• 文献检索
  • 文档翻译
  • 深度研究
  • 学术资讯
  • Suppr Zotero 插件Zotero 插件
  • 邀请有礼
  • 套餐&价格
  • 历史记录
应用&插件
Suppr Zotero 插件Zotero 插件浏览器插件Mac 客户端Windows 客户端微信小程序
定价
高级版会员购买积分包购买API积分包
服务
文献检索文档翻译深度研究API 文档MCP 服务
关于我们
关于 Suppr公司介绍联系我们用户协议隐私条款
关注我们

Suppr 超能文献

核心技术专利:CN118964589B侵权必究
粤ICP备2023148730 号-1Suppr @ 2026

文献检索

告别复杂PubMed语法,用中文像聊天一样搜索,搜遍4000万医学文献。AI智能推荐,让科研检索更轻松。

立即免费搜索

文件翻译

保留排版,准确专业,支持PDF/Word/PPT等文件格式,支持 12+语言互译。

免费翻译文档

深度研究

AI帮你快速写综述,25分钟生成高质量综述,智能提取关键信息,辅助科研写作。

立即免费体验

儿童期肾母细胞瘤治疗后成人期非肝硬化门静脉高压症和腹水的表现

Adult Presentation of Noncirrhotic Portal Hypertension and Ascites following Treatment for Wilms' Tumor in Childhood.

作者信息

Kievit Linda, Kræmer Pia, Hamilton-Dutoit Stephen, Grønbæk Henning

机构信息

aDepartment of Hepatology and Gastroenterology, Aarhus University Hospital, Aarhus, Denmark.

bDepartment of Endocrinology, Aarhus University Hospital, Aarhus, Denmark.

出版信息

Case Rep Gastroenterol. 2018 Feb 1;12(1):56-62. doi: 10.1159/000486389. eCollection 2018 Jan-Apr.

DOI:10.1159/000486389
PMID:29515345
原文链接:https://pmc.ncbi.nlm.nih.gov/articles/PMC5836285/
Abstract

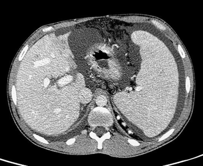
A 37-year-old male, who at the age of 8 years had been treated for right-sided Wilms' tumor with nephrectomy, radiotherapy, and chemotherapy, presented with noncirrhotic portal hypertension (NCPH), grade 2 esophageal varices, and ascites. A CT scan demonstrated hypoplasia of liver segments 2 and 3. A liver biopsy showed portal tract fibrosis without cirrhosis, with histological features of NCPH. Liver vein catheterization showed a normal portal pressure gradient of 5 mm Hg while spleen to hepatic vein pressure was 29 mm Hg. NCPH after therapy for Wilms' tumor is described in children within the first few years after treatment. This is the first case report in which the patient first presented symptoms as an adult, many years after cancer treatment.

摘要

一名37岁男性,8岁时因右侧肾母细胞瘤接受了肾切除术、放疗和化疗,现出现非肝硬化性门静脉高压(NCPH)、2级食管静脉曲张和腹水。CT扫描显示肝段2和3发育不全。肝活检显示门静脉纤维化但无肝硬化,具有NCPH的组织学特征。肝静脉插管显示门静脉压力梯度正常为5 mmHg,而脾静脉至肝静脉压力为29 mmHg。肾母细胞瘤治疗后的NCPH在治疗后的头几年内在儿童中有所描述。这是首例患者在癌症治疗多年后成年才首次出现症状的病例报告。

https://cdn.ncbi.nlm.nih.gov/pmc/blobs/5a2a/5836285/3406d0b4e5f1/crg-0012-0056-g02.jpg
https://cdn.ncbi.nlm.nih.gov/pmc/blobs/5a2a/5836285/8f8d7b9c486b/crg-0012-0056-g01.jpg
https://cdn.ncbi.nlm.nih.gov/pmc/blobs/5a2a/5836285/3406d0b4e5f1/crg-0012-0056-g02.jpg
https://cdn.ncbi.nlm.nih.gov/pmc/blobs/5a2a/5836285/8f8d7b9c486b/crg-0012-0056-g01.jpg
https://cdn.ncbi.nlm.nih.gov/pmc/blobs/5a2a/5836285/3406d0b4e5f1/crg-0012-0056-g02.jpg

