• 文献检索
  • 文档翻译
  • 深度研究
  • 学术资讯
  • Suppr Zotero 插件Zotero 插件
  • 邀请有礼
  • 套餐&价格
  • 历史记录
应用&插件
Suppr Zotero 插件Zotero 插件浏览器插件Mac 客户端Windows 客户端微信小程序
定价
高级版会员购买积分包购买API积分包
服务
文献检索文档翻译深度研究API 文档MCP 服务
关于我们
关于 Suppr公司介绍联系我们用户协议隐私条款
关注我们

Suppr 超能文献

核心技术专利:CN118964589B侵权必究
粤ICP备2023148730 号-1Suppr @ 2026

文献检索

告别复杂PubMed语法,用中文像聊天一样搜索,搜遍4000万医学文献。AI智能推荐,让科研检索更轻松。

立即免费搜索

文件翻译

保留排版,准确专业,支持PDF/Word/PPT等文件格式,支持 12+语言互译。

免费翻译文档

深度研究

AI帮你快速写综述,25分钟生成高质量综述,智能提取关键信息,辅助科研写作。

立即免费体验

前列腺素E1可抑制实验性小鼠间质性肾炎中效应T细胞的诱导及组织损伤。

Prostaglandin E1 inhibits effector T cell induction and tissue damage in experimental murine interstitial nephritis.

作者信息

Kelly C J, Zurier R B, Krakauer K A, Blanchard N, Neilson E G

出版信息

J Clin Invest. 1987 Mar;79(3):782-9. doi: 10.1172/JCI112885.

DOI:10.1172/JCI112885
PMID:2950135
原文链接:https://pmc.ncbi.nlm.nih.gov/articles/PMC424199/
Abstract

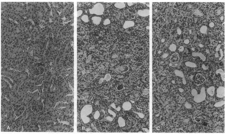
Immunosuppressive effects of E-series prostaglandins have been demonstrated in many in vitro assays of immune responsiveness as well as in autoimmune diseases. To explore the mechanisms underlying prostaglandin E1 (PGE1)-associated immunosuppression in autoimmunity, we treated SJL mice immunized to produce immune-mediated interstitial nephritis with PGE1, PGF2 alpha, or vehicle alone. Mice receiving PGE1 treatment do not develop interstitial nephritis, nor do they display delayed-type hypersensitivity (DTH) to the immunizing renal tubular antigen preparation. The observed immunosuppression is critically dependent on PGE1 administration during the period of effector T cell induction. We therefore investigated the effect of PGE1 on the in vitro induction of DTH effector T cells reactive to renal tubular antigens (SRTA). PGE1 inhibits effector T cell induction in a dose-dependent, reversible manner, but has no inhibitory effect on fully differentiated DTH effector cells or SRTA-reactive cell lines. The PGE1 effect is indirect and mediated via nonspecific suppressor lymphokines. This suppression can be overcome by recombinant interleukin 1 (IL-1), which suggests a mechanism related to either diminished IL-1 secretion or target cell sensitivity to IL-1.

摘要

E 系列前列腺素的免疫抑制作用已在许多免疫反应性的体外试验以及自身免疫性疾病中得到证实。为了探究前列腺素 E1(PGE1)在自身免疫中相关免疫抑制的潜在机制,我们用 PGE1、前列腺素 F2α(PGF2α)或仅用赋形剂处理免疫诱导产生免疫介导性间质性肾炎的 SJL 小鼠。接受 PGE1 治疗的小鼠未发生间质性肾炎,对免疫用肾小管抗原制剂也未表现出迟发型超敏反应(DTH)。观察到的免疫抑制严重依赖于效应 T 细胞诱导期给予 PGE1。因此,我们研究了 PGE1 对体外诱导对肾小管抗原(SRTA)产生反应的 DTH 效应 T 细胞的影响。PGE1 以剂量依赖性、可逆的方式抑制效应 T 细胞的诱导,但对完全分化的 DTH 效应细胞或 SRTA 反应性细胞系没有抑制作用。PGE1 的作用是间接的,通过非特异性抑制性淋巴因子介导。这种抑制可被重组白细胞介素 1(IL-1)克服,这提示了一种与 IL-1 分泌减少或靶细胞对 IL-1 的敏感性降低相关的机制。

https://cdn.ncbi.nlm.nih.gov/pmc/blobs/650a/424199/118c398fb3e2/jcinvest00114-0124-a.jpg
https://cdn.ncbi.nlm.nih.gov/pmc/blobs/650a/424199/118c398fb3e2/jcinvest00114-0124-a.jpg
https://cdn.ncbi.nlm.nih.gov/pmc/blobs/650a/424199/118c398fb3e2/jcinvest00114-0124-a.jpg

