• 文献检索
  • 文档翻译
  • 深度研究
  • 学术资讯
  • Suppr Zotero 插件Zotero 插件
  • 邀请有礼
  • 套餐&价格
  • 历史记录
应用&插件
Suppr Zotero 插件Zotero 插件浏览器插件Mac 客户端Windows 客户端微信小程序
定价
高级版会员购买积分包购买API积分包
服务
文献检索文档翻译深度研究API 文档MCP 服务
关于我们
关于 Suppr公司介绍联系我们用户协议隐私条款
关注我们

Suppr 超能文献

核心技术专利:CN118964589B侵权必究
粤ICP备2023148730 号-1Suppr @ 2026

文献检索

告别复杂PubMed语法,用中文像聊天一样搜索,搜遍4000万医学文献。AI智能推荐,让科研检索更轻松。

立即免费搜索

文件翻译

保留排版,准确专业,支持PDF/Word/PPT等文件格式,支持 12+语言互译。

免费翻译文档

深度研究

AI帮你快速写综述,25分钟生成高质量综述,智能提取关键信息,辅助科研写作。

立即免费体验

犬唾液蛋白质组中品种、性别和酸刺激的影响。

The Effect of Breed, Gender, and Acid Stimulation in Dog Saliva Proteome.

机构信息

Instituto de Ciências Agrárias e Ambientais Mediterrânicas (ICAAM), Universidade de Évora, 7000-083 Évora, Portugal.

Departamento de Medicina Veterinária, Escola de Ciências e Tecnologia, Universidade de Évora, 7000-083 Évora, Portugal.

出版信息

Biomed Res Int. 2018 Jun 3;2018:7456894. doi: 10.1155/2018/7456894. eCollection 2018.

DOI:10.1155/2018/7456894
PMID:29967784
原文链接:https://pmc.ncbi.nlm.nih.gov/articles/PMC6008695/
Abstract

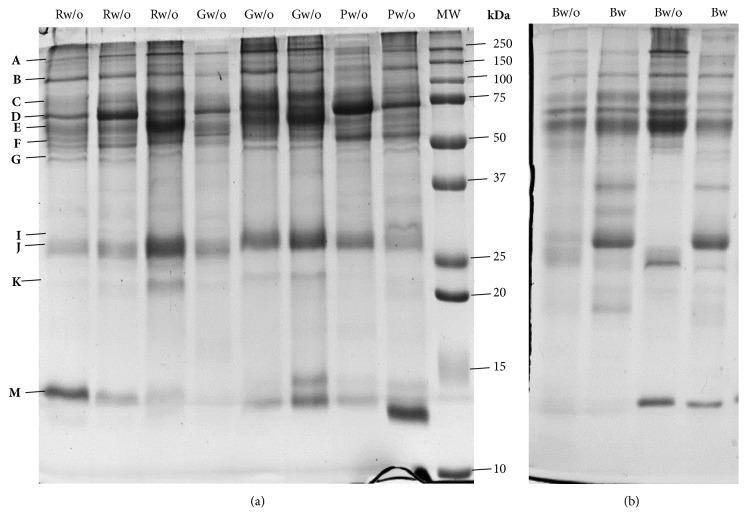
Saliva gained interest as a potential noninvasive source of biomarkers in humans and that interest starts to be extended also to other animal species. For this purpose, the knowledge of the salivary proteome in healthy conditions and the factors that affect it and how they affect it are necessary. The aim of the present study was to assess the effect that gender and breed have in saliva proteome and the changes in it induced by stimulation with acid. Saliva from 4 different purebred dogs (Portuguese Podengo, Greyhound, Rafeiro Alentejano, and Beagle) of both genders was collected without and after stimulation with lemon juice. SDS-PAGE and two-dimensional gel electrophoresis (2-DE) profiles were compared and the proteins of interest in-gel digested and identified by mass spectrometry. Acid stimulation decreased total protein concentration and the relative amounts of some protein bands/spots. Gender appeared to have minimal effect in saliva proteome, whereas the influence of breed varies. Beagles and Portuguese Podengos were the two breeds with higher differences. In conclusion, stimulation procedures and dog breed should be considered in data analysis when using salivary proteins for diagnostic purposes.

摘要

唾液作为一种有潜力的非侵入性人类生物标志物来源引起了人们的兴趣,这种兴趣也开始扩展到其他动物物种。为此,有必要了解健康状况下的唾液蛋白质组以及影响它的因素及其影响方式。本研究的目的是评估性别和品种对唾液蛋白质组的影响,以及酸刺激引起的变化。收集了来自 4 种不同纯种狗(葡萄牙波登戈犬、格雷伊猎犬、拉夫里奥·阿连特茹犬和比格犬)的雌雄唾液,在没有和用柠檬汁刺激后进行收集。比较 SDS-PAGE 和二维凝胶电泳(2-DE)图谱,并对凝胶中感兴趣的蛋白质进行消化和质谱鉴定。酸刺激降低了总蛋白浓度和一些蛋白质带/斑点的相对含量。性别对唾液蛋白质组的影响很小,而品种的影响则不同。比格犬和葡萄牙波登戈犬是两个差异最大的品种。总之,在使用唾液蛋白进行诊断目的时,应考虑刺激程序和犬种对数据分析的影响。

