Suppr超能文献

[胆囊发育不全:三例报告]

[Gallbladder agenesis: about three cases].

作者信息

Chouchaine Amine, Fodha Mahmoud, Abdelkefi Mohamed Taha, Helali Kamel, Fodha Mohamed

机构信息

Service de Chirurgie Générale, Hôpital Taher Sfar, Mahdia, Tunisie.

出版信息

Pan Afr Med J. 2017 Oct 6;28:114. doi: 10.11604/pamj.2017.28.114.11919. eCollection 2017.

Abstract

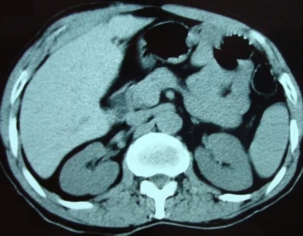
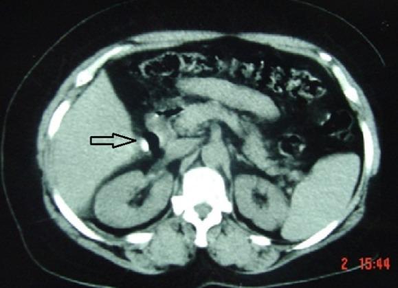
Gallbladder agenesis is a rare congenital anomaly. This study aimed to highlight the epidemiological aspects of this condition as well as the peculiarities of its diagnostic and therapeutic management through three case reports. Two adults were admitted to Hospital with hepatic colics and dyspepsia. Ultrasound showed multilithiasic scleroatrophic vesicle. In one of the two patients, CT scan results showed a stone at the level of scleroatrophic vesicle. These two patients were wrongly operated for vesicular lithiasis by using conventional method. The absence of gallbladder was detected during surgery. In order to confirm post-operative diagnosis, the first patient underwent biliary MRI. The other patient was lost to follow-up. The third patient was a 13-year old child hospitalized with acute pancreatitis. Vesicular agenesis was suspected based on its scannographic aspect and then confirmed using biliary MRI. This patient didn't underwent surgery.

摘要

胆囊缺如是一种罕见的先天性异常。本研究旨在通过三例病例报告强调该病症的流行病学方面及其诊断和治疗管理的特点。两名成年人因肝绞痛和消化不良入院。超声显示为多发结石性硬化萎缩性胆囊。在这两名患者中的一名,CT扫描结果显示硬化萎缩性胆囊处有结石。这两名患者通过传统方法被误诊为胆囊结石并接受了手术。手术中发现胆囊缺失。为了确诊术后诊断,第一名患者接受了胆道MRI检查。另一名患者失访。第三名患者是一名13岁儿童,因急性胰腺炎住院。根据扫描图像怀疑胆囊缺如,随后通过胆道MRI得以确诊。该患者未接受手术。

https://cdn.ncbi.nlm.nih.gov/pmc/blobs/381d/5837181/ad179bd6e6e5/PAMJ-28-114-g001.jpg

文献检索

告别复杂PubMed语法,用中文像聊天一样搜索,搜遍4000万医学文献。AI智能推荐,让科研检索更轻松。

立即免费搜索

文件翻译

保留排版,准确专业,支持PDF/Word/PPT等文件格式,支持 12+语言互译。

免费翻译文档

深度研究

AI帮你快速写综述,25分钟生成高质量综述,智能提取关键信息,辅助科研写作。

立即免费体验