Suppr超能文献

乳胶对7,12 - 二甲基苯并(a)蒽诱导的大鼠乳腺癌的影响。

The effect of latex on 7, 12-dimethylbenz () anthracene-induced breast cancer in rats.

作者信息

Ghandehari Fereshte, Fatemi Mahnoosh

机构信息

Department of Microbiology, Falavarjan Branch, Islamic Azad University, Isfahan, Iran.

Department of Biology, Falavarjan Branch, Islamic Azad University, Isfahan, Iran.

出版信息

Avicenna J Phytomed. 2018 Jul-Aug;8(4):286-295.

Abstract

OBJECTIVE

In traditional medicine, (also known as fig) latex is recognized as a remedy with various therapeutic effects. Recently, studies have reported the anticancer effect of this latex on cancer cell lines. This study evaluated the effect of this latex on breast cancer growth, hematological parameters, and histopathology in rats.

MATERIALS AND METHODS

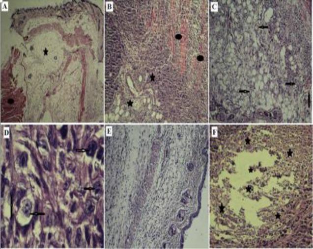
Twenty-four female rats were randomly divided into 3 groups. In cancerous group, 0.5 ml 7, 12-dimethylbenz (a) anthracene was injected to nipple for breast cancer induction. The control group received sesame oil at the same volume through similar route. In fig latex treated group (Fle), breast cancer was induced and then 0.5 ml of fig latex was intratumorally injected on a daily basis for 4 weeks. Tumor size was measured at the 2, 4 and 6 weeks of the experiment. Blood samples were used for investigation of the hematological parameters and livers, kidneys and tumor tissues were removed for histopathological analysis.

RESULTS

The tumor size in Fle group was significantly decreased compared to the cancerous group. Haematocrit, hemoglobin, RBC and their indices were significantly decreased, whereas platelet, leukocyte and white blood cell numbers were significantly increased in cancerous group compared to the control group. There were no changes in these parameters in the Fle group compared to the control group. There were severe pathological changes in the livers and kidneys of cancerous group, but not in Fle group.

CONCLUSION

These results suggest that fig latex could decrease tumor growth without having any adverse effect on hematological and histological factors. However, further investigation is required in this field.

摘要

目的

在传统医学中,无花果乳胶(也称为无花果液汁)被认为是一种具有多种治疗作用的药物。最近,有研究报道了这种乳胶对癌细胞系的抗癌作用。本研究评估了这种乳胶对大鼠乳腺癌生长、血液学参数和组织病理学的影响。

材料与方法

将24只雌性大鼠随机分为3组。在癌组中,向乳头注射0.5 ml 7,12-二甲基苯并(a)蒽以诱导乳腺癌。对照组通过类似途径接受相同体积的芝麻油。在无花果乳胶治疗组(Fle)中,诱导乳腺癌,然后每天瘤内注射0.5 ml无花果乳胶,持续4周。在实验的第2、4和6周测量肿瘤大小。采集血样用于血液学参数研究,并切除肝脏、肾脏和肿瘤组织进行组织病理学分析。

结果

与癌组相比,Fle组的肿瘤大小显著减小。与对照组相比,癌组的血细胞比容、血红蛋白、红细胞及其指数显著降低,而血小板、白细胞和白细胞数量显著增加。与对照组相比,Fle组的这些参数没有变化。癌组的肝脏和肾脏有严重的病理变化,但Fle组没有。

结论

这些结果表明,无花果乳胶可以减少肿瘤生长,而对血液学和组织学因素没有任何不利影响。然而,该领域还需要进一步研究。

https://cdn.ncbi.nlm.nih.gov/pmc/blobs/9554/6204144/93b043ef9ece/AJP-8-286-g001.jpg

相似文献

2
The Effect of Fig Tree Latex (Ficus carica) on Stomach Cancer Line.
Iran Red Crescent Med J. 2011 Apr;13(4):272-5. Epub 2011 Apr 1.
3
Antitumoral activity of Ficus carica L. on colorectal cancer cell lines.
Cell Mol Biol (Noisy-le-grand). 2019 Jul 31;65(6):6-11.
4
Comparative anticancer activities of and latex in MDA-MB-231 cells.
Saudi J Biol Sci. 2021 Jun;28(6):3225-3234. doi: 10.1016/j.sjbs.2021.02.061. Epub 2021 Feb 24.
9
Therapeutic effects of fig tree latex on bovine papillomatosis.
J Vet Med B Infect Dis Vet Public Health. 2003 Dec;50(10):473-6. doi: 10.1046/j.1439-0450.2003.00702.x.

引用本文的文献

2
DNA barcoding, micromorphology and metabolic traits of selected Ficus L. (Moraceae) species from Egypt.
BMC Plant Biol. 2024 Nov 13;24(1):1067. doi: 10.1186/s12870-024-05683-4.
3
Physicochemistry, Nutritional, and Therapeutic Potential of - A Promising Nutraceutical.
Drug Des Devel Ther. 2024 May 30;18:1947-1968. doi: 10.2147/DDDT.S436446. eCollection 2024.
4
Comparative anticancer activities of and latex in MDA-MB-231 cells.
Saudi J Biol Sci. 2021 Jun;28(6):3225-3234. doi: 10.1016/j.sjbs.2021.02.061. Epub 2021 Feb 24.

本文引用的文献

2
Proposal of the Coagulation Score as a Predictor for Short-Term and Long-Term Outcomes of Patients with Resectable Gastric Cancer.
Ann Surg Oncol. 2017 Feb;24(2):502-509. doi: 10.1245/s10434-016-5544-1. Epub 2016 Sep 6.
3
[Relationship between circulating tumor cells and coagulation factors in primary lung cancer patients].
Zhonghua Zhong Liu Za Zhi. 2016 May 23;38(5):368-71. doi: 10.3760/cma.j.issn.0253-3766.2016.05.009.
4
Methanolic Extract of Ficus carica Linn. Leaves Exerts Antiangiogenesis Effects Based on the Rat Air Pouch Model of Inflammation.
Evid Based Complement Alternat Med. 2015;2015:760405. doi: 10.1155/2015/760405. Epub 2015 Apr 21.
5
Is early detection of colon cancer possible with red blood cell distribution width?
Asian Pac J Cancer Prev. 2015;16(2):753-6. doi: 10.7314/apjcp.2015.16.2.753.
6
Ficus carica latex prevents invasion through induction of let-7d expression in GBM cell lines.
Cell Mol Neurobiol. 2015 Mar;35(2):175-87. doi: 10.1007/s10571-014-0109-y. Epub 2014 Sep 12.
8
The Effect of Fig Tree Latex (Ficus carica) on Stomach Cancer Line.
Iran Red Crescent Med J. 2011 Apr;13(4):272-5. Epub 2011 Apr 1.
10
Treatment regimen with bevacizumab decreases mean platelet volume in patients with metastatic colon cancer.
Clin Appl Thromb Hemost. 2012 Sep;18(5):546-8. doi: 10.1177/1076029611430958. Epub 2011 Dec 26.

文献AI研究员

20分钟写一篇综述,助力文献阅读效率提升50倍。

立即体验

用中文搜PubMed

大模型驱动的PubMed中文搜索引擎

马上搜索

文档翻译

学术文献翻译模型,支持多种主流文档格式。

立即体验