• 文献检索
  • 文档翻译
  • 深度研究
  • 学术资讯
  • Suppr Zotero 插件Zotero 插件
  • 邀请有礼
  • 套餐&价格
  • 历史记录
应用&插件
Suppr Zotero 插件Zotero 插件浏览器插件Mac 客户端Windows 客户端微信小程序
定价
高级版会员购买积分包购买API积分包
服务
文献检索文档翻译深度研究API 文档MCP 服务
关于我们
关于 Suppr公司介绍联系我们用户协议隐私条款
关注我们

Suppr 超能文献

核心技术专利:CN118964589B侵权必究
粤ICP备2023148730 号-1Suppr @ 2026

文献检索

告别复杂PubMed语法,用中文像聊天一样搜索,搜遍4000万医学文献。AI智能推荐,让科研检索更轻松。

立即免费搜索

文件翻译

保留排版,准确专业,支持PDF/Word/PPT等文件格式,支持 12+语言互译。

免费翻译文档

深度研究

AI帮你快速写综述,25分钟生成高质量综述,智能提取关键信息,辅助科研写作。

立即免费体验

自体骨髓间充质干细胞提高猪放射性皮肤血管化皮瓣手术的质量和稳定性。

Autologous Bone Marrow Mesenchymal Stem Cells Improve the Quality and Stability of Vascularized Flap Surgery of Irradiated Skin in Pigs.

机构信息

Institute of Radiological Protection and Nuclear Safety, Fontenay-aux-Roses, France.

Department of Plastic Surgery, Military Hospital of Percy, Clamart, France.

出版信息

Stem Cells Transl Med. 2018 Aug;7(8):569-582. doi: 10.1002/sctm.17-0267. Epub 2018 May 18.

DOI:10.1002/sctm.17-0267
PMID:29777577
原文链接:https://pmc.ncbi.nlm.nih.gov/articles/PMC6090511/
Abstract

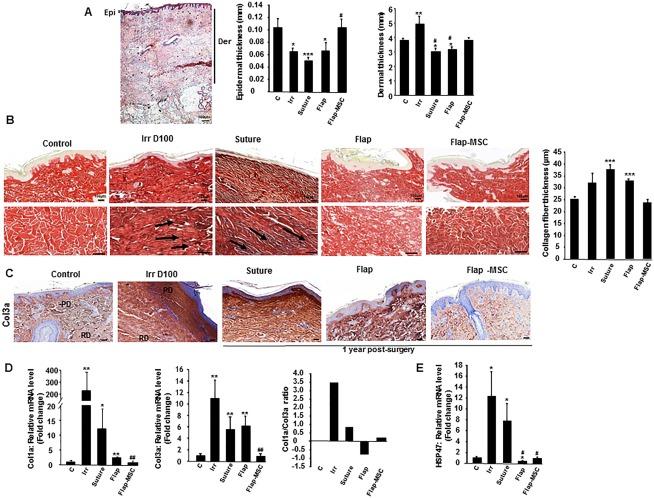
Cutaneous radiation syndrome has severe long-term health consequences. Because it causes an unpredictable course of inflammatory waves, conventional surgical treatment is ineffective and often leads to a fibronecrotic process. Data about the long-term stability of healed wounds, with neither inflammation nor resumption of fibrosis, are lacking. In this study, we investigated the effect of injections of local autologous bone marrow-derived mesenchymal stromal cells (BM-MSCs), combined with plastic surgery for skin necrosis, in a large-animal model. Three months after irradiation overexposure to the rump, minipigs were divided into three groups: one group treated by simple excision of the necrotic tissue, the second by vascularized-flap surgery, and the third by vascularized-flap surgery and local autologous BM-MSC injections. Three additional injections of the BM-MSCs were performed weekly for 3 weeks. The quality of cutaneous wound healing was examined 1 year post-treatment. The necrotic tissue excision induced a pathologic scar characterized by myofibroblasts, excessive collagen-1 deposits, and inadequate vascular density. The vascularized-flap surgery alone was accompanied by inadequate production of extracellular matrix (ECM) proteins (decorin, fibronectin); the low col1/col3 ratio, associated with persistent inflammatory nodules, and the loss of vascularization both attested to continued immaturity of the ECM. BM-MSC therapy combined with vascularized-flap surgery provided mature wound healing characterized by a col1/col3 ratio and decorin and fibronectin expression that were all similar to that of nonirradiated skin, with no inflammation, and vascular stability. In this preclinical model, vascularized flap surgery successfully and lastingly remodeled irradiated skin only when combined with BM-MSC therapy. Stem Cells Translational Medicine 2018:569-582.