相似文献

1
Prostaglandin E1 inhibits effector T cell induction and tissue damage in experimental murine interstitial nephritis.前列腺素E1可抑制实验性小鼠间质性肾炎中效应T细胞的诱导及组织损伤。
J Clin Invest. 1987 Mar;79(3):782-9. doi: 10.1172/JCI112885.
2
Inhibition of experimental autoimmune tubulointerstitial nephritis in Brown-Norway rats by (15S)-15-methyl prostaglandin E1. Analysis of the effect of prostaglandin E1 on the induction of the humoral immune response and the elicitation of humorally mediated inflammation.(15S)-15-甲基前列腺素E1对棕色挪威大鼠实验性自身免疫性肾小管间质性肾炎的抑制作用。前列腺素E1对体液免疫应答诱导及体液介导炎症激发作用的分析。
Am J Pathol. 1986 Aug;124(2):286-93.
3
Effector T cell differentiation in experimental interstitial nephritis. I. The development and modulation of effector lymphocyte maturation by I-J+ regulatory T cells.
J Immunol. 1987 Jun 15;138(12):4200-8.
4
Murine interstitial nephritis. III. The selection of phenotypic (Lyt and L3T4) and idiotypic (RE-Id) T cell preferences by genes in Igh-1 and H-2K characterizes the cell-mediated potential for disease expression: susceptible mice provide a unique effector T cell repertoire in response to tubular antigen.小鼠间质性肾炎。III. Igh-1和H-2K基因对表型(Lyt和L3T4)及独特型(RE-Id)T细胞偏好的选择决定了疾病表达的细胞介导潜力:易感小鼠针对肾小管抗原可提供独特的效应T细胞库。
J Immunol. 1985 Apr;134(4):2375-82.
5
Murine interstitial nephritis. IX. Induction of the nephritogenic effector T cell repertoire with an antigen-specific T cell cytokine.
J Immunol. 1990 Jan 1;144(1):75-83.
6
Contrasuppression in autoimmunity. Abnormal contrasuppression facilitates expression of nephritogenic effector T cells and interstitial nephritis in kdkd mice.自身免疫中的反抑制。异常的反抑制促进了kdkd小鼠中致肾炎效应T细胞的表达和间质性肾炎的发生。
J Exp Med. 1987 Jan 1;165(1):107-23. doi: 10.1084/jem.165.1.107.
7
Spontaneous interstitial nephritis in kdkd mice. II. Characterization of a tubular antigen-specific, H-2K-restricted Lyt-2+ effector T cell that mediates destructive tubulointerstitial injury.
J Immunol. 1986 Jan;136(2):526-31.
8
Murine interstitial nephritis. V. The auto-induction of antigen-specific Lyt-2+ suppressor T cells diminishes the expression of interstitial nephritis in mice with antitubular basement membrane disease.小鼠间质性肾炎。V. 抗原特异性Lyt-2+抑制性T细胞的自身诱导可减轻抗肾小管基底膜病小鼠的间质性肾炎表达。
J Immunol. 1986 Feb 1;136(3):908-12.
9
Effector mechanisms in organ-specific autoimmunity. I. Characterization of a CD8+ T cell line that mediates murine interstitial nephritis.器官特异性自身免疫中的效应机制。I. 介导小鼠间质性肾炎的CD8 + T细胞系的特征
J Clin Invest. 1991 Aug;88(2):408-16. doi: 10.1172/JCI115319.
10
Immunoregulation in experimental interstitial nephritis: immunization with renal tubular antigen in incomplete Freund's adjuvant induces major histocompatibility complex-restricted, OX8+ suppressor T cells which are antigen-specific and inhibit the expression of disease.实验性间质性肾炎中的免疫调节:用不完全弗氏佐剂中的肾小管抗原免疫可诱导主要组织相容性复合体限制的、OX8+抑制性T细胞,这些细胞具有抗原特异性并抑制疾病的表达。
J Immunol. 1986 Feb 1;136(3):903-7.

引用本文的文献

1
Molecular targets for treatment of kidney fibrosis.治疗肾纤维化的分子靶点。
J Mol Med (Berl). 2013 May;91(5):549-59. doi: 10.1007/s00109-012-0983-z. Epub 2012 Nov 22.
2
The effect of a synthetic 7-thiaprostaglandin E1 derivative, TEI-6122, on monocyte chemoattractant protein-1 induced chemotaxis in THP-1 cells.合成的7-硫代前列腺素E1衍生物TEI-6122对单核细胞趋化蛋白-1诱导的THP-1细胞趋化作用的影响。
Br J Pharmacol. 1995 Oct;116(4):2298-302. doi: 10.1111/j.1476-5381.1995.tb15068.x.
3
Evidence for the involvement of interleukin 10 in the differential deactivation of murine peritoneal macrophages by prostaglandin E2.