https://cdn.ncbi.nlm.nih.gov/pmc/blobs/8965/6008695/6956324f47a3/BMRI2018-7456894.005.jpg
https://cdn.ncbi.nlm.nih.gov/pmc/blobs/8965/6008695/d262764fcfd6/BMRI2018-7456894.001.jpg
https://cdn.ncbi.nlm.nih.gov/pmc/blobs/8965/6008695/09416cd0efa9/BMRI2018-7456894.002.jpg
https://cdn.ncbi.nlm.nih.gov/pmc/blobs/8965/6008695/887a4f94c2e2/BMRI2018-7456894.003.jpg
https://cdn.ncbi.nlm.nih.gov/pmc/blobs/8965/6008695/e838f4d891f9/BMRI2018-7456894.004.jpg
https://cdn.ncbi.nlm.nih.gov/pmc/blobs/8965/6008695/6956324f47a3/BMRI2018-7456894.005.jpg
https://cdn.ncbi.nlm.nih.gov/pmc/blobs/8965/6008695/d262764fcfd6/BMRI2018-7456894.001.jpg
https://cdn.ncbi.nlm.nih.gov/pmc/blobs/8965/6008695/09416cd0efa9/BMRI2018-7456894.002.jpg
https://cdn.ncbi.nlm.nih.gov/pmc/blobs/8965/6008695/887a4f94c2e2/BMRI2018-7456894.003.jpg
https://cdn.ncbi.nlm.nih.gov/pmc/blobs/8965/6008695/e838f4d891f9/BMRI2018-7456894.004.jpg
https://cdn.ncbi.nlm.nih.gov/pmc/blobs/8965/6008695/6956324f47a3/BMRI2018-7456894.005.jpg

相似文献

1
The Effect of Breed, Gender, and Acid Stimulation in Dog Saliva Proteome.犬唾液蛋白质组中品种、性别和酸刺激的影响。
Biomed Res Int. 2018 Jun 3;2018:7456894. doi: 10.1155/2018/7456894. eCollection 2018.
2
Toward defining the human parotid gland salivary proteome and peptidome: identification and characterization using 2D SDS-PAGE, ultrafiltration, HPLC, and mass spectrometry.迈向定义人类腮腺唾液蛋白质组和肽组:使用二维SDS-PAGE、超滤、HPLC和质谱进行鉴定与表征
Biochemistry. 2005 Mar 1;44(8):2885-99. doi: 10.1021/bi048176r.
3
The Saliva Proteome of Dogs: Variations Within and Between Breeds and Between Species.狗的唾液蛋白质组:品种内和品种间以及物种间的变化。
Proteomics. 2018 Feb;18(3-4). doi: 10.1002/pmic.201700293.
4
Salivary protein homology between humans and dogs: Mass spectrometry-based proteomics analysis.人类和狗唾液蛋白的同源性:基于质谱的蛋白质组学分析。
J Dent. 2024 Mar;142:104855. doi: 10.1016/j.jdent.2024.104855. Epub 2024 Jan 20.
5
An insight into the Phlebotomus perniciosus saliva by a proteomic approach.通过蛋白质组学方法深入了解利什曼原虫唾液。
Acta Trop. 2012 Jul;123(1):22-30. doi: 10.1016/j.actatropica.2012.03.003. Epub 2012 Mar 16.
6
Proteomic analysis of porcine saliva.猪唾液的蛋白质组学分析。
Vet J. 2011 Mar;187(3):356-62. doi: 10.1016/j.tvjl.2009.12.020. Epub 2010 Jan 22.
7
Gender influence on the salivary protein profile of finishing pigs.性别对育肥猪唾液蛋白谱的影响。
J Proteomics. 2018 Apr 30;178:107-113. doi: 10.1016/j.jprot.2017.11.023. Epub 2017 Dec 1.
8
Changes in the salivary proteome of beagle dogs after weight loss.Beagle 犬减肥后唾液蛋白质组的变化。
Domest Anim Endocrinol. 2020 Jul;72:106474. doi: 10.1016/j.domaniend.2020.106474. Epub 2020 Mar 6.
9
Complexity of the human whole saliva proteome.人类全唾液蛋白质组的复杂性。
J Physiol Biochem. 2005 Sep;61(3):469-80. doi: 10.1007/BF03168453.
10
Large-scale identification of proteins in human salivary proteome by liquid chromatography/mass spectrometry and two-dimensional gel electrophoresis-mass spectrometry.通过液相色谱/质谱联用和二维凝胶电泳-质谱联用技术对人唾液蛋白质组中的蛋白质进行大规模鉴定。
Proteomics. 2005 Apr;5(6):1714-28. doi: 10.1002/pmic.200401037.

