• 文献检索
  • 文档翻译
  • 深度研究
  • 学术资讯
  • Suppr Zotero 插件Zotero 插件
  • 邀请有礼
  • 套餐&价格
  • 历史记录
应用&插件
Suppr Zotero 插件Zotero 插件浏览器插件Mac 客户端Windows 客户端微信小程序
定价
高级版会员购买积分包购买API积分包
服务
文献检索文档翻译深度研究API 文档MCP 服务
关于我们
关于 Suppr公司介绍联系我们用户协议隐私条款
关注我们

Suppr 超能文献

核心技术专利:CN118964589B侵权必究
粤ICP备2023148730 号-1Suppr @ 2026

文献检索

告别复杂PubMed语法,用中文像聊天一样搜索,搜遍4000万医学文献。AI智能推荐,让科研检索更轻松。

立即免费搜索

文件翻译

保留排版,准确专业,支持PDF/Word/PPT等文件格式,支持 12+语言互译。

免费翻译文档

深度研究

AI帮你快速写综述,25分钟生成高质量综述,智能提取关键信息,辅助科研写作。

立即免费体验

诺氏疟原虫裂殖子侵入红细胞研究的最新进展

Recent advances in understanding the invasion of erythrocytes by merozoites of Plasmodium knowlesi.

作者信息

Bannister L H, Butcher G A, Mitchell G H

出版信息

Bull World Health Organ. 1977;55(2-3):163-9.

PMID:303947
原文链接:https://pmc.ncbi.nlm.nih.gov/articles/PMC2366744/
Abstract

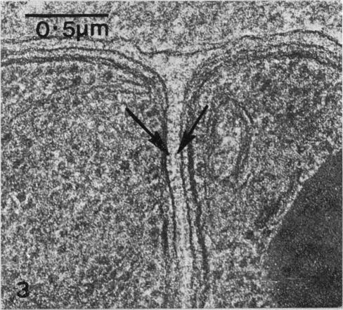
Previous observations on the process of invasion by P. knowlesi are briefly reviewed and new findings concerning the adhesion of parasites to erythrocytes and their intracellular passage are reported. Merozoites adhere to erythrocytes by means of a well-defined coat with the cytochemical characteristics of glycoprotein. This coat has receptors that engage in at least three distinct types of attachment. The ensuing invagination of the erythrocyte surface has two phases, the first consisting of an inward buckling of the membrane to form a vacuole and the second a rapid expansion to create the final parasitophorous vacuole inhabited by the trophic parasite. Some cytochemical evidence concerning the nature of the rhoptry complex is discussed in relation to these changes.

摘要

本文简要回顾了先前对诺氏疟原虫入侵过程的观察,并报告了有关寄生虫与红细胞粘附及其细胞内穿行的新发现。裂殖子通过具有糖蛋白细胞化学特征的明确被膜粘附于红细胞。该被膜具有参与至少三种不同类型附着的受体。随后红细胞表面的内陷有两个阶段,第一阶段是膜向内弯曲形成液泡,第二阶段是快速扩张以形成滋养寄生虫居住的最终的寄生泡。结合这些变化讨论了一些关于棒状体复合体性质的细胞化学证据。

https://cdn.ncbi.nlm.nih.gov/pmc/blobs/b65f/2366744/bcbf8477d84b/bullwho00446-0044-d.jpg
https://cdn.ncbi.nlm.nih.gov/pmc/blobs/b65f/2366744/27e0101a50df/bullwho00446-0045-a.jpg
https://cdn.ncbi.nlm.nih.gov/pmc/blobs/b65f/2366744/60a6310803ae/bullwho00446-0045-b.jpg
https://cdn.ncbi.nlm.nih.gov/pmc/blobs/b65f/2366744/92e791abd0f5/bullwho00446-0045-c.jpg
https://cdn.ncbi.nlm.nih.gov/pmc/blobs/b65f/2366744/229288498e17/bullwho00446-0045-d.jpg
https://cdn.ncbi.nlm.nih.gov/pmc/blobs/b65f/2366744/90cd3f80c120/bullwho00446-0044-a.jpg
https://cdn.ncbi.nlm.nih.gov/pmc/blobs/b65f/2366744/0625795d0504/bullwho00446-0044-b.jpg
https://cdn.ncbi.nlm.nih.gov/pmc/blobs/b65f/2366744/3ae3c2c890ad/bullwho00446-0044-c.jpg
https://cdn.ncbi.nlm.nih.gov/pmc/blobs/b65f/2366744/bcbf8477d84b/bullwho00446-0044-d.jpg
https://cdn.ncbi.nlm.nih.gov/pmc/blobs/b65f/2366744/27e0101a50df/bullwho00446-0045-a.jpg
https://cdn.ncbi.nlm.nih.gov/pmc/blobs/b65f/2366744/60a6310803ae/bullwho00446-0045-b.jpg
https://cdn.ncbi.nlm.nih.gov/pmc/blobs/b65f/2366744/92e791abd0f5/bullwho00446-0045-c.jpg
https://cdn.ncbi.nlm.nih.gov/pmc/blobs/b65f/2366744/229288498e17/bullwho00446-0045-d.jpg
https://cdn.ncbi.nlm.nih.gov/pmc/blobs/b65f/2366744/90cd3f80c120/bullwho00446-0044-a.jpg
https://cdn.ncbi.nlm.nih.gov/pmc/blobs/b65f/2366744/0625795d0504/bullwho00446-0044-b.jpg
https://cdn.ncbi.nlm.nih.gov/pmc/blobs/b65f/2366744/3ae3c2c890ad/bullwho00446-0044-c.jpg
https://cdn.ncbi.nlm.nih.gov/pmc/blobs/b65f/2366744/bcbf8477d84b/bullwho00446-0044-d.jpg