摘要

皮肤辐射综合征会导致严重的长期健康后果。由于它会引起不可预测的炎症波,常规的手术治疗无效,且常导致纤维坏死过程。缺乏关于愈合的伤口的长期稳定性的数据,这些伤口既没有炎症也没有重新纤维化。在这项研究中,我们在大型动物模型中研究了局部自体骨髓来源间充质基质细胞(BM-MSCs)注射联合皮瓣成形术治疗皮肤坏死的效果。照射过度暴露臀部后 3 个月,小型猪被分为三组:一组仅切除坏死组织,一组行血管化皮瓣手术,第三组行血管化皮瓣手术和局部自体 BM-MSC 注射。在接下来的 3 周内每周进行 3 次 BM-MSC 的局部注射。在治疗后 1 年检查皮肤伤口愈合的质量。坏死组织切除导致病理性瘢痕形成,其特征为肌成纤维细胞、过度的胶原蛋白-1 沉积和不足的血管密度。单纯血管化皮瓣手术伴有细胞外基质(ECM)蛋白(饰胶蛋白、纤维连接蛋白)的产生不足;低 col1/col3 比值与持续存在的炎症性结节以及血管化的丧失均表明 ECM 仍不成熟。BM-MSC 联合血管化皮瓣手术治疗提供成熟的伤口愈合,其 col1/col3 比值和饰胶蛋白、纤维连接蛋白的表达均与未照射皮肤相似,无炎症,且血管稳定。在这个临床前模型中,只有当联合 BM-MSC 治疗时,血管化皮瓣手术才能成功且持久地重塑照射皮肤。《干细胞转化医学》2018 年:569-582。

https://cdn.ncbi.nlm.nih.gov/pmc/blobs/ba3c/6090511/296395d1cf6a/SCT3-7-569-g008.jpg
https://cdn.ncbi.nlm.nih.gov/pmc/blobs/ba3c/6090511/154254fcdc7d/SCT3-7-569-g001.jpg
https://cdn.ncbi.nlm.nih.gov/pmc/blobs/ba3c/6090511/8f6bfaabc03a/SCT3-7-569-g002.jpg
https://cdn.ncbi.nlm.nih.gov/pmc/blobs/ba3c/6090511/21423923e2b6/SCT3-7-569-g003.jpg
https://cdn.ncbi.nlm.nih.gov/pmc/blobs/ba3c/6090511/946b29344672/SCT3-7-569-g004.jpg
https://cdn.ncbi.nlm.nih.gov/pmc/blobs/ba3c/6090511/705040cf483e/SCT3-7-569-g005.jpg
https://cdn.ncbi.nlm.nih.gov/pmc/blobs/ba3c/6090511/9d8d55034cde/SCT3-7-569-g006.jpg
https://cdn.ncbi.nlm.nih.gov/pmc/blobs/ba3c/6090511/4bd6acbef0ab/SCT3-7-569-g007.jpg
https://cdn.ncbi.nlm.nih.gov/pmc/blobs/ba3c/6090511/296395d1cf6a/SCT3-7-569-g008.jpg
https://cdn.ncbi.nlm.nih.gov/pmc/blobs/ba3c/6090511/154254fcdc7d/SCT3-7-569-g001.jpg
https://cdn.ncbi.nlm.nih.gov/pmc/blobs/ba3c/6090511/8f6bfaabc03a/SCT3-7-569-g002.jpg
https://cdn.ncbi.nlm.nih.gov/pmc/blobs/ba3c/6090511/21423923e2b6/SCT3-7-569-g003.jpg
https://cdn.ncbi.nlm.nih.gov/pmc/blobs/ba3c/6090511/946b29344672/SCT3-7-569-g004.jpg
https://cdn.ncbi.nlm.nih.gov/pmc/blobs/ba3c/6090511/705040cf483e/SCT3-7-569-g005.jpg
https://cdn.ncbi.nlm.nih.gov/pmc/blobs/ba3c/6090511/9d8d55034cde/SCT3-7-569-g006.jpg
https://cdn.ncbi.nlm.nih.gov/pmc/blobs/ba3c/6090511/4bd6acbef0ab/SCT3-7-569-g007.jpg
https://cdn.ncbi.nlm.nih.gov/pmc/blobs/ba3c/6090511/296395d1cf6a/SCT3-7-569-g008.jpg

