• 文献检索
  • 文档翻译
  • 深度研究
  • 学术资讯
  • Suppr Zotero 插件Zotero 插件
  • 邀请有礼
  • 套餐&价格
  • 历史记录
应用&插件
Suppr Zotero 插件Zotero 插件浏览器插件Mac 客户端Windows 客户端微信小程序
定价
高级版会员购买积分包购买API积分包
服务
文献检索文档翻译深度研究API 文档MCP 服务
关于我们
关于 Suppr公司介绍联系我们用户协议隐私条款
关注我们

Suppr 超能文献

核心技术专利:CN118964589B侵权必究
粤ICP备2023148730 号-1Suppr @ 2026

文献检索

告别复杂PubMed语法,用中文像聊天一样搜索,搜遍4000万医学文献。AI智能推荐,让科研检索更轻松。

立即免费搜索

文件翻译

保留排版,准确专业,支持PDF/Word/PPT等文件格式,支持 12+语言互译。

免费翻译文档

深度研究

AI帮你快速写综述,25分钟生成高质量综述,智能提取关键信息,辅助科研写作。

立即免费体验

[物质名称]对四氯化碳诱导的大鼠肝毒性的抗氧化及肝保护作用。 (注:原文中“against CCl-induced hepatotoxicity in rats”前缺少具体物质,这里用[物质名称]代替以便完整表达句子逻辑)

Antioxidant and hepatoprotective effects of against CCl-induced hepatotoxicity in rats.

作者信息

Zarezade Vahid, Moludi Jalal, Mostafazadeh Mostafa, Mohammadi Mohammad, Veisi Ali

机构信息

Behbahan Faculty of Medical Sciences, Behbahan, Iran.

Nutrition Research Center, Department of Biochemistry and Diet Therapy, Faculty of Nutrition, Tabriz University of Medical Sciences, Tabriz, Iran.

出版信息

Avicenna J Phytomed. 2018 Jan-Feb;8(1):51-62.

PMID:29387574
原文链接:https://pmc.ncbi.nlm.nih.gov/articles/PMC5787997/
Abstract

OBJECTIVE

The present study was conducted to investigate the antioxidant and hepatoprotective activity of the hydro-alcoholic extract of aerial parts of (HAAD) against CCl-induced hepatotoxicity in rats.

MATERIALS AND METHODS

The antioxidant activity was evaluated by reducing power, 2, 2-diphenyl-1-picrylhydrazyl (DPPH) and 2, 20-azino-bis (3-ethylbenzothiazoline-6-sulfonic acid) (ABTS) assays. Rats were pre-treated with either 50, 100, and 200 mg/kg of HAAD or silymarin (100 mg/kg; served as the positive control group) for 15 days and they received a single dose of CCl on the last day. Hepatoprotective effects were investigated by assessment of serum biochemical enzymes such as alanine transaminase (ALT), aspartate transaminase (AST), alkaline phosphatase (ALP), total protein (TP), total bilirubin (TB), malondialdehyde (MDA), and antioxidant enzymes (SOD, CAT, GST and GSH), along with histopathological studies.

RESULTS

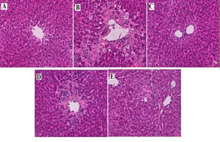
Total phenolic content was 197.22±3.73 mg gallic acid equivalent/g HAAD dry weight. HAAD indicated powerful activity in FRAP, DPPH and ABTS tests. Acute toxicity study showed that the extract had an LD of >5000 mg/kg. Oral treatment with HAAD exhibited a significant decrease in the levels of AST, ALT, ALP and TB and an increase in the level of TP. The extract significantly diminished MDA levels. The activities of the antioxidant enzymes were significantly augmented in rats pretreated with HAAD 200 mg/kg. Histopathological examination demonstrated lower liver damage in HAAD-treated groups as compared to CCl groups.

CONCLUSION

Our findings indicated hepatoprotective effects of the hydro-alcoholic extract of on CCl-induced hepatic damage in rats and suggested that these effects may be produced by reducing oxidative stress.