本文引用的文献

1
Prostaglandin E1 inhibits T-cell proliferation and renal disease in MRL/1 mice.前列腺素E1抑制MRL/1小鼠的T细胞增殖和肾脏疾病。
Clin Immunol Immunopathol. 1981 Nov;21(2):190-203. doi: 10.1016/0090-1229(81)90208-7.
2
Regulation of the immune response by prostaglandins.前列腺素对免疫反应的调节
Clin Immunol Immunopathol. 1980 Jan;15(1):106-22. doi: 10.1016/0090-1229(80)90024-0.
3
Prostaglandin E inhibits the production of human interleukin 2.前列腺素E抑制人白细胞介素2的产生。
白细胞介素10参与前列腺素E2对小鼠腹腔巨噬细胞的差异性失活作用的证据。
J Exp Med. 1994 Dec 1;180(6):2365-70. doi: 10.1084/jem.180.6.2365.
4
Serial micropuncture analysis of glomerular function in two rat models of glomerular sclerosis.两种肾小球硬化大鼠模型肾小球功能的系列微穿刺分析
J Clin Invest. 1988 Jul;82(1):322-30. doi: 10.1172/JCI113590.
5
Contrasuppression in autoimmunity.自身免疫中的反抑制作用。
Immunol Res. 1988;7(1):56-66. doi: 10.1007/BF02918154.
6
Effects of dietary n-3 and n-6 polyunsaturated fatty acids on macrophage phospholipid classes and subclasses.膳食中n-3和n-6多不饱和脂肪酸对巨噬细胞磷脂类别和亚类的影响。
Lipids. 1990 Dec;25(12):827-34. doi: 10.1007/BF02535905.
7
Effects of altering the eicosanoid precursor pool on neovascularization and inflammation in the alkali-burned rabbit cornea.改变类花生酸前体库对碱烧伤兔角膜新生血管形成和炎症的影响。
Am J Pathol. 1990 Nov;137(5):1243-52.
8
Evidence for prostaglandin-producing suppressor cells in drug-induced liver injury and implications in the diagnosis of drug sensitization.药物性肝损伤中产生前列腺素的抑制细胞的证据及其在药物致敏诊断中的意义。
Clin Exp Immunol. 1992 Jan;87(1):132-7. doi: 10.1111/j.1365-2249.1992.tb06426.x.
J Exp Med. 1982 Mar 1;155(3):943-8. doi: 10.1084/jem.155.3.943.
4
Suppression of interstitial nephritis by auto-anti-idiotypic immunity.自身抗独特型免疫对间质性肾炎的抑制作用。
J Exp Med. 1982 Jan 1;155(1):179-89. doi: 10.1084/jem.155.1.179.
5
A monoclonal antibody discriminating between subsets of T and B cells.一种可区分T细胞和B细胞亚群的单克隆抗体。
J Immunol. 1981 Dec;127(6):2496-501.
6
Spontaneous release of a factor with properties of T cell growth factor from a continuous line of primate tumor T cells.从灵长类肿瘤T细胞连续系中自发释放具有T细胞生长因子特性的一种因子。
J Immunol. 1981 Nov;127(5):1852-6.
7
Prostaglandin inhibition of T-cell proliferation is mediated at two levels.前列腺素对T细胞增殖的抑制作用在两个层面上介导。
Cell Immunol. 1981 Jun;61(1):52-61. doi: 10.1016/0008-8749(81)90353-1.
8
Partial characterization of a prostaglandin-induced suppressor factor.前列腺素诱导的抑制因子的部分特性
Cell Immunol. 1980 Mar 1;50(1):82-93. doi: 10.1016/0008-8749(80)90008-8.
9
Murine interstitial nephritis. I. Analysis of disease susceptibility and its relationship of pleiomorphic gene products defining both immune-response genes and a restrictive requirement for cytotoxic T cells at H-2K.小鼠间质性肾炎。I. 疾病易感性分析及其与多形性基因产物的关系,这些基因产物定义了免疫反应基因以及对H-2K位点细胞毒性T细胞的限制性需求。
J Exp Med. 1982 Apr 1;155(4):1075-85. doi: 10.1084/jem.155.4.1075.
10
Lymphokine regulation of activated (G1) lymphocytes. I. Prostaglandin E2-induced inhibition of interleukin 2 production.活化(G1期)淋巴细胞的淋巴因子调节。I. 前列腺素E2诱导的白细胞介素2产生的抑制作用。
J Immunol. 1983 Apr;130(4):1770-3.