相似文献

1
Recent advances in understanding the invasion of erythrocytes by merozoites of Plasmodium knowlesi.诺氏疟原虫裂殖子侵入红细胞研究的最新进展
Bull World Health Organ. 1977;55(2-3):163-9.
2
Malaria (Plasmodium knowlesi) merozoites: immunity and the surface coat.疟疾(诺氏疟原虫)裂殖子:免疫与表面被膜
J Immunol. 1975 Apr;114(4):1237-42.
3
Hypothesis on the mechanism of erythrocyte invasion by malaria merozoites.关于疟原虫裂殖子侵入红细胞机制的假说。
Bull World Health Organ. 1977;55(2-3):157-62.
4
Erythrocyte invasion: vocabulary and grammar of the Plasmodium rhoptry.红细胞入侵:疟原虫棒状体的词汇和语法
Parasitol Int. 2007 Dec;56(4):255-62. doi: 10.1016/j.parint.2007.05.003. Epub 2007 May 29.
5
Localization of protective 143/140 kDa antigens of Plasmodium knowlesi by the use of antibodies and ultracryomicrotomy.
Eur J Cell Biol. 1986 Aug;41(2):207-13.
6
Erythrocyte entry by malarial parasites. A moving junction between erythrocyte and parasite.疟原虫进入红细胞。红细胞与寄生虫之间的移动连接。
J Cell Biol. 1978 Apr;77(1):72-82. doi: 10.1083/jcb.77.1.72.
7
A freeze-fracture study on the parasite-erythrocyte interrelationship in Plasmodium knowlesi infections.诺氏疟原虫感染中寄生虫与红细胞相互关系的冷冻蚀刻研究。
Bull World Health Organ. 1977;55(2-3):199-203.
8
Targeted deletion of Plasmodium knowlesi Duffy binding protein confirms its role in junction formation during invasion.诺氏疟原虫达菲结合蛋白的靶向缺失证实了其在入侵过程中连接形成中的作用。
Mol Microbiol. 2005 Mar;55(6):1925-34. doi: 10.1111/j.1365-2958.2005.04523.x.
9
Structure and invasive behaviour of Plasmodium knowlesi merozoites in vitro.体外诺氏疟原虫裂殖子的结构与侵袭行为
Parasitology. 1975 Dec;71(3):483-91. doi: 10.1017/s0031182000047247.
10
Parasite ligand-host receptor interactions during invasion of erythrocytes by Plasmodium merozoites.疟原虫裂殖子侵入红细胞过程中的寄生虫配体-宿主受体相互作用。
Int J Parasitol. 2004 Dec;34(13-14):1413-29. doi: 10.1016/j.ijpara.2004.10.010.

引用本文的文献

1
Host cell remodeling by pathogens: the exomembrane system in Plasmodium-infected erythrocytes.病原体对宿主细胞的重塑:疟原虫感染红细胞中的外膜系统
FEMS Microbiol Rev. 2016 Sep;40(5):701-21. doi: 10.1093/femsre/fuw016.
2
Disease progression in Plasmodium knowlesi malaria is linked to variation in invasion gene family members.诺氏疟原虫疟疾的疾病进展与入侵基因家族成员的变异有关。
PLoS Negl Trop Dis. 2014 Aug 14;8(8):e3086. doi: 10.1371/journal.pntd.0003086. eCollection 2014 Aug.
3
Plasmodium falciparum merozoite surface protein 3: oligomerization, self-assembly, and heme complex formation.

