• 文献检索
  • 文档翻译
  • 深度研究
  • 学术资讯
  • Suppr Zotero 插件Zotero 插件
  • 邀请有礼
  • 套餐&价格
  • 历史记录
应用&插件
Suppr Zotero 插件Zotero 插件浏览器插件Mac 客户端Windows 客户端微信小程序
定价
高级版会员购买积分包购买API积分包
服务
文献检索文档翻译深度研究API 文档MCP 服务
关于我们
关于 Suppr公司介绍联系我们用户协议隐私条款
关注我们

Suppr 超能文献

核心技术专利:CN118964589B侵权必究
粤ICP备2023148730 号-1Suppr @ 2026

文献检索

告别复杂PubMed语法,用中文像聊天一样搜索,搜遍4000万医学文献。AI智能推荐,让科研检索更轻松。

立即免费搜索

文件翻译

保留排版,准确专业,支持PDF/Word/PPT等文件格式,支持 12+语言互译。

免费翻译文档

深度研究

AI帮你快速写综述,25分钟生成高质量综述,智能提取关键信息,辅助科研写作。

立即免费体验

胸部高分辨率CT上肺结节病的CT活动评分与肺功能及血清血管紧张素转换酶之间的关系

Relationship between CT activity score with lung function and the serum angiotensin converting enzyme in pulmonary sarcoidosis on chest HRCT.

作者信息

Duan Jianghui, Xu Yanyan, Zhu Haixu, Zhang Haibo, Sun Shilong, Sun Hongliang, Wang Wu, Xie Sheng

机构信息

Department of Radiology, China-Japan Friendship Hospital, Beijing Department of Radiology, The People's Hospital of Xinjiang Uyghur Autonomous Region, Urumqi, China.

出版信息

Medicine (Baltimore). 2018 Sep;97(36):e12205. doi: 10.1097/MD.0000000000012205.

DOI:10.1097/MD.0000000000012205
PMID:30200130
原文链接:https://pmc.ncbi.nlm.nih.gov/articles/PMC6133449/
Abstract

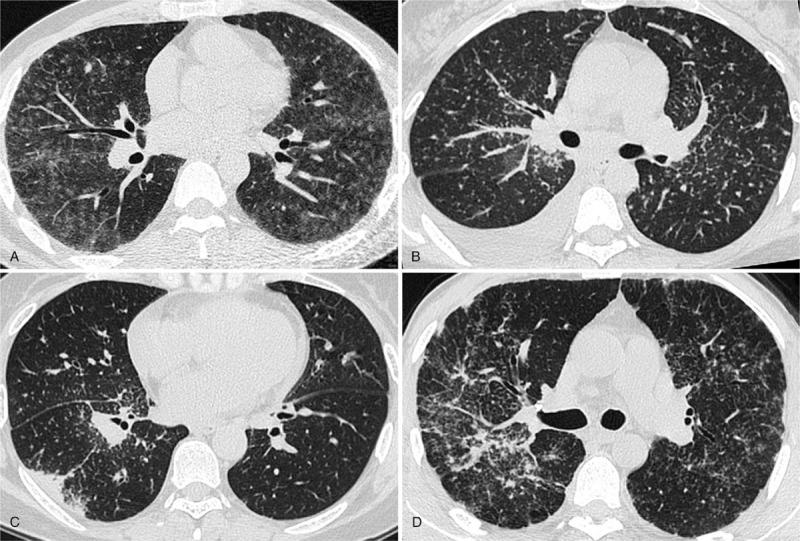
To address the reliability of CT activity score (CTAS) and investigate the relationships between CTAS, lung function changes after treatment and the serum angiotensin-converting enzyme (SACE) levels.Fifty-seven sarcoidosis patients underwent chest high-resolution CT (HRCT) and spirometry, as well as SACE examination, were retrospectively analyzed. Follow-up spirometry in each patient was obtained about 6 months after the initial spirometry. The correlations between CTAS and pulmonary function changes were evaluated by Spearman correlation analysis. According to SACE status, patients were divided into normal and high level 2 subgroups. Comparisons of pulmonary function parameters, HRCT abnormalities extent scores between SACE normal and high 2 subgroups were performed with the Mann-Whitney U test or Independent samples t test.CTAS demonstrated significant correlations with lung function changes (Δ%VC: ρ= 0.543, P < .001; ΔFEV1.0/FVC:ρ = 0.417, P = .001; Δ%TLC: ρ = 0.309, P = .019). In addition, worse initial lung function, larger changes of lung function, and higher extent scores of HRCT were observed in SACE high-level subgroup.The findings of this study suggest that CTAS of initial HRCT is a promising index for disease activity in pulmonary sarcoidosis to some degree. Prospective studies with large cohort designed to address further verification are warranted before wide clinical practice.

