Suppr超能文献

肾下腔静脉发育不全所致盆腔淤血综合征

Pelvic congestion syndrome due to agenesis of the infrarenal inferior vena cava.

作者信息

Menezes Terence, Haider Ehsan A, Al-Douri Faten, El-Khodary Mohamed, Al-Salmi Ishaq

机构信息

Department of Radiology, St. Joseph's Healthcare Hamilton, Hamilton, Canada.

Department of Radiology, Faculty of Health Sciences, McMaster University, Hamilton, Canada.

出版信息

Radiol Case Rep. 2018 Oct 6;14(1):36-40. doi: 10.1016/j.radcr.2018.04.004. eCollection 2019 Jan.

Abstract

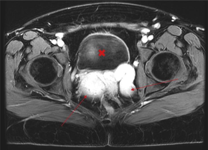
The inferior vena cava (IVC) is the main conduit of venous return to the right atrium from the lower extremities and abdominal organs. Agenesis of the IVC has an incidence of <1% in the general population [1], although it has been reported in the literature as occurring in up to 8.7% of the population [2]. Patients with absent IVC may present with symptoms of lower extremity venous insufficiency [6], idiopathic deep venous thrombosis [7], or pelvic congestion syndrome. To our knowledge there have only been a few cases reported in the literature of agenesis of the IVC associated with pelvic congestion syndrome [3,10,11]. We present another interesting case of pelvic congestion syndrome due to absent IVC.

摘要

下腔静脉(IVC)是下肢和腹部器官静脉血回流至右心房的主要通道。下腔静脉缺如在普通人群中的发生率<1%[1],尽管文献报道其发生率高达8.7%[2]。下腔静脉缺如的患者可能出现下肢静脉功能不全[6]、特发性深静脉血栓形成[7]或盆腔淤血综合征的症状。据我们所知,文献中仅报道了少数几例下腔静脉缺如合并盆腔淤血综合征的病例[3,10,11]。我们在此呈现另一例因下腔静脉缺如导致盆腔淤血综合征的有趣病例。

https://cdn.ncbi.nlm.nih.gov/pmc/blobs/0f9e/6174840/17c5cb6380c2/gr1.jpg

文献AI研究员

20分钟写一篇综述,助力文献阅读效率提升50倍。

立即体验

用中文搜PubMed

大模型驱动的PubMed中文搜索引擎

马上搜索

文档翻译

学术文献翻译模型,支持多种主流文档格式。

立即体验