Suppr超能文献

正电子发射断层显像/磁共振成像(PET/MRI):互补性混合成像时代的前沿技术。

PET/MRI: a frontier in era of complementary hybrid imaging.

作者信息

Musafargani Sikkandhar, Ghosh Krishna Kanta, Mishra Sachin, Mahalakshmi Pachaiyappan, Padmanabhan Parasuraman, Gulyás Balázs

机构信息

1Lee Kong Chian School of Medicine, Nanyang Technological University, 59 Nanyang Drive, Singapore, 636921 Singapore.

2School of Electrical Engineering, Vellore Institute of Technology, Vellore, 632014 India.

出版信息

Eur J Hybrid Imaging. 2018;2(1):12. doi: 10.1186/s41824-018-0030-6. Epub 2018 Jun 25.

Abstract

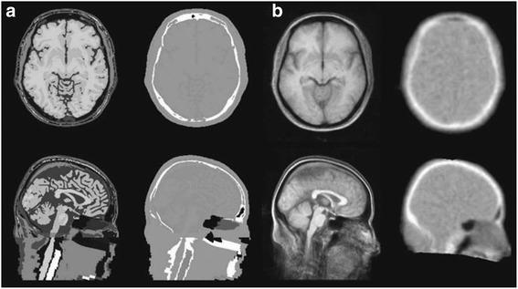
With primitive approaches, the diagnosis and therapy were operated at the cellular, molecular, or even at the genetic level. As the diagnostic techniques are more concentrated towards molecular level, multi modal imaging becomes specifically essential. Multi-modal imaging has extensive applications in clinical as well as in pre-clinical studies. Positron Emission Tomography (PET) has flourished in the field of nuclear medicine, which has motivated it to fuse with Computed Tomography (CT) and Magnetic Resonance Imaging (MRI) for PET/CT and PET/MRI respectively. However, the challenges in PET/CT are due to the inability of simultaneous acquisition and reduced soft tissue contrast, which has led to the development of PET/MRI. Also, MRI offers the better soft tissue contrast over CT. Hence, fusion of PET and MRI results in combining structural information with functional image from PET. Yet, it has many technical challenges due to the interference between the modalities. Also, it must be resolved with various approaches for addressing the shortcomings of each system and improvise on the image quantification system. This review elaborates on the various challenges in the present PET/MRI system and the future directions of the hybrid modality. Also, the different data acquisition and analysis techniques of PET/MRI system are discussed with enhanced details on the software tools.

摘要

采用传统方法时,诊断和治疗是在细胞、分子甚至基因层面进行的。随着诊断技术越来越集中于分子层面,多模态成像变得尤为重要。多模态成像在临床以及临床前研究中都有广泛应用。正电子发射断层扫描(PET)在核医学领域蓬勃发展,促使其分别与计算机断层扫描(CT)和磁共振成像(MRI)融合,形成PET/CT和PET/MRI。然而,PET/CT存在一些挑战,比如无法同时采集以及软组织对比度降低,这促使了PET/MRI的发展。此外,MRI比CT具有更好的软组织对比度。因此,PET与MRI融合可将结构信息与PET的功能图像相结合。然而,由于模态之间的干扰,它存在许多技术挑战。此外,必须通过各种方法来解决每个系统的缺点并改进图像量化系统。本综述详细阐述了当前PET/MRI系统面临的各种挑战以及这种混合模态的未来发展方向。同时,还讨论了PET/MRI系统不同的数据采集和分析技术,并对软件工具进行了更详细的介绍。

https://cdn.ncbi.nlm.nih.gov/pmc/blobs/7e10/6015803/c76604c7f2bb/41824_2018_30_Fig1_HTML.jpg

文献AI研究员

20分钟写一篇综述,助力文献阅读效率提升50倍。

立即体验

用中文搜PubMed

大模型驱动的PubMed中文搜索引擎

马上搜索

文档翻译

学术文献翻译模型,支持多种主流文档格式。

立即体验