摘要

为了评估CT活动评分(CTAS)的可靠性,并研究CTAS、治疗后肺功能变化与血清血管紧张素转换酶(SACE)水平之间的关系。对57例结节病患者进行回顾性分析,这些患者均接受了胸部高分辨率CT(HRCT)、肺功能测定以及SACE检查。每位患者在首次肺功能测定后约6个月进行随访肺功能测定。采用Spearman相关分析评估CTAS与肺功能变化之间的相关性。根据SACE状态,将患者分为正常和高水平2个亚组。采用Mann-Whitney U检验或独立样本t检验对SACE正常和高水平2个亚组之间的肺功能参数、HRCT异常程度评分进行比较。CTAS与肺功能变化显著相关(Δ%VC:ρ=0.543,P<0.001;ΔFEV1.0/FVC:ρ=0.417,P=0.001;Δ%TLC:ρ=0.309,P=0.019)。此外,SACE高水平亚组患者的初始肺功能更差、肺功能变化更大、HRCT异常程度评分更高。本研究结果表明,初始HRCT的CTAS在一定程度上是肺结节病疾病活动的一个有前景的指标。在广泛临床应用之前,有必要进行大规模队列的前瞻性研究以进一步验证。

https://cdn.ncbi.nlm.nih.gov/pmc/blobs/56f9/6133449/688cc8082242/medi-97-e12205-g001.jpg
https://cdn.ncbi.nlm.nih.gov/pmc/blobs/56f9/6133449/688cc8082242/medi-97-e12205-g001.jpg
https://cdn.ncbi.nlm.nih.gov/pmc/blobs/56f9/6133449/688cc8082242/medi-97-e12205-g001.jpg

