Suppr超能文献

后纵隔苗勒管囊肿:一例报告

Müllerian cyst in posterior mediastinum: A report of a case.

作者信息

Sekimura Atsushi, Iwai Shun, Funasaki Aika, Motono Nozomu, Usuda Katsuo, Uramoto Hidetaka

机构信息

Department of Thoracic Surgery, Kanazawa Medical University, Japan.

Department of Thoracic Surgery, Kanazawa Medical University, Japan.

出版信息

Int J Surg Case Rep. 2018;49:163-165. doi: 10.1016/j.ijscr.2018.06.037. Epub 2018 Jul 9.

Abstract

INTRODUCTION

A Müllerian cyst is a recently defined rare benign tumor of the posterior mediastinum. It is necessary to distinguish it from neurogenic tumor or bronchogenic cyst arising in the posterior mediastinum. Herein, we have reported and reviewed a case of Müllerian cyst in the light of the existing literature.

PRESENTATION OF A CASE

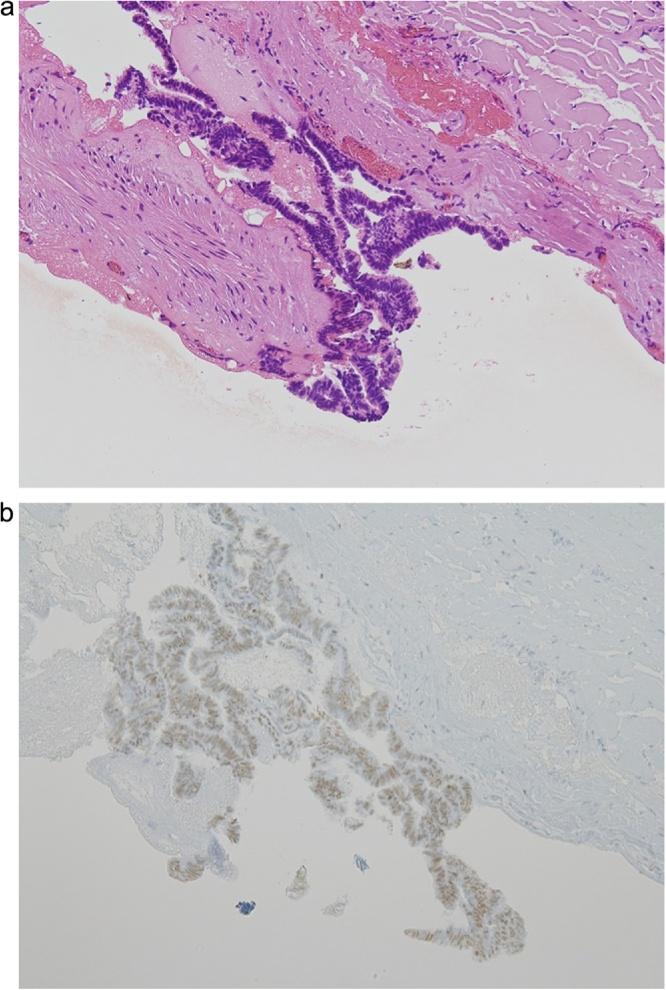
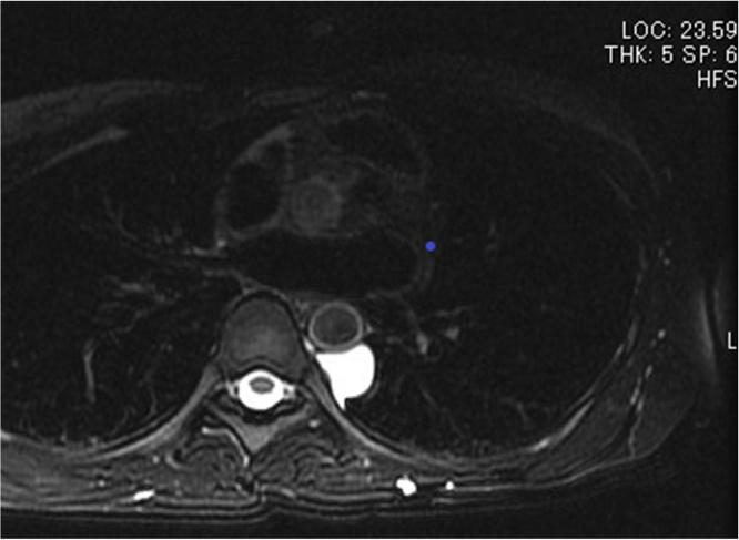
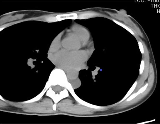
A 40-year-old woman was referred to our department for abnormal mediastinal tumor on computed tomography (CT). Chest CT revealed a 2-cm nodule in the left posterior mediastinum, while magnetic resonance imaging (MRI) T2-weighted scan revealed an elliptical, homogenous, and high-intensity neoplasm, and bronchogenic cyst or neurogenic tumor was suspected. She did not present with any symptoms. A thoracoscopic surgery was performed for the cyst removal. Histopathological examination revealed that the cyst wall was covered with a layer of columnar epithelium. Immunohistochemical staining revealed the presence of estrogen receptor (ER) and progesterone receptor (PgR). Therefore a diagnosis of mediastinal Müllerian cyst was made.

DISCUSSION AND CONCLUSION

It is important to differentiate Müllerian cyst in the posterior mediastinal from other mediastinal cystic tumor for optimal decision-making in treatment.

摘要

引言

苗勒管囊肿是一种最近定义的后纵隔罕见良性肿瘤。有必要将其与后纵隔发生的神经源性肿瘤或支气管源性囊肿相鉴别。在此,我们根据现有文献报告并回顾了一例苗勒管囊肿病例。

病例介绍

一名40岁女性因计算机断层扫描(CT)发现纵隔肿瘤异常转诊至我科。胸部CT显示左后纵隔有一个2厘米的结节,而磁共振成像(MRI)T2加权扫描显示为椭圆形、均匀、高强度的肿瘤,怀疑为支气管源性囊肿或神经源性肿瘤。她没有任何症状。为切除囊肿进行了胸腔镜手术。组织病理学检查显示囊肿壁覆盖有一层柱状上皮。免疫组织化学染色显示存在雌激素受体(ER)和孕激素受体(PgR)。因此诊断为纵隔苗勒管囊肿。

讨论与结论

区分后纵隔苗勒管囊肿与其他纵隔囊性肿瘤对于治疗的最佳决策很重要。

https://cdn.ncbi.nlm.nih.gov/pmc/blobs/98cb/6068079/907927e5a031/gr1.jpg

文献AI研究员

20分钟写一篇综述,助力文献阅读效率提升50倍。

立即体验

用中文搜PubMed

大模型驱动的PubMed中文搜索引擎

马上搜索

文档翻译

学术文献翻译模型,支持多种主流文档格式。

立即体验