Suppr超能文献

青春期会阴痛伴胡桃夹综合征:一例因胡桃夹综合征导致盆腔充血引起会阴痛的青春期患者,经球囊血管成形术和硬化治疗后疼痛缓解的有趣病例。

Nutcracker syndrome in adolescent with perineal pain: An interesting case of an adolescent with perineal pain due to pelvic congestion from nutcracker syndrome with relief after balloon venoplasty and sclerotherapy.

作者信息

Boyer Kathleen, Filan Eamon, Ching Brian, Rooks Veronica, Kellicut Dwight

机构信息

Tripler Army Medical Center, Department of Radiology, 1 Jarrett White Road, Honolulu, HI 96859, USA.

出版信息

Radiol Case Rep. 2017 Nov 17;13(1):161-166. doi: 10.1016/j.radcr.2017.09.023. eCollection 2018 Feb.

Abstract

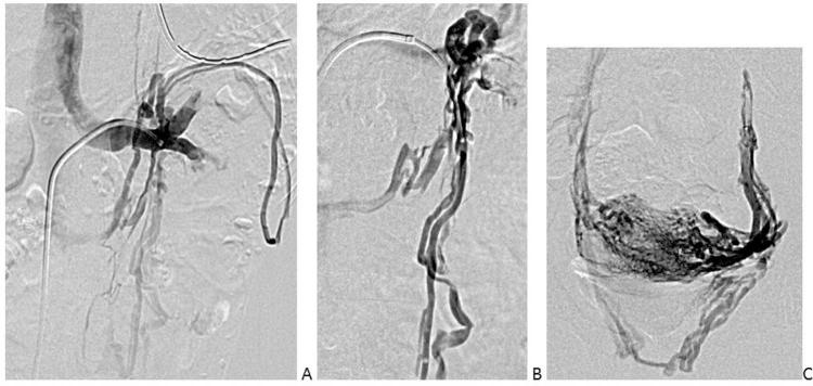
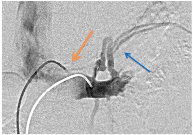
Nutcracker phenomenon is the descriptor for a patient's anatomy whenever the left renal vein becomes compressed between the abdominal aorta and the superior mesenteric artery. Nutcracker syndrome is the terminology used when the nutcracker phenomenon is accompanied by symptoms including pain (abdominal, flank, pelvic), hematuria, and orthostatic proteinuria. Diagnosis can be made with Doppler ultrasound, venography, computed tomography, or magnetic resonance imaging. This case demonstrates some of the typical findings of nutcracker syndrome. The limited clinical features and interesting imaging findings, in addition to the young age of the patient, make this a notable case.

摘要

胡桃夹现象是指当左肾静脉在腹主动脉和肠系膜上动脉之间受到压迫时患者的解剖学表现。胡桃夹综合征是指胡桃夹现象伴有包括疼痛(腹部、侧腹、盆腔)、血尿和直立性蛋白尿等症状时所使用的术语。可通过多普勒超声、静脉造影、计算机断层扫描或磁共振成像进行诊断。本病例展示了胡桃夹综合征的一些典型表现。除患者年龄较小外,有限的临床特征和有趣的影像学表现使该病例值得关注。

https://cdn.ncbi.nlm.nih.gov/pmc/blobs/63d0/5826734/6045d4fb4407/radcr351-fig-0001.jpg

文献AI研究员

20分钟写一篇综述,助力文献阅读效率提升50倍。

立即体验

用中文搜PubMed

大模型驱动的PubMed中文搜索引擎

马上搜索

文档翻译

学术文献翻译模型,支持多种主流文档格式。

立即体验