Suppr超能文献

黏膜和结缔组织肥大细胞的骨髓源性模型的免疫特征分析

Immune Characterization of Bone Marrow-Derived Models of Mucosal and Connective Tissue Mast Cells.

作者信息

Benedé Sara, Cody Evan, Agashe Charuta, Berin M Cecilia

机构信息

Department of Pediatrics, Mindich Child Health and Development Institute, Immunology Institute, Icahn School of Medicine at Mount Sinai, New York, NY, USA.

出版信息

Allergy Asthma Immunol Res. 2018 May;10(3):268-277. doi: 10.4168/aair.2018.10.3.268.

Abstract

PURPOSE

It is well appreciated that mast cells (MCs) demonstrate tissue-specific imprinting, with different biochemical and functional properties between connective tissue MCs (CTMCs) and mucosal MCs (MMCs). Although in vitro systems have been developed to model these different subsets, there has been limited investigation into the functional characteristics of the 2 major MC subsets. Here, we report the immunologic characterization of 2 MCs subsets developed in vitro from bone marrow progenitors modeling MMCs and CTMCs.

METHODS

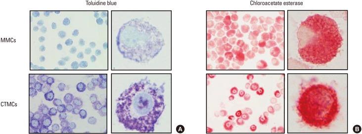
We grew bone marrow for 4 weeks in the presence of transforming growth factor (TGF)-β, interleukin (IL)-9, IL-3, and stem cell factor (SCF) to generate MMCs, and IL-4, IL-3, and SCF to generate CTMCs.

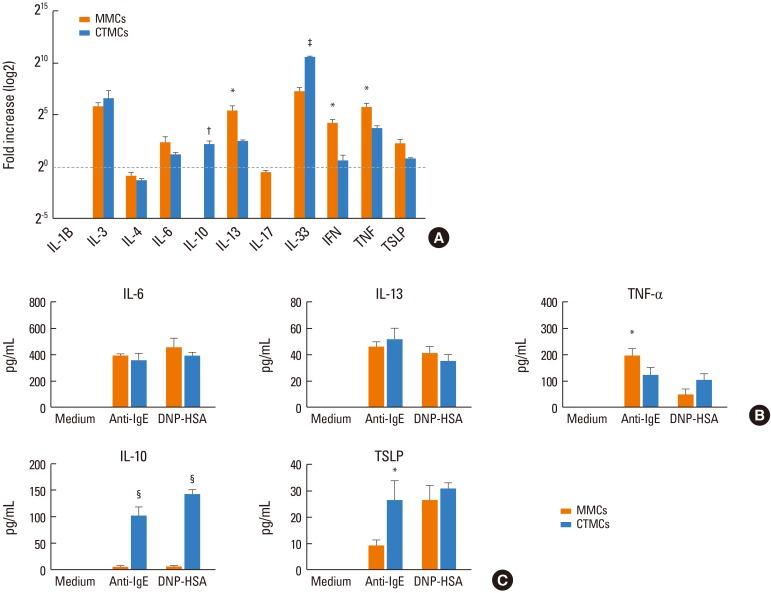
RESULTS

CTMCs and MMCs differed in growth rate and protease content, but their immune characteristics were remarkably similar. Both subsets responded to immunoglobulin E (IgE)-mediated activation with signaling, degranulation, and inflammatory cytokine release, although differences between subsets were noted in IL-10. CTMCs and MMCs showed a similar toll-like receptor (TLR) expression profile, dominated by expression of TLR4, TLR6, or both subsets were responsive to lipopolysaccharide (LPS), but not poly(I:C). CTMCs and MMCs express receptors for IL-33 and thymic stromal lymphopoietin (TSLP), and respond to these cytokines alone or with modified activation in response to IgE cross-linking.

CONCLUSIONS

The results of this paper show the immunologic characterization of bone marrow-derived MMCs and CTMCs, providing useful protocols for in vitro modeling of MC subsets.

摘要

目的

众所周知,肥大细胞(MCs)表现出组织特异性印记,结缔组织MCs(CTMCs)和黏膜MCs(MMCs)具有不同的生化和功能特性。尽管已经开发出体外系统来模拟这些不同的亚群,但对这两个主要MC亚群的功能特性的研究仍然有限。在此,我们报告了从骨髓祖细胞体外培养出的模拟MMCs和CTMCs的两个MC亚群的免疫学特征。

方法

我们在转化生长因子(TGF)-β、白细胞介素(IL)-9、IL-3和干细胞因子(SCF)存在的情况下培养骨髓4周以生成MMCs,并在IL-4、IL-3和SCF存在的情况下培养以生成CTMCs。

结果

CTMCs和MMCs在生长速率和蛋白酶含量上有所不同,但它们的免疫特征非常相似。两个亚群均对免疫球蛋白E(IgE)介导的激活产生信号传导、脱颗粒和炎性细胞因子释放反应,尽管在IL-10方面亚群之间存在差异。CTMCs和MMCs显示出相似的Toll样受体(TLR)表达谱,以TLR4、TLR6的表达为主,或者两个亚群均对脂多糖(LPS)有反应,但对聚肌苷酸-聚胞苷酸(poly(I:C))无反应。CTMCs和MMCs表达IL-33和胸腺基质淋巴细胞生成素(TSLP)的受体,并单独对这些细胞因子产生反应,或在IgE交联后以改变的激活方式做出反应。

结论

本文结果显示了骨髓来源的MMCs和CTMCs的免疫学特征,为MC亚群的体外建模提供了有用的方案。

https://cdn.ncbi.nlm.nih.gov/pmc/blobs/f49c/5911446/8096918c7292/aair-10-268-g001.jpg

文献AI研究员

20分钟写一篇综述,助力文献阅读效率提升50倍。

立即体验

用中文搜PubMed

大模型驱动的PubMed中文搜索引擎

马上搜索

文档翻译

学术文献翻译模型,支持多种主流文档格式。

立即体验