Hsu Hui-Ching, Liao Tzu-Yao, Chen Dave Wei-Chih, Juan Yu-Hsiang, Liaw Chuang-Chi
Division of Chinese Acupuncture and Traumatology, Department of Traditional Chinese Medicine, Chang-Gung Memorial Hospital and Chang-Gung University College of Medicine, Taoyuan, Taiwan.
Division of Hemato-Oncology, Department of Internal Medicine, Chang-Gung Memorial Hospital and Chang-Gung University College of Medicine, Taoyuan, Taiwan.
Case Rep Oncol. 2018 Mar 27;11(1):185-190. doi: 10.1159/000488102. eCollection 2018 Jan-Apr.
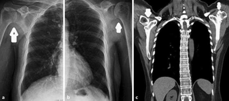
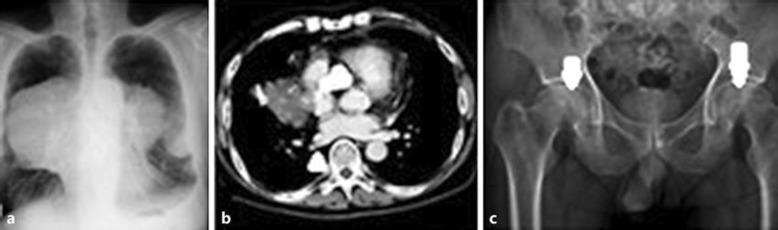
We report 2 cases of patients with solid tumors and coagulopathy who experienced avascular necrosis (AVN) of the bone following chemotherapy. Both cases exhibited nontraumatic bilateral AVN of the femoral heads, and one also showed bilateral AVN of the humeral heads. One case had multiple thromboembolic complications, including pulmonary obstructive syndrome and paraneoplastic pain. The other showed multiple paraneoplastic syndromes, with hypercalcemia and thrombocytosis. Groin pain and claudication of the lower extremities developed and persisted. Both patients eventually received bilateral hip arthroplasty due to AVN of both femoral heads.
我们报告了2例实体肿瘤合并凝血病的患者,他们在化疗后发生了骨缺血性坏死(AVN)。两例均表现为非创伤性双侧股骨头缺血性坏死,其中1例还出现双侧肱骨头缺血性坏死。1例有多种血栓栓塞并发症,包括肺阻塞综合征和副肿瘤性疼痛。另1例表现为多种副肿瘤综合征,伴有高钙血症和血小板增多。出现并持续存在腹股沟疼痛和下肢跛行。由于双侧股骨头缺血性坏死,两名患者最终均接受了双侧髋关节置换术。