摘要

目的

本研究旨在探讨[植物名称]地上部分水醇提取物(HAAD)对四氯化碳诱导的大鼠肝毒性的抗氧化和保肝活性。

材料与方法

通过还原能力、2,2-二苯基-1-苦基肼(DPPH)和2,2'-联氮-双(3-乙基苯并噻唑啉-6-磺酸)(ABTS)试验评估抗氧化活性。大鼠分别用50、100和200mg/kg的HAAD或水飞蓟宾(100mg/kg;作为阳性对照组)预处理15天,并在最后一天接受单次剂量的四氯化碳。通过评估血清生化酶如丙氨酸转氨酶(ALT)、天冬氨酸转氨酶(AST)、碱性磷酸酶(ALP)、总蛋白(TP)、总胆红素(TB)、丙二醛(MDA)和抗氧化酶(SOD、CAT、GST和GSH)以及组织病理学研究来研究保肝作用。

结果

总酚含量为197.22±3.73mg没食子酸当量/g HAAD干重。HAAD在FRAP、DPPH和ABTS试验中显示出强大的活性。急性毒性研究表明该提取物的半数致死量>5000mg/kg。口服HAAD治疗可使AST、ALT、ALP和TB水平显著降低,TP水平升高。该提取物显著降低了MDA水平。在预处理200mg/kg HAAD的大鼠中,抗氧化酶的活性显著增强。组织病理学检查表明,与四氯化碳组相比,HAAD治疗组的肝损伤较轻。

结论

我们的研究结果表明[植物名称]地上部分水醇提取物对四氯化碳诱导的大鼠肝损伤具有保肝作用,并表明这些作用可能是通过降低氧化应激产生的。

https://cdn.ncbi.nlm.nih.gov/pmc/blobs/0d50/5787997/9dee87c48781/AJP-8-051-g009.jpg
https://cdn.ncbi.nlm.nih.gov/pmc/blobs/0d50/5787997/818479c00bc6/AJP-8-051-g001.jpg
https://cdn.ncbi.nlm.nih.gov/pmc/blobs/0d50/5787997/75529841761d/AJP-8-051-g002.jpg
https://cdn.ncbi.nlm.nih.gov/pmc/blobs/0d50/5787997/fa536c7cc38f/AJP-8-051-g003.jpg
https://cdn.ncbi.nlm.nih.gov/pmc/blobs/0d50/5787997/8cda404dadcd/AJP-8-051-g004.jpg
https://cdn.ncbi.nlm.nih.gov/pmc/blobs/0d50/5787997/b4e3035881cc/AJP-8-051-g005.jpg
https://cdn.ncbi.nlm.nih.gov/pmc/blobs/0d50/5787997/b518690fc25c/AJP-8-051-g006.jpg
https://cdn.ncbi.nlm.nih.gov/pmc/blobs/0d50/5787997/7117f1a009a3/AJP-8-051-g007.jpg
https://cdn.ncbi.nlm.nih.gov/pmc/blobs/0d50/5787997/b4b4edc4e4a5/AJP-8-051-g008.jpg
https://cdn.ncbi.nlm.nih.gov/pmc/blobs/0d50/5787997/9dee87c48781/AJP-8-051-g009.jpg
https://cdn.ncbi.nlm.nih.gov/pmc/blobs/0d50/5787997/818479c00bc6/AJP-8-051-g001.jpg
https://cdn.ncbi.nlm.nih.gov/pmc/blobs/0d50/5787997/75529841761d/AJP-8-051-g002.jpg
https://cdn.ncbi.nlm.nih.gov/pmc/blobs/0d50/5787997/fa536c7cc38f/AJP-8-051-g003.jpg
https://cdn.ncbi.nlm.nih.gov/pmc/blobs/0d50/5787997/8cda404dadcd/AJP-8-051-g004.jpg
https://cdn.ncbi.nlm.nih.gov/pmc/blobs/0d50/5787997/b4e3035881cc/AJP-8-051-g005.jpg
https://cdn.ncbi.nlm.nih.gov/pmc/blobs/0d50/5787997/b518690fc25c/AJP-8-051-g006.jpg
https://cdn.ncbi.nlm.nih.gov/pmc/blobs/0d50/5787997/7117f1a009a3/AJP-8-051-g007.jpg
https://cdn.ncbi.nlm.nih.gov/pmc/blobs/0d50/5787997/b4b4edc4e4a5/AJP-8-051-g008.jpg
https://cdn.ncbi.nlm.nih.gov/pmc/blobs/0d50/5787997/9dee87c48781/AJP-8-051-g009.jpg