引用本文的文献

1
Mass spectrometry-based proteomics profiling of dogs with and without oral diseases: a systematic review.基于质谱的有口腔疾病和无口腔疾病犬的蛋白质组学分析:系统综述。
BMC Oral Health. 2024 Mar 22;24(1):369. doi: 10.1186/s12903-024-04096-x.
2
Changes in the Saliva Proteome of Pigs with Diarrhoea Caused by .由……引起的腹泻猪唾液蛋白质组的变化 。 你提供的原文似乎不完整,“由……引起”这里缺少具体病因的信息 。
Proteomes. 2023 Apr 3;11(2):14. doi: 10.3390/proteomes11020014.
3
Salivary proteomics in monitoring the therapeutic response of canine oral melanoma.

本文引用的文献

1
Salivary proteomics of healthy dogs: An in depth catalog.健康犬类的唾液蛋白质组学:深入目录
PLoS One. 2018 Jan 12;13(1):e0191307. doi: 10.1371/journal.pone.0191307. eCollection 2018.
2
The Saliva Proteome of Dogs: Variations Within and Between Breeds and Between Species.狗的唾液蛋白质组:品种内和品种间以及物种间的变化。
Proteomics. 2018 Feb;18(3-4). doi: 10.1002/pmic.201700293.
3
Salivary biomarkers and proteomics: future diagnostic and clinical utilities.唾液生物标志物与蛋白质组学:未来的诊断及临床应用
唾液蛋白质组学在监测犬口腔黑色素瘤治疗反应中的应用。
PLoS One. 2021 Aug 19;16(8):e0256167. doi: 10.1371/journal.pone.0256167. eCollection 2021.
4
The Serum and Saliva Proteome of Dogs with Diabetes Mellitus.患有糖尿病的犬类的血清和唾液蛋白质组
Animals (Basel). 2020 Dec 1;10(12):2261. doi: 10.3390/ani10122261.
5
Salivary proteomic profile of dogs with and without dental calculus.有牙石和无牙石犬的唾液蛋白质组图谱。
BMC Vet Res. 2020 Aug 19;16(1):298. doi: 10.1186/s12917-020-02514-0.
6
Salivary proteomics of canine oral tumors using MALDI-TOF mass spectrometry and LC-tandem mass spectrometry.犬口腔肿瘤的唾液蛋白质组学研究:MALDI-TOF 质谱和 LC-串联质谱法
PLoS One. 2019 Jul 18;14(7):e0219390. doi: 10.1371/journal.pone.0219390. eCollection 2019.
Acta Otorhinolaryngol Ital. 2017 Apr;37(2):94-101. doi: 10.14639/0392-100X-1598.
4
Comparative proteomic analysis of the influence of gender and acid stimulation on normal human saliva using LC/MS/MS.使用液相色谱-串联质谱法对性别和酸刺激对正常人唾液的影响进行比较蛋白质组学分析。
Proteomics Clin Appl. 2017 Jul;11(7-8). doi: 10.1002/prca.201600142. Epub 2017 Mar 21.
5
A systematic review and meta-analysis of salivary cortisol measurement in domestic canines.家犬唾液皮质醇测量的系统评价与荟萃分析。
Domest Anim Endocrinol. 2016 Oct;57:31-42. doi: 10.1016/j.domaniend.2016.04.003. Epub 2016 May 11.
6
Association of potential salivary biomarkers with diabetic retinopathy and its severity in type-2 diabetes mellitus: a proteomic analysis by mass spectrometry.2型糖尿病患者潜在唾液生物标志物与糖尿病视网膜病变及其严重程度的关联:基于质谱的蛋白质组学分析
PeerJ. 2016 May 12;4:e2022. doi: 10.7717/peerj.2022. eCollection 2016.
7
Identification of canine saliva using mRNA-based assay.使用基于mRNA的检测方法鉴定犬类唾液。
Int J Legal Med. 2017 Jan;131(1):39-43. doi: 10.1007/s00414-016-1391-7. Epub 2016 May 25.
8
Protein expression and genetic variability of canine Can f 1 in golden and Labrador retriever service dogs.金毛和拉布拉多寻回犬工作犬中犬Can f 1的蛋白质表达和遗传变异性
Canine Genet Epidemiol. 2016 Apr 22;3:3. doi: 10.1186/s40575-016-0031-3. eCollection 2016.
9
Optimized procedure of extraction, purification and proteomic analysis of nuclear proteins from mouse brain.小鼠脑组织细胞核蛋白提取、纯化及蛋白质组学分析的优化程序
J Neurosci Methods. 2016 Mar 1;261:1-9. doi: 10.1016/j.jneumeth.2015.12.002. Epub 2015 Dec 14.
10
Changes in the salivary protein profile of morbidly obese women either previously subjected to bariatric surgery or not.曾接受或未接受过减肥手术的病态肥胖女性唾液蛋白质谱的变化。
J Physiol Biochem. 2015 Dec;71(4):691-702. doi: 10.1007/s13105-015-0434-8. Epub 2015 Sep 23.