Suppr超能文献

基于软件的颅磁共振成像中的噪声减少:对图像质量的影响。

Software-based noise reduction in cranial magnetic resonance imaging: Influence on image quality.

机构信息

Department of Diagnostic Radiology and Neuroradiology, University Medicine Greifswald, Greifswald, Germany.

Department of Radiology, University Medicine Rostock, Rostock, Germany.

出版信息

PLoS One. 2018 Nov 1;13(11):e0206196. doi: 10.1371/journal.pone.0206196. eCollection 2018.

Abstract

OBJECTIVES

To investigate acoustic noise reduction, image quality and white matter lesion detection rates of cranial magnetic resonance imaging (MRI) scans acquired with and without sequence-based acoustic noise reduction software.

MATERIAL AND METHODS

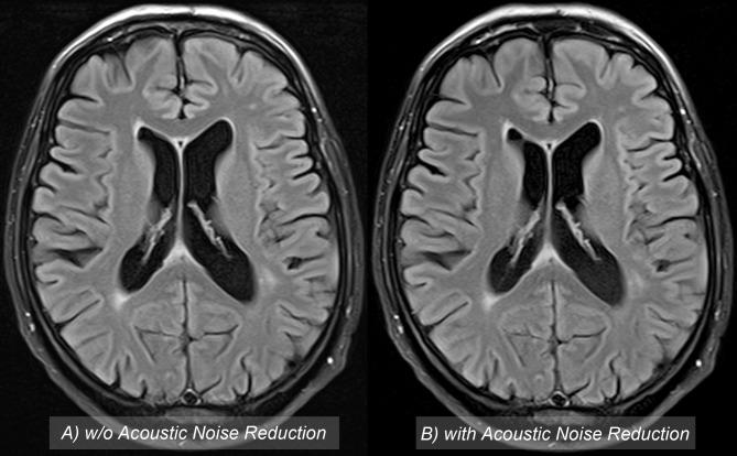
Thirty-one patients, including 18 men and 13 women, with a mean age of 58.3±14.5 years underwent cranial MRI. A fluid-attenuated inversion recovery (FLAIR) sequence was acquired with and without acoustic noise reduction using the Quiet Suite (QS) software (Siemens Healthcare). During data acquisition, peak sound pressure levels were measured with a sound level meter (Testo, Typ 815). In addition, two observers assessed subjective image quality for both sequences using a five-point scale (1 very good-5 inadequate). Signal-to-noise ratio (SNR) was measured for both sequences in the following regions: white matter, gray matter, and cerebrospinal fluid. Furthermore, lesion detection rates in white matter pathologies were evaluated by two observers for both sequences. Acoustic noise, image quality including SNR and white matter lesion detection rates were compared using the Mann-Whitney-U-test.

RESULTS

Peak sound pressure levels were slightly but significantly reduced using QS, P≤0.017. Effective sound pressure, measured in Pascal, was decreased by 19.7%. There was no significant difference in subjective image quality between FLAIR sequences acquired without/with QS: observer 1: 2.03/2.07, P = 0.730; observer 2: 1.98/2.10, P = 0.362. In addition, SNR was significantly increased in white matter, P≤0.001, and gray matter, P = 0.006, using QS. The lesion detection rates did not decline utilizing QS: observer 1: P = 0.944 observer 2: P = 0.952.

CONCLUSIONS

Sequence-based noise reduction software such as QS can significantly reduce peak sound pressure levels, without a loss of subjective image quality and increase SNR at constant lesion detection rates.

摘要

目的

研究基于序列的降噪软件在降低颅磁共振成像(MRI)扫描噪声、提高图像质量和检测脑白质病变方面的效果。

材料与方法

31 例患者(男 18 例,女 13 例,平均年龄 58.3±14.5 岁)行颅脑 MRI 检查。采用 Quiet Suite(QS)软件行液体衰减反转恢复(FLAIR)序列扫描,分别记录有无降噪序列的峰值声压级。同时,使用声级计(Testo,Typ 815)测量数据采集过程中的峰值声压级。此外,两位观察者使用五分制评估两种序列的主观图像质量(1 分为非常好,5 分为非常差)。分别在白质、灰质和脑脊液中测量两种序列的信噪比(SNR)。然后,由两位观察者评估两种序列在脑白质病变中的检测率。使用 Mann-Whitney-U 检验比较有无降噪序列时的噪声、图像质量(包括 SNR)和脑白质病变检测率。

结果

QS 可显著降低峰值声压级,P≤0.017。以帕斯卡为单位测量的有效声压降低了 19.7%。在无/有 QS 的 FLAIR 序列中,观察者 1 的主观图像质量差异无统计学意义(2.03/2.07,P=0.730),观察者 2 的主观图像质量差异也无统计学意义(1.98/2.10,P=0.362)。此外,QS 可显著提高白质和灰质的 SNR,P≤0.001 和 P=0.006。使用 QS 时,病变的检测率没有下降:观察者 1:P=0.944;观察者 2:P=0.952。

结论

基于序列的降噪软件(如 QS)可显著降低峰值声压级,而不影响主观图像质量,并在保持病变检测率不变的情况下提高 SNR。

https://cdn.ncbi.nlm.nih.gov/pmc/blobs/493e/6211671/1c835224b800/pone.0206196.g001.jpg

文献AI研究员

20分钟写一篇综述,助力文献阅读效率提升50倍。

立即体验

用中文搜PubMed

大模型驱动的PubMed中文搜索引擎

马上搜索

文档翻译

学术文献翻译模型,支持多种主流文档格式。

立即体验