相似文献

1
Antioxidant and hepatoprotective effects of against CCl-induced hepatotoxicity in rats.[物质名称]对四氯化碳诱导的大鼠肝毒性的抗氧化及肝保护作用。 (注:原文中“against CCl-induced hepatotoxicity in rats”前缺少具体物质,这里用[物质名称]代替以便完整表达句子逻辑)
Avicenna J Phytomed. 2018 Jan-Feb;8(1):51-62.
2
Antioxidant and hepatoprotective activity of Fagonia schweinfurthii (Hadidi) Hadidi extract in carbon tetrachloride induced hepatotoxicity in HepG2 cell line and rats.没药属植物提取物对四氯化碳诱导的 HepG2 细胞和大鼠肝毒性的抗氧化和保肝作用。
J Ethnopharmacol. 2013 Dec 12;150(3):973-81. doi: 10.1016/j.jep.2013.09.048. Epub 2013 Oct 17.
3
Antioxidant and hepatoprotective effects of Solanum xanthocarpum leaf extracts against CCl4-induced liver injury in rats.黄果茄叶提取物对四氯化碳诱导的大鼠肝损伤的抗氧化和保肝作用
Pharm Biol. 2014 Aug;52(8):1060-8. doi: 10.3109/13880209.2013.877490. Epub 2014 Mar 19.
4
In-depth hepatoprotective mechanistic study of Phyllanthus niruri: In vitro and in vivo studies and its chemical characterization.深入研究印度叶下珠的保肝作用机制:体外和体内研究及其化学成分表征。
PLoS One. 2020 Jan 15;15(1):e0226185. doi: 10.1371/journal.pone.0226185. eCollection 2020.
5
Hepatoprotective effect of Rosa canina fruit extract against carbon tetrachloride induced hepatotoxicity in rat.犬蔷薇果实提取物对四氯化碳诱导的大鼠肝毒性的保肝作用
Avicenna J Phytomed. 2016 Mar-Apr;6(2):181-8.
6
and antioxidative and hepatoprotective activity of aqueous extract of Cortex Dictamni.白鲜皮水提物的抗氧化和保肝活性。
World J Gastroenterol. 2017 Apr 28;23(16):2912-2927. doi: 10.3748/wjg.v23.i16.2912.
7
Hepatoprotective and antioxidant activity of methanolic extract of flowers of Nerium oleander against CCl4-induced liver injury in rats.夹竹桃的花甲醇提取物对四氯化碳诱导的大鼠肝损伤的保肝和抗氧化活性。
Asian Pac J Trop Med. 2012 Sep;5(9):677-85. doi: 10.1016/S1995-7645(12)60106-0.
8
Hepatoprotective and antioxidant effects of single clove garlic against CCl-induced hepatic damage in rabbits.单瓣大蒜对四氯化碳诱导的家兔肝损伤的保肝及抗氧化作用。
BMC Complement Altern Med. 2017 Aug 17;17(1):411. doi: 10.1186/s12906-017-1916-8.
9
Efficient hepatoprotective activity of cranberry extract against CCl-induced hepatotoxicity in Wistar albino rat model: Down-regulation of liver enzymes and strong antioxidant activity.蔓越莓提取物对Wistar白化大鼠模型中四氯化碳诱导的肝毒性具有高效的肝保护活性:肝脏酶的下调和强大的抗氧化活性。
Asian Pac J Trop Med. 2017 Nov;10(11):1054-1058. doi: 10.1016/j.apjtm.2017.10.008. Epub 2017 Oct 27.
10
Evaluation of Antioxidant and Hepatoprotective Activity of Fruit Rind Extract of (Roxburgh) Kurz.对(罗克斯伯勒)库尔兹果皮提取物的抗氧化和保肝活性的评估
Pharmacognosy Res. 2017 Jul-Sep;9(3):266-272. doi: 10.4103/0974-8490.210330.

