Suppr超能文献

距骨骨软骨损伤,聚焦于富血小板血浆作为一种潜在治疗选择的综述

Osteochondral defects of the talus with a focus on platelet-rich plasma as a potential treatment option: a review.

作者信息

Elghawy Ahmed Aly, Sesin Carlos, Rosselli Michael

机构信息

Internal Medicine, Mount Sinai Medical Center, Miami Beach, Florida, USA.

出版信息

BMJ Open Sport Exerc Med. 2018 Feb 1;4(1):e000318. doi: 10.1136/bmjsem-2017-000318. eCollection 2018.

Abstract

OBJECTIVE

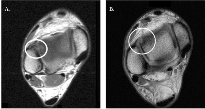
To provide a review of osteochondral lesions of the talus, to discuss the evidence of the risks and benefits of platelet-rich plasma (PRP) as a viable treatment option, and to measure the efficacy of PRP using MRI evidence of cartilage regeneration, as well as scales that measure improvement in 'pain' and 'functionality'.

ELIGIBILITY CRITERIA

Studies that use PRP in either conservative or intraoperative settings to treat osteochondral defects of the talus.

RESULTS

There are seven studies that compare hyaluronic acid or standard surgical options against PRP in treating osteochondral lesions of the talus. Five studies use PRP as supplemental treatment in intraoperative settings, while two studies use PRP conservatively as intra-articular injections. There were minimal adverse effects. Pain and functionality scores consistently improved in those who underwent PRP treatments over the course of 4 years. MRI showed significant but inconsistent results in chondral regeneration.

CONCLUSION

PRP may show clinical benefit in those with osteochondral lesions of the talus in terms of pain and functionality, although chondral regeneration via MRI is inconsistent. Limitations include the small sample sizes in these seven studies, as well as no standardised formula for PRP preparation.

CLINICAL RELEVANCE

To serve as an overview of the literature regarding PRP treatment for osteochondral lesions of the talus and how this modality may improve patient outcomes in pain, functionality and chondral regeneration. A case is reported to complement the subject review.

摘要

目的

综述距骨骨软骨损伤,讨论富血小板血浆(PRP)作为一种可行治疗选择的风险和益处的证据,并利用软骨再生的MRI证据以及衡量“疼痛”和“功能”改善情况的量表来评估PRP的疗效。

入选标准

在保守治疗或术中使用PRP治疗距骨骨软骨缺损的研究。

结果

有七项研究比较了透明质酸或标准手术方案与PRP治疗距骨骨软骨损伤的效果。五项研究在术中使用PRP作为辅助治疗,两项研究将PRP作为关节内注射进行保守治疗。不良反应极少。在4年的时间里,接受PRP治疗的患者的疼痛和功能评分持续改善。MRI显示软骨再生结果显著但不一致。

结论

PRP在距骨骨软骨损伤患者的疼痛和功能方面可能具有临床益处,尽管通过MRI显示的软骨再生情况并不一致。局限性包括这七项研究的样本量较小,以及PRP制备没有标准化配方。

临床意义

作为关于PRP治疗距骨骨软骨损伤的文献综述,以及这种治疗方式如何改善患者在疼痛、功能和软骨再生方面的预后情况。报告了一个病例以补充主题综述。

https://cdn.ncbi.nlm.nih.gov/pmc/blobs/957a/5812391/f188442bb3d0/bmjsem-2017-000318f01.jpg

文献AI研究员

20分钟写一篇综述,助力文献阅读效率提升50倍。

立即体验

用中文搜PubMed

大模型驱动的PubMed中文搜索引擎

马上搜索

文档翻译

学术文献翻译模型,支持多种主流文档格式。

立即体验