相似文献

1
Autologous Bone Marrow Mesenchymal Stem Cells Improve the Quality and Stability of Vascularized Flap Surgery of Irradiated Skin in Pigs.自体骨髓间充质干细胞提高猪放射性皮肤血管化皮瓣手术的质量和稳定性。
Stem Cells Transl Med. 2018 Aug;7(8):569-582. doi: 10.1002/sctm.17-0267. Epub 2018 May 18.
2
Long-term effectiveness of local BM-MSCs for skeletal muscle regeneration: a proof of concept obtained on a pig model of severe radiation burn.局部骨髓间充质干细胞治疗骨骼肌再生的长期疗效:严重放射性烧伤猪模型获得的概念验证。
Stem Cell Res Ther. 2018 Nov 8;9(1):299. doi: 10.1186/s13287-018-1051-6.
3
Repeated autologous bone marrow-derived mesenchymal stem cell injections improve radiation-induced proctitis in pigs.重复自体骨髓间充质干细胞注射可改善猪放射性直肠炎。
Stem Cells Transl Med. 2013 Nov;2(11):916-27. doi: 10.5966/sctm.2013-0030. Epub 2013 Sep 25.
4
Bone marrow-derived mesenchymal stem cell attenuates skin fibrosis development in mice.骨髓间充质干细胞可减轻小鼠皮肤纤维化的发展。
Int Wound J. 2014 Dec;11(6):701-10. doi: 10.1111/iwj.12034. Epub 2013 Feb 15.
5
Multipotent mesenchymal stem cell grafting to treat cutaneous radiation syndrome: development of a new minipig model.多能间充质干细胞移植治疗皮肤辐射综合征:新型小型猪模型的建立。
Exp Hematol. 2010 Oct;38(10):945-56. doi: 10.1016/j.exphem.2010.06.008. Epub 2010 Jun 25.
6
Local delivery of allogeneic bone marrow and adipose tissue-derived mesenchymal stromal cells for cutaneous wound healing in a porcine model.在猪模型中局部递送异体骨髓和脂肪组织来源的间充质基质细胞用于皮肤伤口愈合
J Tissue Eng Regen Med. 2016 Feb;10(2):E90-E100. doi: 10.1002/term.1700. Epub 2013 Feb 18.
7
Mesenchymal stromal cells for cutaneous wound healing in a rabbit model: pre-clinical study applicable in the pediatric surgical setting.间充质基质细胞用于兔模型皮肤伤口愈合:适用于小儿外科手术环境的临床前研究
J Transl Med. 2015 Jul 8;13:219. doi: 10.1186/s12967-015-0580-3.
8
Effect of Allogeneic Bone Marrow-mesenchymal Stem Cells (BM-MSCs) to Accelerate Burn Healing of Rat on the Expression of Collagen Type I and Integrin α2β1.异体骨髓间充质干细胞(BM-MSCs)对加速大鼠烧伤愈合及Ⅰ型胶原蛋白和整合素α2β1表达的影响
Pak J Biol Sci. 2016;19(8-9):345-351. doi: 10.3923/pjbs.2016.345.351.
9
[The experimental study of bone marrow mesenchymal stem cells on the repair of skin wound combined with local radiation injury].骨髓间充质干细胞对皮肤伤口合并局部放射性损伤修复作用的实验研究
Zhonghua Yi Xue Za Zhi. 2002 Dec 10;82(23):1632-6.
10
New approach to radiation burn treatment by dosimetry-guided surgery combined with autologous mesenchymal stem cell therapy.剂量测定引导手术联合自体间充质干细胞疗法治疗放射性烧伤的新方法。
Regen Med. 2007 Sep;2(5):785-94. doi: 10.2217/17460751.2.5.785.

引用本文的文献

1
A Comparative Analysis of the Advances in Stem Cell Therapy in Plastic Surgery: A Systematic Review of Current Applications and Future Directions.整形手术中干细胞治疗进展的比较分析:当前应用及未来方向的系统评价
Cureus. 2024 Aug 17;16(8):e67067. doi: 10.7759/cureus.67067. eCollection 2024 Aug.
2
Radiation-induced gastrointestinal and cutaneous injuries: understanding models, pathologies, assessments, and clinically accepted practices.辐射诱导的胃肠道和皮肤损伤:了解模型、病理学、评估和临床公认的实践。
Int J Radiat Biol. 2024;100(7):969-981. doi: 10.1080/09553002.2024.2356544. Epub 2024 May 24.
3
microRNA blood signature for localized radiation injury.