本文引用的文献

1
Biological membranes as bilayer couples. A molecular mechanism of drug-erythrocyte interactions.作为双层偶联物的生物膜。药物与红细胞相互作用的分子机制。
Proc Natl Acad Sci U S A. 1974 Nov;71(11):4457-61. doi: 10.1073/pnas.71.11.4457.
2
Structure and invasive behaviour of Plasmodium knowlesi merozoites in vitro.体外诺氏疟原虫裂殖子的结构与侵袭行为
Parasitology. 1975 Dec;71(3):483-91. doi: 10.1017/s0031182000047247.
3
Malaria (Plasmodium knowlesi) merozoites: immunity and the surface coat.疟疾(诺氏疟原虫)裂殖子:免疫与表面被膜
恶性疟原虫裂殖子表面蛋白 3:寡聚化、自组装和血红素复合物形成。
J Biol Chem. 2014 Feb 14;289(7):3856-68. doi: 10.1074/jbc.M113.520239. Epub 2013 Dec 19.
4
Lytic cycle of Toxoplasma gondii.刚地弓形虫的裂解周期
Microbiol Mol Biol Rev. 2000 Sep;64(3):607-23. doi: 10.1128/MMBR.64.3.607-623.2000.
5
Ultrastructural evidence for dense granule exocytosis by first-generation merozoites of Eimeria tenella in vivo.
Parasitol Res. 1993;79(3):256-8. doi: 10.1007/BF00931902.
6
Malaria: immunity and prospects for vaccination.疟疾:免疫与疫苗接种前景
West J Med. 1981 Oct;135(4):285-99.
7
Electron microscope study of host-parasite interactions of Sarcocystis muris (Protozoa, Coccidia) in tissue culture and in vivo.鼠肉孢子虫(原生动物,球虫纲)在组织培养和体内宿主-寄生虫相互作用的电子显微镜研究。
Z Parasitenkd. 1984;70(1):131-4. doi: 10.1007/BF00929582.
8
Transformation of sporozoites of Plasmodium berghei into exoerythrocytic forms in the liver of its mammalian host.伯氏疟原虫的子孢子在其哺乳动物宿主肝脏中转化为红细胞外期形态。
Cell Tissue Res. 1985;241(2):353-60. doi: 10.1007/BF00217180.
9
Structure and development of the surface coat of erythrocytic merozoites of Plasmodium knowlesi.诺氏疟原虫红细胞内期裂殖子表面被膜的结构与发育
Cell Tissue Res. 1986;245(2):281-90. doi: 10.1007/BF00213933.
10
Toxoplasma modifies macrophage phagosomes by secretion of a vesicular network rich in surface proteins.弓形虫通过分泌富含表面蛋白的囊泡网络来修饰巨噬细胞吞噬体。
J Cell Biol. 1986 Sep;103(3):867-74. doi: 10.1083/jcb.103.3.867.
J Immunol. 1975 Apr;114(4):1237-42.
4
Does a histidine-rich protein from Plasmodium lophurae have a function in merozoite penetration?
J Protozool. 1976 May;23(2):272-7. doi: 10.1111/j.1550-7408.1976.tb03768.x.
5
Clarification of role of ATP in red-cell morphology and function.
Nature. 1977 Jan 13;265(5590):166-8. doi: 10.1038/265166a0.
6
Plasmodium simium:ultrastructure of erythrocytic phase.西氏疟原虫:红细胞内期的超微结构
Exp Parasitol. 1976 Apr;39(2):262-76. doi: 10.1016/0014-4894(76)90126-0.
7
In vitro isolation of Plasmodium knowlesi merozoites using polycarbonate sieves.使用聚碳酸酯筛网体外分离诺氏疟原虫裂殖子
Parasitology. 1975 Dec;71(3):475-81. doi: 10.1017/s0031182000047235.
8
Invasion of erythrocytes by malaria merozoites.疟原虫裂殖子侵入红细胞。
Science. 1975 Feb 28;187(4178):748-50. doi: 10.1126/science.803712.
9
Energy-dependent endocytosis in erythrocyte ghosts. IV. Effects of Ca2+, Na+ +K+, and 5'-adenylylimidodiphosphate.
Biochim Biophys Acta. 1975 Mar 13;382(2):218-29. doi: 10.1016/0005-2736(75)90180-7.
10
A review. Innate resistance in malaria.综述:疟疾的天然抗性
Exp Parasitol. 1976 Aug;40(1):132-46. doi: 10.1016/0014-4894(76)90075-8.