Suppr超能文献

环氧乙烷可诱导大鼠腰段初级神经元发生中枢-外周远端轴突退变。

Ethylene oxide induces central-peripheral distal axonal degeneration of the lumbar primary neurones in rats.

作者信息

Ohnishi A, Inoue N, Yamamoto T, Murai Y, Hori H, Koga M, Tanaka I, Akiyama T

出版信息

Br J Ind Med. 1985 Jun;42(6):373-9. doi: 10.1136/oem.42.6.373.

Abstract

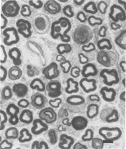
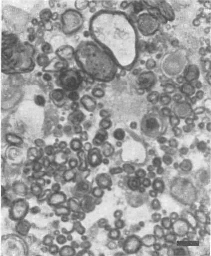
Wistar rats subjected to a single exposure lasting six hours to ethylene oxide (EO) at a concentration of 500 parts per million three times a week for 13 weeks developed ataxia in the hindlegs. Myelinated fibres in hindleg nerves and in the fasciculus gracilis showed axonal degeneration sparing the nerve cell body of the lumbar dorsal root ganglion and myelinated fibres of lumbar dorsal and ventral roots. These pathological findings are compatible with central-peripheral distal axonal degeneration. This is the first animal model of EO neuropathy to be histopathologically verified.

摘要

将Wistar大鼠每周三次暴露于浓度为百万分之500的环氧乙烷(EO)中,每次暴露持续6小时,持续13周,大鼠后肢出现共济失调。后肢神经和薄束中的有髓纤维显示轴突变性,而腰背根神经节的神经细胞体以及腰背根和腹根的有髓纤维未受影响。这些病理发现与中枢 - 外周远端轴突变性相符。这是首个经组织病理学证实的EO神经病变动物模型。

https://cdn.ncbi.nlm.nih.gov/pmc/blobs/8eeb/1007494/83d5fcb39824/brjindmed00182-0014-a.jpg

文献检索

告别复杂PubMed语法,用中文像聊天一样搜索,搜遍4000万医学文献。AI智能推荐,让科研检索更轻松。

立即免费搜索

文件翻译

保留排版,准确专业,支持PDF/Word/PPT等文件格式,支持 12+语言互译。

免费翻译文档

深度研究

AI帮你快速写综述,25分钟生成高质量综述,智能提取关键信息,辅助科研写作。

立即免费体验