本文引用的文献

1
Role of Mesenchymal Stem Cells in Dermal Repair in Burns and Diabetic Wounds.间充质干细胞在烧伤和糖尿病伤口皮肤修复中的作用
Curr Stem Cell Res Ther. 2017;12(1):61-70. doi: 10.2174/1574888x11666160714115926.
2
The challenges and promises of allogeneic mesenchymal stem cells for use as a cell-based therapy.异体间充质干细胞用作细胞疗法的挑战与前景。
Stem Cell Res Ther. 2015 Dec 1;6:234. doi: 10.1186/s13287-015-0240-9.
3
Skin tissue repair: Matrix microenvironmental influences.皮肤组织修复:基质微环境的影响
局部放射损伤的 miRNA 血液标志物。
Sci Rep. 2024 Feb 1;14(1):2681. doi: 10.1038/s41598-024-52258-2.
4
Enhancing Cutaneous Wound Healing Based on Human Induced Neural Stem Cell-derived Exosomes.基于人诱导多能干细胞衍生的外泌体增强皮肤伤口愈合。
Int J Nanomedicine. 2022 Dec 5;17:5991-6006. doi: 10.2147/IJN.S377502. eCollection 2022.
5
Current regenerative medicine-based approaches for skin regeneration: A review of literature and a report on clinical applications in Japan.当前基于再生医学的皮肤再生方法:文献综述及日本临床应用报告
Regen Ther. 2022 Jun 15;21:73-80. doi: 10.1016/j.reth.2022.05.008. eCollection 2022 Dec.
6
Stem Cell Therapy for Burns: Story so Far.烧伤的干细胞治疗:迄今为止的情况。
Biologics. 2021 Aug 31;15:379-397. doi: 10.2147/BTT.S259124. eCollection 2021.
7
TGF-β loaded exosome enhances ischemic wound healing and .TGF-β 负载的外泌体增强缺血性创面愈合和.
Theranostics. 2021 Apr 30;11(13):6616-6631. doi: 10.7150/thno.57701. eCollection 2021.
8
Wound Healing by Allogeneic Transplantation of Specific Subpopulation From Human Umbilical Cord Mesenchymal Stem Cells.异体移植人脐带间充质干细胞特定亚群促进伤口愈合。
Cell Transplant. 2021 Jan-Dec;30:963689721993774. doi: 10.1177/0963689721993774.
9
Initial damage produced by a single 15-Gy x-ray irradiation to the rat calvaria skin.单次 15-Gy X 射线照射对大鼠颅骨皮肤造成的初始损伤。
Eur Radiol Exp. 2020 Jun 5;4(1):32. doi: 10.1186/s41747-020-00155-4.
10
H₂O₂ Damages the Stemness of Rat Bone Marrow-Derived Mesenchymal Stem Cells: Developing a "Stemness Loss" Model.H₂O₂ 损伤大鼠骨髓间充质干细胞的干性:建立“干性丧失”模型。
Med Sci Monit. 2019 Jul 29;25:5613-5620. doi: 10.12659/MSM.914011.
Matrix Biol. 2016 Jan;49:25-36. doi: 10.1016/j.matbio.2015.08.001. Epub 2015 Aug 14.
4
Therapeutic potential of gingival fibroblasts for cutaneous radiation syndrome: comparison to bone marrow-mesenchymal stem cell grafts.牙龈成纤维细胞对皮肤辐射综合征的治疗潜力:与骨髓间充质干细胞移植的比较。
Stem Cells Dev. 2015 May 15;24(10):1182-93. doi: 10.1089/scd.2014.0486. Epub 2015 Feb 26.
5
Fibroblasts and myofibroblasts in wound healing.成纤维细胞和肌成纤维细胞在伤口愈合中的作用。
Clin Cosmet Investig Dermatol. 2014 Nov 6;7:301-11. doi: 10.2147/CCID.S50046. eCollection 2014.
6
Repeated autologous bone marrow-derived mesenchymal stem cell injections improve radiation-induced proctitis in pigs.重复自体骨髓间充质干细胞注射可改善猪放射性直肠炎。
Stem Cells Transl Med. 2013 Nov;2(11):916-27. doi: 10.5966/sctm.2013-0030. Epub 2013 Sep 25.
7
Mesenchymal stem cells inhibit cutaneous radiation-induced fibrosis by suppressing chronic inflammation.间充质干细胞通过抑制慢性炎症来抑制皮肤辐射诱导的纤维化。
Stem Cells. 2013 Oct;31(10):2231-41. doi: 10.1002/stem.1483.
8
Bone marrow-derived mesenchymal stem cell attenuates skin fibrosis development in mice.骨髓间充质干细胞可减轻小鼠皮肤纤维化的发展。
Int Wound J. 2014 Dec;11(6):701-10. doi: 10.1111/iwj.12034. Epub 2013 Feb 15.
9
Histopathological comparisons of irradiated and non-irradiated breast skin from the same individuals.同一患者的放射治疗与非放射治疗的乳房皮肤的组织病理学比较。
J Plast Reconstr Aesthet Surg. 2012 Nov;65(11):1496-505. doi: 10.1016/j.bjps.2012.05.022. Epub 2012 Jun 20.
10
Small leucine-rich proteoglycans, decorin and fibromodulin, are reduced in postburn hypertrophic scar.小富含亮氨酸的蛋白聚糖、核心蛋白聚糖和纤调蛋白在烧伤后增生性瘢痕中减少。
Wound Repair Regen. 2011 May-Jun;19(3):368-78. doi: 10.1111/j.1524-475X.2011.00677.x. Epub 2011 Apr 21.