引用本文的文献

1
Extraction, Purification, Component Analysis and Bioactivity of Polyphenols from L.来自[植物名称未完整]的多酚的提取、纯化、成分分析及生物活性
Foods. 2025 May 21;14(10):1823. doi: 10.3390/foods14101823.
2
Phytochemical Screening, Pharmacognostic Characterization, Antioxidant Activity, and Hepatoprotective Effects of (L.) L.f. on Human Hepatocellular Carcinoma (HepG2) Cells and Goat Liver Homogenate.(L.)L.f.对人肝癌(HepG2)细胞和山羊肝脏匀浆的植物化学筛选、生药学特征、抗氧化活性及肝脏保护作用
Antioxidants (Basel). 2025 Apr 15;14(4):472. doi: 10.3390/antiox14040472.
3
Exploring the antioxidant and protective effects of Hook.f. leaf extract against carbon tetrachloride-induced hepatic damage in rat models.

本文引用的文献

1
Hepatoprotective activity of aerial parts of Otostegia persica against carbon tetrachloride-induced liver damage in rats.波斯翅果草地上部分对四氯化碳诱导的大鼠肝损伤的保肝活性。
Avicenna J Phytomed. 2015 May-Jun;5(3):238-46.
2
Determination of reducing power and metal chelating ability of antioxidant peptides: revisited methods.抗氧化肽还原力和金属螯合能力的测定:方法回顾。
Food Chem. 2015 Sep 15;183:129-35. doi: 10.1016/j.foodchem.2015.02.147. Epub 2015 Mar 6.
3
Hepato-protective effects of six schisandra lignans on acetaminophen-induced liver injury are partially associated with the inhibition of CYP-mediated bioactivation.
探索胡克氏叶提取物对四氯化碳诱导的大鼠肝损伤的抗氧化和保护作用。
Front Pharmacol. 2024 Oct 22;15:1463922. doi: 10.3389/fphar.2024.1463922. eCollection 2024.
4
Immunomodulation Induced in BALB/c Mice after Subacute Exposure to Hydroalcoholic Extract of .BALB/c 小鼠亚急性经口给予.水醇提取物后的免疫调节作用
Curr Drug Discov Technol. 2024;21(5):e240124226142. doi: 10.2174/0115701638279953231222062644.
5
Antimicrobial Activity of Oil-Loaded Agarose/Poly(Vinyl Alcohol) Hydrogel for Bio-Applications.用于生物应用的载油琼脂糖/聚乙烯醇水凝胶的抗菌活性
Gels. 2023 Dec 28;10(1):26. doi: 10.3390/gels10010026.
6
Comparative Histological Study of Therapeutic Effect of Mesenchymal Stem Cells versus Mesenchymal Stem Cells Co-Cultured with Liver Tissue on Carbon Tetrachloride-Induced Hepatotoxicity in Adult Male Albino Rats.间充质干细胞与肝组织共培养对成年雄性白化大鼠四氯化碳诱导的肝毒性治疗效果的比较组织学研究
J Microsc Ultrastruct. 2022 Aug 18;11(4):225-236. doi: 10.4103/jmau.jmau_62_21. eCollection 2023 Oct-Dec.
7
Chemical and spectroscopic characterization of (Artemisinin/Querctin/ Zinc) novel mixed ligand complex with assessment of its potent high antiviral activity against SARS-CoV-2 and antioxidant capacity against toxicity induced by acrylamide in male rats.(青蒿素/槲皮素/锌)新型混合配体配合物的化学和光谱特性及其对 SARS-CoV-2 的高效高抗病毒活性和对丙烯酰胺诱导雄性大鼠毒性的抗氧化能力评估。
PeerJ. 2024 Jan 2;12:e15638. doi: 10.7717/peerj.15638. eCollection 2024.
8
Hepatoprotective effects of brown algae on bile duct-ligated cholestasis in rats are mediated by modulating NF-κB/TNF-α and Nrf2/HO-1 gene expression.褐藻对大鼠胆管结扎性胆汁淤积的肝保护作用是通过调节NF-κB/TNF-α和Nrf2/HO-1基因表达来介导的。
