Suppr超能文献

PPP1R35 通过促进中心体转化来确保中心体的稳态。

PPP1R35 ensures centriole homeostasis by promoting centriole-to-centrosome conversion.

机构信息

Cell Biology Program, Memorial Sloan Kettering Cancer Center, New York, NY 10065.

Weill Cornell Graduate School of Medical Sciences, Cornell University, New York, NY 10065.

出版信息

Mol Biol Cell. 2018 Nov 15;29(23):2801-2808. doi: 10.1091/mbc.E18-08-0525. Epub 2018 Sep 19.

Abstract

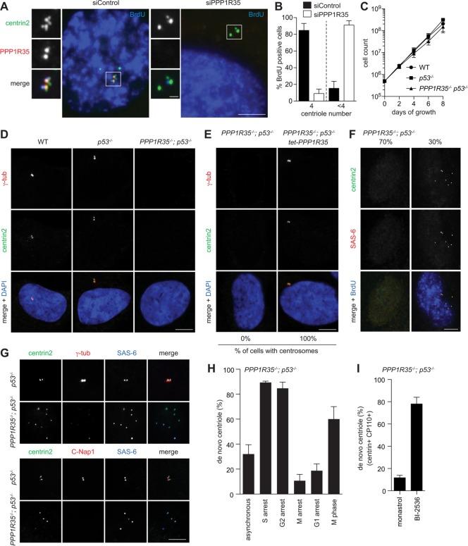
Centriole-to-centrosome conversion (CCC) safeguards centriole homeostasis by coupling centriole duplication with segregation, and is essential for stabilization of mature vertebrate centrioles naturally devoid of the geometric scaffold or the cartwheel. Here we identified PPP1R35, a putative regulator of the protein phosphatase PP1, as a novel centriolar protein required for CCC. We found that PPP1R35 is enriched at newborn daughter centrioles in S or G2 phase. In the absence of PPP1R35, centriole assembly initiates normally in S phase, but none of the nascent centrioles can form active centrosomes or recruit CEP295, an essential factor for CCC. Instead, all PPP1R35-null centrioles, although stable during their birth in interphase, become disintegrated after mitosis upon cartwheel removal. Surprisingly, we found that neither the centriolar localization nor the function of PPP1R35 in CCC requires the putative PP1-interacting motif. PPP1R35 is thus acting upstream of CEP295 to induce CCC for proper centriole maintenance.

摘要

中心体-中心粒转化(CCC)通过将中心粒复制与分离偶联来保障中心粒的稳态,对于稳定成熟的脊椎动物中心粒至关重要,这些中心粒自然缺乏几何支架或车轮。在这里,我们鉴定出 PPP1R35 是一种蛋白磷酸酶 PP1 的假定调节因子,是 CCC 所必需的新的中心粒蛋白。我们发现 PPP1R35 在 S 期或 G2 期的新生女儿中心粒中富集。在没有 PPP1R35 的情况下,中心粒组装在 S 期正常启动,但没有一个新生的中心粒能够形成活跃的中心体或招募 CEP295,CEP295 是 CCC 的一个必需因素。相反,所有 PPP1R35 缺失的中心粒,尽管在间期出生时稳定,但在车轮移除后的有丝分裂后会解体。令人惊讶的是,我们发现 PPP1R35 在 CCC 中的中心粒定位和功能都不需要假定的 PP1 相互作用基序。因此,PPP1R35 在上游作用于 CEP295 以诱导 CCC,从而维持中心粒的正常状态。

https://cdn.ncbi.nlm.nih.gov/pmc/blobs/6dee/6249868/5e9533ba1703/mbc-29-2801-g001.jpg

文献AI研究员

20分钟写一篇综述,助力文献阅读效率提升50倍。

立即体验

用中文搜PubMed

大模型驱动的PubMed中文搜索引擎

马上搜索

文档翻译

学术文献翻译模型,支持多种主流文档格式。

立即体验