相似文献

1
Relationship between CT activity score with lung function and the serum angiotensin converting enzyme in pulmonary sarcoidosis on chest HRCT.胸部高分辨率CT上肺结节病的CT活动评分与肺功能及血清血管紧张素转换酶之间的关系
Medicine (Baltimore). 2018 Sep;97(36):e12205. doi: 10.1097/MD.0000000000012205.
2
Sarcoidosis activity: correlation of HRCT findings with those of 67Ga scanning, bronchoalveolar lavage, and serum angiotensin-converting enzyme assay.结节病活动度:高分辨率计算机断层扫描(HRCT)结果与镓-67扫描、支气管肺泡灌洗及血清血管紧张素转换酶测定结果的相关性
J Comput Assist Tomogr. 1998 Mar-Apr;22(2):229-34. doi: 10.1097/00004728-199803000-00013.
3
Sarcoidosis: correlation of HRCT findings with results of pulmonary function tests and serum angiotensin-converting enzyme assay.结节病:高分辨率CT表现与肺功能测试结果及血清血管紧张素转换酶测定的相关性
Kurume Med J. 1998;45(3):247-56. doi: 10.2739/kurumemedj.45.247.
4
Angiotensin-converting Enzyme as a Predictor of Extrathoracic Involvement of Sarcoidosis.血管紧张素转换酶作为结节病胸外受累的预测指标。
Sarcoidosis Vasc Diffuse Lung Dis. 2016 Jan 18;32(4):318-24.
5
Sarcoidosis in children: HRCT findings and correlation with pulmonary function tests.儿童结节病:高分辨率CT表现及其与肺功能测试的相关性
Pediatr Pulmonol. 2014 Dec;49(12):1223-33. doi: 10.1002/ppul.22956. Epub 2013 Dec 11.
6
Pulmonary sarcoidosis: role of CT in the evaluation of disease activity and functional impairment and in prognosis assessment.
Radiology. 1994 Jun;191(3):675-80. doi: 10.1148/radiology.191.3.8184045.
7
Diagnostic and Staging Value of Serum Angiotensin-Converting Enzyme in Sarcoidosis.血清血管紧张素转换酶在肉样瘤病中的诊断和分期价值。
Comput Math Methods Med. 2022 Feb 22;2022:4657502. doi: 10.1155/2022/4657502. eCollection 2022.
8
Correlative analysis of longitudinal changes in bronchoalveolar lavage, 67gallium scanning, serum angiotensin-converting enzyme activity, chest X-ray, and pulmonary function tests in pulmonary sarcoidosis.结节病患者支气管肺泡灌洗、镓扫描、血清血管紧张素转换酶活性、胸部X线及肺功能检查纵向变化的相关性分析
Jpn J Med. 1987 Aug;26(3):360-7. doi: 10.2169/internalmedicine1962.26.360.
9
Pulmonary sarcoidosis with and without extrapulmonary involvement: a cross-sectional and observational study in China.有和无肺外受累的肺结节病:一项在中国的横断面观察性研究。
BMJ Open. 2018 Feb 16;8(2):e018865. doi: 10.1136/bmjopen-2017-018865.
10
High resolution computed tomography in 2-year follow-up of Stage I sarcoidosis.一期结节病 2 年随访的高分辨率 CT。
Adv Exp Med Biol. 2013;788:369-74. doi: 10.1007/978-94-007-6627-3_50.

引用本文的文献

1
The Renin-Angiotensin-Aldosterone System Regulates Sarcoidosis Granulomatous Inflammation.肾素-血管紧张素-醛固酮系统调节肉样瘤病肉芽肿炎症。
Am J Respir Crit Care Med. 2024 Aug 15;210(4):497-507. doi: 10.1164/rccm.202402-0265OC.
2
Clinical Manifestations and Management of Fibrotic Pulmonary Sarcoidosis.纤维化型结节病的临床表现与管理
J Clin Med. 2023 Dec 31;13(1):241. doi: 10.3390/jcm13010241.
3
Lymphocyte Subsets and Pulmonary Nodules to Predict the Progression of Sarcoidosis.淋巴细胞亚群与肺结节对结节病进展的预测作用