相似文献

1
Adult Presentation of Noncirrhotic Portal Hypertension and Ascites following Treatment for Wilms' Tumor in Childhood.儿童期肾母细胞瘤治疗后成人期非肝硬化门静脉高压症和腹水的表现
Case Rep Gastroenterol. 2018 Feb 1;12(1):56-62. doi: 10.1159/000486389. eCollection 2018 Jan-Apr.
2
Noncirrhotic portal fibrosis after Wilms' tumor therapy.肾母细胞瘤治疗后非肝硬化性门脉纤维化
Gastroenterology. 1986 Apr;90(4):1054-6. doi: 10.1016/0016-5085(86)90888-7.
3
Surgical and endovascular treatment of severe complications secondary to noncirrhotic portal hypertension: experience of 56 cases.非肝硬化门静脉高压继发严重并发症的手术及血管内治疗:56例经验
Ann Vasc Surg. 2013 May;27(4):441-6. doi: 10.1016/j.avsg.2012.05.027. Epub 2013 Mar 7.
4
A case of non-cirrhotic portal hypertension associated with anti-retroviral therapy in a Japanese patient with human immunodeficiency virus infection.一名感染人类免疫缺陷病毒的日本患者中,抗逆转录病毒疗法相关的非肝硬化门静脉高压病例。
J Infect Chemother. 2014 Sep;20(9):582-5. doi: 10.1016/j.jiac.2014.06.005. Epub 2014 Jul 15.
5
Spleen and Liver Volumetrics as Surrogate Markers of Hepatic Venous Pressure Gradient in Patients With Noncirrhotic Portal Hypertension.脾脏和肝脏容积测定作为非肝硬化门静脉高压患者肝静脉压力梯度的替代标志物
Hepatol Commun. 2018 Jul 16;2(8):919-928. doi: 10.1002/hep4.1198. eCollection 2018 Aug.
6
Association of polycythemia vera with non‑cirrhotic portal hypertension in five patients: A case series.五例真性红细胞增多症与非肝硬化门静脉高压症的关联:病例系列
Exp Ther Med. 2023 Feb 16;25(4):149. doi: 10.3892/etm.2023.11848. eCollection 2023 Apr.
7
Noncirrhotic presinusoidal portal hypertension associated with chronic arsenical intoxication.与慢性砷中毒相关的非肝硬化性窦前性门静脉高压症。
Gastroenterology. 1975 May;68(5 Pt 1):1270-7.
8
Noncirrhotic portal hypertension.非肝硬化性门静脉高压症
Clin Liver Dis. 2006 Aug;10(3):627-51, x. doi: 10.1016/j.cld.2006.08.021.
9
Liver Stiffness Measurements in Patients with Noncirrhotic Portal Hypertension-The Devil Is in the Details.非肝硬化性门静脉高压症患者的肝硬度测量——细节决定成败。
Hepatology. 2018 Dec;68(6):2438-2440. doi: 10.1002/hep.30167. Epub 2018 Nov 12.
10
Splenic Doppler impedance indices: influence of different portal hemodynamic conditions.脾脏多普勒阻抗指数:不同门静脉血流动力学状况的影响
Hepatology. 1996 May;23(5):1035-40. doi: 10.1002/hep.510230515.

引用本文的文献

1
Correlation between portal vein diameter and craniocaudal length of the spleen.门静脉直径与脾脏头尾径长度之间的相关性。
J Ultrason. 2019 Dec;19(79):276-281. doi: 10.15557/JoU.2019.0041. Epub 2019 Dec 31.

本文引用的文献

1
Sinusoidal obstruction syndrome.窦状隙阻塞综合征。
Clin Res Hepatol Gastroenterol. 2016 Sep;40(4):378-85. doi: 10.1016/j.clinre.2016.01.006. Epub 2016 Mar 30.
2
Risk of Adverse Health and Social Outcomes Up to 50 Years After Wilms Tumor: The British Childhood Cancer Survivor Study.Wilms 瘤治疗后长达 50 年的不良健康和社会结局风险:英国儿童癌症幸存者研究。
J Clin Oncol. 2016 May 20;34(15):1772-9. doi: 10.1200/JCO.2015.64.4344. Epub 2016 Mar 28.
3
Portal hypertension in children with Wilms' tumor: a report from the National Wilms' Tumor Study Group.
儿童肾母细胞瘤合并门静脉高压:来自国家肾母细胞瘤研究组的报告。
Int J Radiat Oncol Biol Phys. 2010 May 1;77(1):210-6. doi: 10.1016/j.ijrobp.2009.04.057. Epub 2009 Aug 19.
4
Veno-occlusive disease as a complication of preoperative chemotherapy for Wilms tumor: A clinico-pathological analysis.肾母细胞瘤术前化疗并发症之肝静脉闭塞病:临床病理分析
Pediatr Blood Cancer. 2009 Dec 15;53(7):1211-5. doi: 10.1002/pbc.22202.
5
Combined liver vein and spleen pulp pressure measurements in patients with portal or splenic vein thrombosis.门静脉或脾静脉血栓形成患者肝静脉和脾髓压力联合测量
Scand J Gastroenterol. 2004 Jun;39(6):594-9. doi: 10.1080/00365520410005171.
6
RADIATION HEPATITIS.放射性肝炎
Am J Roentgenol Radium Ther Nucl Med. 1965 Jan;93:200-8.
7
Venoocclusive liver disease (VOD) as a complication of Wilms' tumour management in the series of consecutive 206 patients.在连续206例患者的系列研究中,肝静脉闭塞性疾病(VOD)作为威尔姆斯瘤治疗的一种并发症。
Eur J Pediatr Surg. 2000 Oct;10(5):300-3. doi: 10.1055/s-2008-1072380.
8
Veno-occlusive disease of the liver in right-sided Wilms' tumours.右侧肾母细胞瘤中的肝静脉闭塞性疾病
Eur J Cancer. 1998 Jul;34(8):1220-3. doi: 10.1016/s0959-8049(98)00052-5.
9
Veno-occlusive disease-like hepatotoxicity in two children receiving chemotherapy for Wilms' tumor and clear cell sarcoma of kidney.两名接受化疗治疗肾母细胞瘤和肾透明细胞肉瘤的儿童出现类似肝静脉闭塞病的肝毒性。
Pediatr Hematol Oncol. 1998 Jan-Feb;15(1):85-9. doi: 10.3109/08880019809009513.
10
Veno-occlusive disease of the liver in children treated for Wilms tumor.接受肾母细胞瘤治疗的儿童发生肝静脉闭塞病。
Med Pediatr Oncol. 1997 Oct;29(4):245-51. doi: 10.1002/(sici)1096-911x(199710)29:4<245::aid-mpo2>3.0.co;2-m.