell Carcinoma.肾细胞癌的外阴转移:一例报告凸显透明细胞肾细胞癌的侵袭性
Curr Oncol. 2024 Dec 25;32(1):4. doi: 10.3390/curroncol32010004.

本文引用的文献

1
Vaginal bleeding as primary presentation of renal cell carcinoma.阴道出血为首诊表现的肾细胞癌。
CEN Case Rep. 2020 May;9(2):138-140. doi: 10.1007/s13730-019-00442-z. Epub 2020 Jan 8.
2
Renal cell carcinoma: ESMO Clinical Practice Guidelines for diagnosis, treatment and follow-up†.肾细胞癌:ESMO 诊断、治疗及随访临床实践指南†
Ann Oncol. 2019 May 1;30(5):706-720. doi: 10.1093/annonc/mdz056.
3
Vaginal Bleeding as Initial Presentation of an Aggressive Renal Cell Carcinoma: A Case Report and Review of the Literature.
阴道出血作为侵袭性肾细胞癌的首发表现:一例病例报告及文献复习
Case Rep Pathol. 2018 Jun 4;2018:2109279. doi: 10.1155/2018/2109279. eCollection 2018.
4
Metastatic renal cell carcinoma initially presenting with hematochezia and subsequently with vaginal bleeding: a case report.以便血起病、后出现阴道出血的转移性肾细胞癌:一例报告
BMC Urol. 2018 Jan 30;18(1):4. doi: 10.1186/s12894-018-0317-8.
5
Bilateral synchronous adrenal metastases of renal cell carcinoma: A case report and review of the literature.肾细胞癌双侧同步肾上腺转移:一例报告并文献复习
Oncol Lett. 2015 Apr;9(4):1897-1901. doi: 10.3892/ol.2015.2915. Epub 2015 Jan 28.
6
Metastatic renal cell carcinoma: radiologic findings and assessment of response to targeted antiangiogenic therapy by using multidetector CT.转移性肾细胞癌:多排 CT 检查的影像学表现与靶向抗血管生成治疗反应评估。
Radiographics. 2013 Oct;33(6):1691-716. doi: 10.1148/rg.336125110.
7
Metastatic renal cell carcinoma to vagina and review of literature.阴道转移性肾细胞癌及文献综述
Chin Med J (Engl). 2013;126(9):1793.
8
Gynecologic bleeding revealing vaginal metastasis of renal cell carcinoma.妇科出血提示肾细胞癌阴道转移。
Pan Afr Med J. 2013;14:62. doi: 10.11604/pamj.2013.14.62.838. Epub 2013 Feb 14.
9
Metastases from renal cell carcinoma presenting as gastrointestinal bleeding: two case reports and a review of the literature.以胃肠道出血为表现的肾细胞癌转移:两例病例报告及文献复习
BMC Gastroenterol. 2007 Jan 31;7:4. doi: 10.1186/1471-230X-7-4.
10
Vaginal metastasis and thrombocytopenia from renal cell carcinoma.肾细胞癌导致的阴道转移和血小板减少症。
Gynecol Oncol. 2004 Mar;92(3):970-3. doi: 10.1016/j.ygyno.2003.11.046.