本文引用的文献

1
Verifying Sarcoidosis Activity: Chitotriosidase versus ACE in Sarcoidosis - a Case-control Study.验证结节病活动度:结节病中几丁质酶与血管紧张素转换酶的比较——一项病例对照研究
J Med Biochem. 2016 Nov 2;35(4):390-400. doi: 10.1515/jomb-2016-0017. eCollection 2016 Oct.
2
CTAS: a CT score to quantify disease activity in pulmonary sarcoidosis.CTAS:一种用于量化肺结节病疾病活动度的 CT 评分。
Thorax. 2016 Dec;71(12):1161-1163. doi: 10.1136/thoraxjnl-2016-208833. Epub 2016 Jul 27.
3
Presence of macronodules in thoracic sarcoidosis: prevalence and computed tomographic findings.
Biomedicines. 2023 May 13;11(5):1437. doi: 10.3390/biomedicines11051437.
4
Performance of Serum Angiotensin-Converting Enzyme in Diagnosing Sarcoidosis and Predicting the Active Status of Sarcoidosis: A Meta-Analysis.血清血管紧张素转换酶在诊断结节病及预测结节病活动状态中的作用:一项荟萃分析。
Biomolecules. 2022 Sep 30;12(10):1400. doi: 10.3390/biom12101400.
5
Hypoxia Promotes a Mixed Inflammatory-Fibrotic Macrophages Phenotype in Active Sarcoidosis.缺氧促进活动期结节病中混合炎症-纤维化的巨噬细胞表型。
Front Immunol. 2021 Aug 11;12:719009. doi: 10.3389/fimmu.2021.719009. eCollection 2021.
6
A Comprehensive Review of Sarcoidosis Diagnosis and Monitoring for the Pulmonologist.肺科医生结节病诊断与监测的全面综述
Pulm Ther. 2021 Dec;7(2):309-324. doi: 10.1007/s41030-021-00161-w. Epub 2021 Jun 6.
7
Biomarkers in the Diagnosis and Prognosis of Sarcoidosis: Current Use and Future Prospects.结节病的诊断和预后的生物标志物:当前的应用和未来的前景。
Front Immunol. 2020 Jul 14;11:1443. doi: 10.3389/fimmu.2020.01443. eCollection 2020.
8
Clinical characteristics and organ system involvement in sarcoidosis: comparison of the University of Minnesota Cohort with other cohorts.结节病的临床特征和器官系统受累:明尼苏达大学队列与其他队列的比较。
BMC Pulm Med. 2020 Jun 1;20(1):155. doi: 10.1186/s12890-020-01191-x.
9
Morphological Patterns of Sarcoidosis and Clinical Outcome: Retrospective Analysis through a Multidisciplinary Approach.结节病的形态学模式与临床结局:通过多学科方法进行的回顾性分析
Diagnostics (Basel). 2020 Apr 11;10(4):212. doi: 10.3390/diagnostics10040212.
10
Prognostic Biomarkers of Sarcoidosis: A Comparative Study of Serum Chitotriosidase, ACE, Lysozyme, and KL-6.结节病的预后生物标志物:血清几丁质酶、ACE、溶菌酶和 KL-6 的比较研究。
Dis Markers. 2019 Mar 3;2019:8565423. doi: 10.1155/2019/8565423. eCollection 2019.
Clin Radiol. 2015 Aug;70(8):815-21. doi: 10.1016/j.crad.2015.03.012. Epub 2015 May 2.
4
Diagnosis of Sarcoidosis.结节病的诊断。
Clin Rev Allergy Immunol. 2015 Aug;49(1):54-62. doi: 10.1007/s12016-015-8475-x.
5
Sarcoidosis: overview of pulmonary manifestations and imaging.结节病:肺部表现及影像学概述
Semin Roentgenol. 2015 Jan;50(1):52-64. doi: 10.1053/j.ro.2014.06.001. Epub 2014 Jun 19.
6
ACE and sIL-2R correlate with lung function improvement in sarcoidosis during methotrexate therapy.在甲氨蝶呤治疗结节病期间,血管紧张素转换酶(ACE)和可溶性白细胞介素-2受体(sIL-2R)与肺功能改善相关。
Respir Med. 2015 Feb;109(2):279-85. doi: 10.1016/j.rmed.2014.11.009. Epub 2014 Nov 29.
7
Sarcoidosis in children: HRCT findings and correlation with pulmonary function tests.儿童结节病:高分辨率CT表现及其与肺功能测试的相关性
Pediatr Pulmonol. 2014 Dec;49(12):1223-33. doi: 10.1002/ppul.22956. Epub 2013 Dec 11.
8
Typical and atypical pattern of pulmonary sarcoidosis at high-resolution CT: relation to clinical evolution and therapeutic procedures.高分辨率 CT 表现典型与不典型肺结节病的特点:与临床演变和治疗过程的关系。
Radiol Med. 2014 Jun;119(6):384-92. doi: 10.1007/s11547-013-0356-x. Epub 2013 Dec 3.
9
HRCT findings of pulmonary sarcoidosis; relation to pulmonary function tests.肺结节病的高分辨率CT表现;与肺功能测试的关系。
Multidiscip Respir Med. 2013 Feb 5;8(1):8. doi: 10.1186/2049-6958-8-8.
10
Severity of pulmonary involvement and (18)F-FDG PET activity in sarcoidosis.结节病肺部受累程度及(18)F-FDG PET 活性。
Respir Med. 2013 Mar;107(3):439-47. doi: 10.1016/j.rmed.2012.11.011. Epub 2012 Dec 19.