Avicenna J Phytomed. 2023 Sep-Oct;13(5):513-530. doi: 10.22038/AJP.2023.21970.
9
The aqueous extract of Artemisia Absinthium L. stimulates HO-1/MT-1/Cyp450 signaling pathway via oxidative stress regulation induced by aluminium oxide nanoparticles (α and γ) animal model.黄花蒿水提物通过氧化铝纳米颗粒(α 和 γ)动物模型诱导的氧化应激调节,刺激 HO-1/MT-1/Cyp450 信号通路。
BMC Complement Med Ther. 2023 Sep 5;23(1):310. doi: 10.1186/s12906-023-04121-6.
10
Development of Nanosuspension of Extract as Novel Drug Delivery System to Enhance Its Bioavailability and Hepatoprotective Potential.提取物纳米混悬液作为新型药物递送系统的开发,以提高其生物利用度和肝保护潜力。
J Funct Biomater. 2023 Aug 18;14(8):433. doi: 10.3390/jfb14080433.
六种五味子木脂素对乙酰氨基酚诱导的肝损伤的肝保护作用部分与抑制细胞色素P450介导的生物活化有关。
Chem Biol Interact. 2015 Apr 25;231:83-9. doi: 10.1016/j.cbi.2015.02.022. Epub 2015 Mar 6.
4
Anti-apoptotic effects of novel phenolic antioxidant isolated from the Pacific oyster (Crassostrea gigas) on cultured human hepatocytes under oxidative stress.新型酚类抗氧化剂对氧化应激下人肝细胞凋亡的影响。
Food Chem. 2015 Jun 1;176:226-33. doi: 10.1016/j.foodchem.2014.12.066. Epub 2014 Dec 24.
5
Anti-inflammatory Activity of Stachys Pilifera Benth.绵毛水苏的抗炎活性
Iran Red Crescent Med J. 2014 Sep 5;16(9):e19259. doi: 10.5812/ircmj.19259. eCollection 2014 Sep.
6
Hepatoprotective effect of ethanol extract from Berchemia lineate against CCl4-induced acute hepatotoxicity in mice.铁包金乙醇提取物对四氯化碳诱导的小鼠急性肝毒性的保肝作用。
Pharm Biol. 2015 May;53(5):767-72. doi: 10.3109/13880209.2014.941506. Epub 2014 Nov 28.
7
Antioxidative and chemopreventive effects of Nephrolepis biserrata against carbon tetrachloride (CCl4)-induced oxidative stress and hepatic dysfunction in rats.双齿肾蕨对四氯化碳(CCl4)诱导的大鼠氧化应激和肝功能障碍的抗氧化及化学预防作用。
Pharm Biol. 2015 Jan;53(1):31-9. doi: 10.3109/13880209.2014.909502. Epub 2014 Sep 22.
8
Antioxidant and hepatoprotective effects of Solanum xanthocarpum leaf extracts against CCl4-induced liver injury in rats.黄果茄叶提取物对四氯化碳诱导的大鼠肝损伤的抗氧化和保肝作用
Pharm Biol. 2014 Aug;52(8):1060-8. doi: 10.3109/13880209.2013.877490. Epub 2014 Mar 19.
9
Hepatoprotective effect of polyphenols rich methanolic extract of Amorphophallus commutatus var. wayanadensis against CCl4 induced hepatic injury in swiss albino mice.魔芋(Amorphophallus commutatus var. wayanadensis)富含多酚的甲醇提取物对四氯化碳诱导的瑞士白化小鼠肝损伤的保肝作用。
Food Chem Toxicol. 2014 May;67:105-12. doi: 10.1016/j.fct.2014.02.028. Epub 2014 Feb 22.
10
Structural characterization and DPPH· radical scavenging activity of a polysaccharide from Guara fruits.瓜拉纳果实多糖的结构表征及其对 DPPH·自由基的清除活性。
Carbohydr Polym. 2014 Mar 15;103:143-7. doi: 10.1016/j.carbpol.2013.12.009. Epub 2013 Dec 12.