Suppr超能文献

一例致命的乙型流感心肌炎合并心脏压塞病例。

A Fatal Case of Influenza B Myocarditis with Cardiac Tamponade.

作者信息

Roto Dominick, Malnoske Michelle L, Winters Shira, Georas Steve N

机构信息

Department of Medicine, University of Rochester Medical Center, 601 Elmwood Avenue, Rochester, NY 14642, USA.

Division of Pulmonary and Critical Care, Department of Medicine, University of Rochester Medical Center, 601 Elmwood Avenue, Rochester, NY 14642, USA.

出版信息

Case Rep Crit Care. 2018 Aug 30;2018:8026314. doi: 10.1155/2018/8026314. eCollection 2018.

Abstract

BACKGROUND

Influenza B is generally regarded as a less severe counterpart to influenza A, typically causing mild upper respiratory symptoms. Myocardial involvement with influenza B is a rare complication, better described in children than adults. However, when it occurs, it can lead to profound myocarditis with progression to shock requiring aggressive supportive care.

CASE PRESENTATION

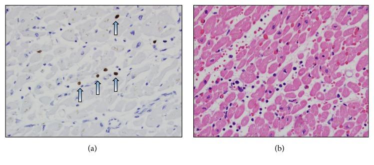
We present a case of cardiac tamponade in the setting of influenza B infection in a previously healthy 57-year-old woman, with progression to refractory shock and death. Autopsy revealed myocardial necrosis with infiltration of CD3+ lymphocytes, and little evidence of viral pneumonia.

CONCLUSIONS

Myocarditis is a rare complication of influenza B in adults, and subsequent pericardial effusion with tamponade physiology is a previously unreported event in an otherwise healthy adult without other medical comorbidities. While rare, this is a serious and potentially fatal complication that clinicians should be aware of when evaluating a patient with suspected viral illness who is exhibiting shock physiology.

摘要

背景

乙型流感通常被认为比甲型流感症状较轻,一般引起轻度上呼吸道症状。乙型流感累及心肌是一种罕见的并发症,在儿童中比成人有更详尽的描述。然而,一旦发生,可能导致严重心肌炎并进展为休克,需要积极的支持治疗。

病例报告

我们报告一例57岁既往健康女性在感染乙型流感后发生心脏压塞,进展为难治性休克并死亡。尸检显示心肌坏死伴CD3 +淋巴细胞浸润,几乎没有病毒性肺炎的证据。

结论

心肌炎是成人乙型流感的罕见并发症,随后出现心包积液伴心脏压塞生理状态在既往无其他疾病的健康成人中是此前未报告的事件。虽然罕见,但这是一种严重且可能致命的并发症,临床医生在评估表现出休克生理状态的疑似病毒感染患者时应予以关注。

https://cdn.ncbi.nlm.nih.gov/pmc/blobs/f534/6136560/7a2847419d10/CRICC2018-8026314.001.jpg

文献AI研究员

20分钟写一篇综述,助力文献阅读效率提升50倍。

立即体验

用中文搜PubMed

大模型驱动的PubMed中文搜索引擎

马上搜索

文档翻译

学术文献翻译模型,支持多种主流文档格式。

立即体验