Suppr超能文献

转移至膀胱:肾细胞癌复发的罕见部位

Metastasis to the Bladder: A Rare Site of Recurrence of Renal Cell Carcinoma.

作者信息

Smart Amanda, Wynne Michael, Baraban Ezra, Ged Yasser, Smith Armine

机构信息

Department of Urology, George Washington University Hospital, Washington, DC, USA.

Department of Pathology, Johns Hopkins University School of Medicine, Baltimore, MD, USA.

出版信息

Case Rep Urol. 2022 Jun 17;2022:4339270. doi: 10.1155/2022/4339270. eCollection 2022.

Abstract

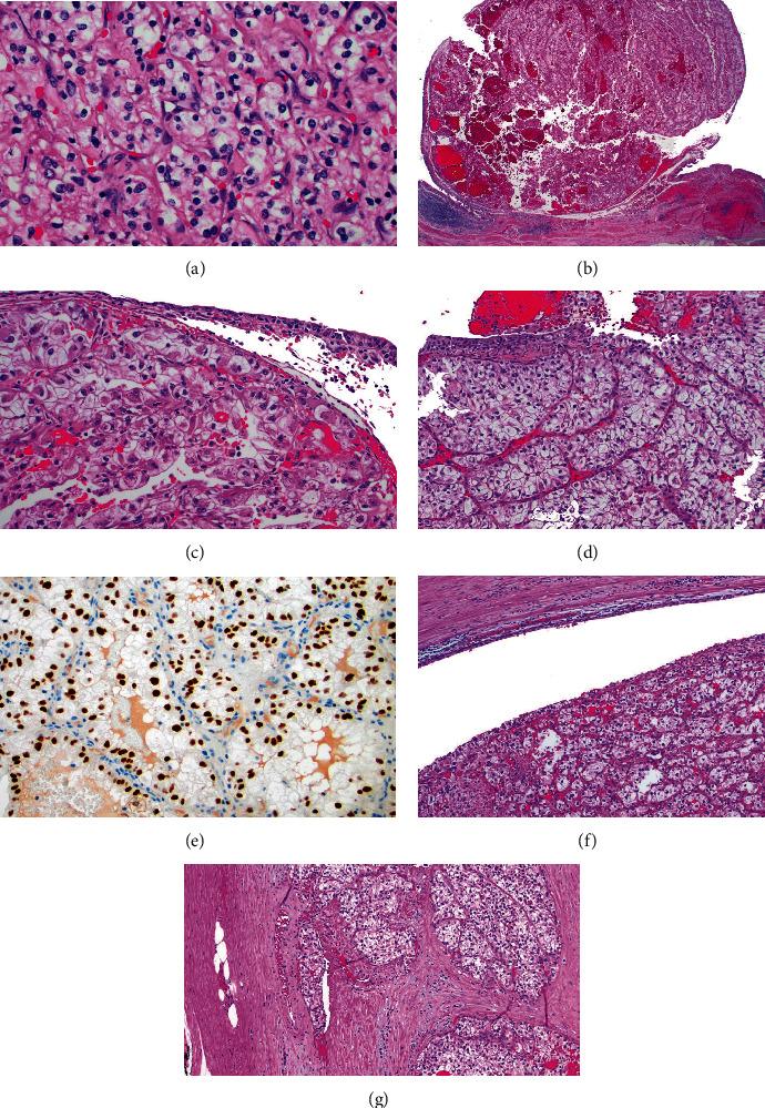
Renal cell carcinoma (RCC) is considered to be the deadliest urologic cancer with high rates of metastasis and recurrence after nephrectomy. RCC can metastasize to nearly any organ but most commonly metastasizes to the liver, lung, brain, and bone. To date, there are only about 40 reported cases of RCC with solitary bladder metastasis. The following report contributes to this limited data set of patients with RCC who develop solitary metastasis to the bladder. A 69-year-old male presented with occasional gross hematuria and was found to have a left renal mass infiltrating the collecting system. Ureteroscopic biopsy revealed clear cell RCC, and the patient subsequently underwent radical left nephrectomy. Eight months after nephrectomy, the patient presented to the clinic with gross hematuria. In-office cystoscopy demonstrated a nodular lesion in the bladder arising from the left ureteral orifice. The patient underwent transurethral resection of the bladder mass and pathology demonstrated clear cell RCC. Subsequent imaging showed no evidence of metastatic disease. Five months after transurethral resection, the patient was found to have a left distal ureteral mass and underwent left ureterectomy with partial cystectomy. Pathology again demonstrated clear cell RCC. RCC with solitary metastasis to the bladder is rare, and there are no targeted guideline recommendations for management. Per standard of care, patients with painless hematuria and risk factors for malignancy should undergo cystoscopy. In patients with a history of RCC, metastasis to the bladder should be considered in the differential diagnosis. Patients with metastatic RCC to the bladder should undergo a thorough work-up for additional sites of metastasis. In patients with RCC who develop solitary bladder metastasis amenable to resection following nephrectomy, there is a lack of evidence to guide therapy and a multidisciplinary discussion is warranted. However, if the tumor is amenable to resection, metastasectomy is a reasonable therapeutic approach and offers the patient an improved quality of life and an opportunity for remission.

摘要

肾细胞癌(RCC)被认为是最致命的泌尿系统癌症,肾切除术后转移和复发率很高。RCC几乎可以转移到任何器官,但最常见的是转移到肝脏、肺、脑和骨骼。迄今为止,仅有约40例RCC发生孤立性膀胱转移的报告病例。以下报告为这一有限的RCC患者数据集做出了贡献,这些患者发生了孤立性膀胱转移。一名69岁男性出现偶尔的肉眼血尿,发现左肾肿块侵犯集合系统。输尿管镜活检显示为透明细胞RCC,患者随后接受了根治性左肾切除术。肾切除术后8个月,患者因肉眼血尿就诊。门诊膀胱镜检查显示膀胱内有一个结节性病变,起源于左输尿管口。患者接受了经尿道膀胱肿块切除术,病理显示为透明细胞RCC。随后的影像学检查未发现转移疾病的证据。经尿道切除术后5个月,患者发现左输尿管远端有肿块,接受了左输尿管切除术及部分膀胱切除术。病理再次显示为透明细胞RCC。RCC发生孤立性膀胱转移很罕见,目前尚无针对性的管理指南建议。按照标准治疗,有无痛性血尿且有恶性肿瘤风险因素的患者应接受膀胱镜检查。有RCC病史的患者,鉴别诊断时应考虑膀胱转移。膀胱转移的RCC患者应进行全面检查以寻找其他转移部位。对于肾切除术后发生孤立性膀胱转移且适合切除的RCC患者,缺乏指导治疗的证据,因此有必要进行多学科讨论。然而,如果肿瘤适合切除,转移灶切除术是一种合理的治疗方法,可为患者提高生活质量并提供缓解机会。

https://cdn.ncbi.nlm.nih.gov/pmc/blobs/2624/9232330/67a228c77a8c/CRIU2022-4339270.001.jpg

文献AI研究员

20分钟写一篇综述,助力文献阅读效率提升50倍。

立即体验

用中文搜PubMed

大模型驱动的PubMed中文搜索引擎

马上搜索

文档翻译

学术文献翻译模型,支持多种主流文档格式。

立即体验