Suppr超能文献

对自发性糖尿病鸟取(SDT)肥胖大鼠伤口愈合受损时血糖控制的影响。

Effects on Glycemic Control in Impaired Wound Healing in Spontaneously Diabetic Torii (SDT) Fatty Rats.

作者信息

Katsuhiro Miyajima, Hui Teoh Soon, Yamashiro Hideaki, Shinohara Masami, Fatchiyah Fatchiyah, Ohta Takeshi, Yamada Takahisa

机构信息

Department of Nutritional Science and Food Safety Faculty of Applied Biosciences, Tokyo University of Agriculture, Tokyo, Japan.

Laboratory of Animal Genetics, Graduate School of Science and Technology, Niigata University, Niigata, Japan.

出版信息

Med Arch. 2018 Feb;72(1):4-8. doi: 10.5455/medarh.2018.72.4-8.

Abstract

INTRODUCTION

Impaired diabetic wound healing is an important issue in diabetic complications. The present study aims to evaluate the protective effect on glycemic control against impaired diabetic wound healing using a diabetic rat model. We investigated the wound healing process and effect on the impaired wound repair by glycemic control in the Spontaneously Diabetic Torii (SDT) fatty rat, which is a new animal model of obese type 2 diabetes and may be a good model for study impaired wound healing.

MATERIAL AND METHODS

Male SDT fatty rats at 15 weeks of age were administered orally with sodium glucose co-transporter (SGLT) 2 inhibitor for 3 weeks. Wounds were induced at 2 weeks after SGLT 2 inhibitor treatment, and the wound areas were periodically examined in morphological and histological analyses.

RESULTS

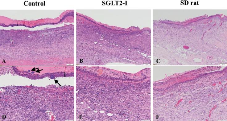
The SDT fatty rats showed a delayed wound healing as compared with the normal rats, but a glycemic control improved the impaired wound healing. In histological analysis in the skin of SDT fatty rats showed severe infiltration of inflammatory cell, hemorrhage and many . Thought that this results skin performance to be a delay of crust formation and regeneration of epithelium; however, these findings were ameliorated in the SGLT 2 inhibitor treated group.

CONCLUSION

Glycemic control is effective for treatment in diabetic wounds and the SDT fatty rat may be useful to investigate pathophysiological changes in impaired diabetic wound healing.

摘要

引言

糖尿病伤口愈合受损是糖尿病并发症中的一个重要问题。本研究旨在使用糖尿病大鼠模型评估血糖控制对糖尿病伤口愈合受损的保护作用。我们在自发性糖尿病鸟取(SDT)肥胖大鼠中研究了伤口愈合过程以及血糖控制对受损伤口修复的影响,该大鼠是肥胖型2型糖尿病的一种新动物模型,可能是研究伤口愈合受损的良好模型。

材料与方法

15周龄的雄性SDT肥胖大鼠口服给予钠葡萄糖共转运体(SGLT)2抑制剂3周。在SGLT 2抑制剂治疗2周后诱导伤口形成,并在形态学和组织学分析中定期检查伤口面积。

结果

与正常大鼠相比,SDT肥胖大鼠的伤口愈合延迟,但血糖控制改善了受损的伤口愈合。SDT肥胖大鼠皮肤的组织学分析显示炎症细胞严重浸润、出血且有许多……认为这些结果导致皮肤表现为结痂形成延迟和上皮再生延迟;然而,在SGLT 2抑制剂治疗组中这些发现得到了改善。

结论

血糖控制对糖尿病伤口治疗有效,SDT肥胖大鼠可能有助于研究糖尿病伤口愈合受损的病理生理变化。

https://cdn.ncbi.nlm.nih.gov/pmc/blobs/756f/5789560/6ad46a420f7b/medarch-72-4-g001.jpg

文献AI研究员

20分钟写一篇综述,助力文献阅读效率提升50倍。

立即体验

用中文搜PubMed

大模型驱动的PubMed中文搜索引擎

马上搜索

文档翻译

学术文献翻译模型,支持多种主流文档格式。

立即体验