Suppr超能文献

脂肪组织中的程序性死亡配体1调节乳腺癌中程序性死亡受体1/程序性死亡配体1检查点阻断免疫治疗的疗效。

Adipose PD-L1 Modulates PD-1/PD-L1 Checkpoint Blockade Immunotherapy Efficacy in Breast Cancer.

作者信息

Wu Bogang, Sun Xiujie, Gupta Harshita B, Yuan Bin, Li Jingwei, Ge Fei, Chiang Huai-Chin, Zhang Xiaowen, Zhang Chi, Zhang Deyi, Yang Jing, Hu Yanfen, Curiel Tyler J, Li Rong

机构信息

Department of Molecular Medicine, University of Texas Health San Antonio, San Antonio, USA.

Department of Medicine, University of Texas Health San Antonio, San Antonio, USA.

出版信息

Oncoimmunology. 2018 Aug 23;7(11):e1500107. doi: 10.1080/2162402X.2018.1500107. eCollection 2018.

Abstract

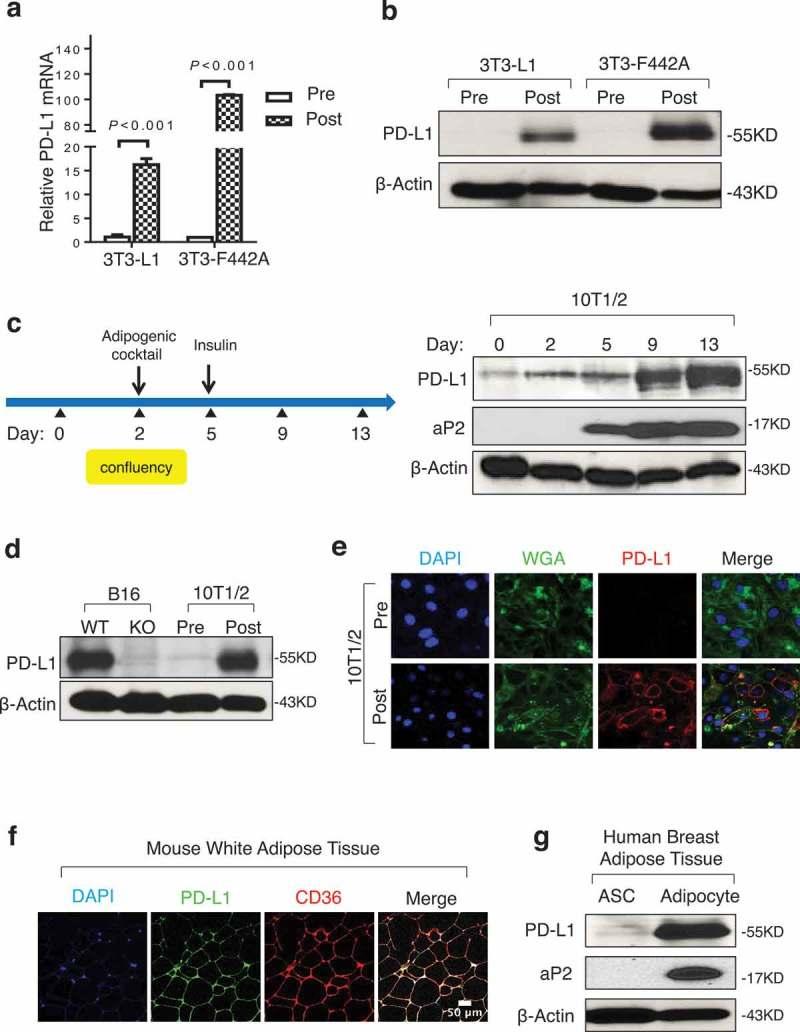
Programmed death-ligand 1 (PD-L1) and its receptor programmed cell death protein 1 (PD-1) modulate antitumor immunity and are major targets of checkpoint blockade immunotherapy. However, clinical trials of anti-PD-L1 and anti-PD-1 antibodies in breast cancer demonstrate only modest efficacy. Furthermore, specific PD-L1 contributions in various tissue and cell compartments to antitumor immunity remain incompletely elucidated. Here we show that PD-L1 expression is markedly elevated in mature adipocytes versus preadipocytes. Adipocyte PD-L1 prevents anti-PD-L1 antibody from activating important antitumor functions of CD8 T cells . Adipocyte PD-L1 ablation obliterates, whereas forced preadipocyte PD-L1 expression confers, these inhibitory effects. Pharmacologic inhibition of adipogenesis selectively reduces PD-L1 expression in mouse adipose tissue and enhances the antitumor efficacy of anti-PD-L1 or anti-PD-1 antibodies in syngeneic mammary tumor models. Our findings provide a previously unappreciated approach to bolster anticancer immunotherapy efficacy and suggest a mechanism for the role of adipose tissue in breast cancer progression.

摘要

程序性死亡配体1(PD-L1)及其受体程序性细胞死亡蛋白1(PD-1)调节抗肿瘤免疫,是检查点阻断免疫疗法的主要靶点。然而,抗PD-L1和抗PD-1抗体在乳腺癌中的临床试验仅显示出适度的疗效。此外,PD-L1在各种组织和细胞区室中对抗肿瘤免疫的具体贡献仍未完全阐明。在此我们表明,与前脂肪细胞相比,成熟脂肪细胞中PD-L1的表达显著升高。脂肪细胞PD-L1可阻止抗PD-L1抗体激活CD8 T细胞的重要抗肿瘤功能。脂肪细胞PD-L1的缺失消除了这些抑制作用,而强制前脂肪细胞表达PD-L1则赋予了这些抑制作用。脂肪生成的药理抑制选择性降低小鼠脂肪组织中PD-L1的表达,并增强同基因乳腺肿瘤模型中抗PD-L1或抗PD-1抗体的抗肿瘤疗效。我们的研究结果提供了一种以前未被认识的增强抗癌免疫疗法疗效的方法,并提示了脂肪组织在乳腺癌进展中的作用机制。

https://cdn.ncbi.nlm.nih.gov/pmc/blobs/b809/6209395/630413706d82/koni-07-11-1500107-g001.jpg

文献检索

告别复杂PubMed语法,用中文像聊天一样搜索,搜遍4000万医学文献。AI智能推荐,让科研检索更轻松。

立即免费搜索

文件翻译

保留排版,准确专业,支持PDF/Word/PPT等文件格式,支持 12+语言互译。

免费翻译文档

深度研究

AI帮你快速写综述,25分钟生成高质量综述,智能提取关键信息,辅助科研写作。

立即免费体验