Suppr超能文献

不同孕期的寨卡病毒感染:胎盘组织的解剖病理学发现、靶细胞及病毒持续性

Zika Virus Infection at Different Pregnancy Stages: Anatomopathological Findings, Target Cells and Viral Persistence in Placental Tissues.

作者信息

de Noronha Lucia, Zanluca Camila, Burger Marion, Suzukawa Andreia Akemi, Azevedo Marina, Rebutini Patricia Z, Novadzki Iolanda Maria, Tanabe Laurina Setsuko, Presibella Mayra Marinho, Duarte Dos Santos Claudia Nunes

机构信息

Laboratório de Patologia Experimental, Pontifícia Universidade Católica do Paraná, Curitiba, Brazil.

Laboratório de Virologia Molecular, Instituto Carlos Chagas, Fundação Oswaldo Cruz, Curitiba, Brazil.

出版信息

Front Microbiol. 2018 Sep 25;9:2266. doi: 10.3389/fmicb.2018.02266. eCollection 2018.

Abstract

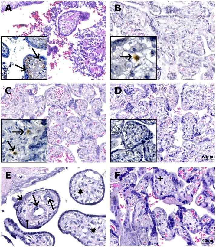
Zika virus (ZIKV) infection in humans has been associated with congenital malformations and other neurological disorders, such as Guillain-Barré syndrome. The mechanism(s) of ZIKV intrauterine transmission, the cell types involved, the most vulnerable period of pregnancy for severe outcomes from infection and other physiopathological aspects are not completely elucidated. In this study, we analyzed placental samples obtained at the time of delivery from a group of 24 women diagnosed with ZIKV infection during the first, second or third trimesters of pregnancy. Villous immaturity was the main histological finding in the placental tissues, although placentas without alterations were also frequently observed. Significant enhancement of the number of syncytial sprouts was observed in the placentas of women infected during the third trimester, indicating the development of placental abnormalities after ZIKV infection. Hyperplasia of Hofbauer cells (HCs) was also observed in these third-trimester placental tissues, and remarkably, HCs were the only ZIKV-positive fetal cells found in the placentas studied that persisted until birth, as revealed by immunohistochemical (IHC) analysis. Thirty-three percent of women infected during pregnancy delivered infants with congenital abnormalities, although no pattern correlating the gestational stage at infection, the IHC positivity of HCs in placental tissues and the presence of congenital malformations at birth was observed. Placental tissue analysis enabled us to confirm maternal ZIKV infection in cases where serum from the acute infection phase was not available, which reinforces the importance of this technique in identifying possible causal factors of birth defects. The results we observed in the samples from naturally infected pregnant women may contribute to the understanding of some aspects of the pathophysiology of ZIKV.

摘要

人类感染寨卡病毒(ZIKV)与先天性畸形及其他神经系统疾病有关,如吉兰-巴雷综合征。ZIKV宫内传播的机制、涉及的细胞类型、孕期感染导致严重后果的最易感染期以及其他生理病理方面尚未完全阐明。在本研究中,我们分析了一组24名在妊娠第一、第二或第三孕期被诊断为ZIKV感染的女性分娩时获得的胎盘样本。绒毛不成熟是胎盘组织的主要组织学发现,不过也经常观察到无改变的胎盘。在妊娠晚期感染的女性胎盘中观察到合体滋养层芽数量显著增加,表明ZIKV感染后胎盘异常的发展。在这些妊娠晚期胎盘组织中还观察到霍夫鲍尔细胞(HCs)增生,值得注意的是,免疫组织化学(IHC)分析显示,HCs是所研究的胎盘中唯一持续到出生的ZIKV阳性胎儿细胞。33%的孕期感染女性分娩出有先天性异常的婴儿,不过未观察到与感染时的孕周、胎盘组织中HCs的IHC阳性以及出生时先天性畸形存在相关的模式。胎盘组织分析使我们能够在无法获得急性感染期血清的情况下确认母体ZIKV感染,这强化了该技术在识别出生缺陷可能因果因素方面的重要性。我们在自然感染孕妇样本中观察到的结果可能有助于理解ZIKV病理生理学的某些方面。

https://cdn.ncbi.nlm.nih.gov/pmc/blobs/c896/6180237/621a05eb4695/fmicb-09-02266-g0001.jpg

文献检索

告别复杂PubMed语法,用中文像聊天一样搜索,搜遍4000万医学文献。AI智能推荐,让科研检索更轻松。

立即免费搜索

文件翻译

保留排版,准确专业,支持PDF/Word/PPT等文件格式,支持 12+语言互译。

免费翻译文档

深度研究

AI帮你快速写综述,25分钟生成高质量综述,智能提取关键信息,辅助科研写作。

立即免费体验