Suppr超能文献

急性脑病患者弥散加权成像上弥漫性皮质损伤的综述:首字母缩写词“CRUMPLED”

Review of diffuse cortical injury on diffusion-weighted imaging in acutely encephalopathic patients with an acronym: "CRUMPLED".

作者信息

Koksel Yasemin, Benson John, Huang Haitao, Gencturk Mehmet, McKinney Alexander M

机构信息

Department of Radiology, Division of Neuroradiology, University of Minnesota Medical Center, Minneapolis, MN, USA.

出版信息

Eur J Radiol Open. 2018 Nov 9;5:194-201. doi: 10.1016/j.ejro.2018.10.004. eCollection 2018.

Abstract

PURPOSE

Acute encephalopathic syndromes can present a diagnostic challenge due to the wide range of possible etiologies, which also can have vastly different outcomes. The presence of diffuse cortical injury (DCI) on diffusion-weighted imaging (DWI) can help narrow the differential diagnosis. The aim of this review is to categorize the range of possible etiologies of DCI into a useful acronym, "CRUMPLED".

METHODS

A review of the PACS system was completed to find a characteristic example of patients with DCI on DWI from different etiologies. The diagnosis was confirmed for each example via a subsequent review of the electronic medical record used to assess for data such as biopsy results, laboratory values, and clinical correlation. The electronic exhibit intends to demonstrate several sample cases of each letter within the acronym, and to demonstrate which types of DCI are potentially reversible or irreversible.

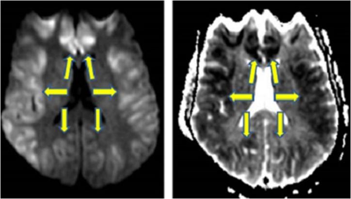
FINDINGS/DISCUSSION: The possible etiologies of DCI on DWI can be organized using the acronym "CRUMPLED": 'C' = Creutzfeldt-jakob disease, 'R' =  reversible cerebral vasoconstriction syndrome; 'U' = urea cycle disorders (hyperammonemia) and Uremia; 'M' = mitochondrial (cytopathy/encephalopathy); 'P' = prolonged seizure and posterior reversible encephalopathy (PRES); 'L' = laminar necrosis (hypoxic-ischemic encephalopathy) and liver disease (acute hepatic encephalopathy); 'E' = encephalitis (infectious meningoencephalitis); 'D' = diabetes mellitus (hypoglycemia). Other secondary imaging findings (outside of DWI) can be used to help differentiate between the aforementioned etiologies, such as the use of ADC maps, FLAIR imaging, intravenous contrast.

CONCLUSION

"CRUMPLED" is proposed as a convenient acronym for the categorization of a diverse range of acute etiologies associated with DCI on DWI, arising from varying degrees of cytotoxic edema. These etiologies can range from being potentially reversible (e.g. hyperammonemia or prolonged seizures) to irreversible (e.g. hypoxic-ischemic injury).

摘要

目的

急性脑病综合征因可能的病因范围广泛而带来诊断挑战,这些病因的预后也可能大不相同。弥散加权成像(DWI)上出现弥漫性皮质损伤(DCI)有助于缩小鉴别诊断范围。本综述的目的是将DCI可能的病因范围归类为一个有用的首字母缩略词“CRUMPLED”。

方法

对图像存档与通信系统(PACS)进行回顾,以找到不同病因的DWI上DCI患者的典型病例。通过随后查阅用于评估活检结果、实验室值和临床相关性等数据的电子病历,对每个病例进行确诊。本电子展示旨在展示该首字母缩略词中每个字母的几个示例病例,并展示哪些类型的DCI可能是可逆的或不可逆的。

结果/讨论:DWI上DCI的可能病因可用首字母缩略词“CRUMPLED”来组织:“C”=克雅氏病;“R”=可逆性脑血管收缩综合征;“U”=尿素循环障碍(高氨血症)和尿毒症;“M”=线粒体(细胞病/脑病);“P”=癫痫持续状态和后部可逆性脑病(PRES);“L”=层状坏死(缺氧缺血性脑病)和肝病(急性肝性脑病);“E”=脑炎(感染性脑膜脑炎);“D”=糖尿病(低血糖)。其他次要影像学表现(DWI之外)可用于帮助区分上述病因,如使用表观扩散系数(ADC)图、液体衰减反转恢复(FLAIR)成像、静脉造影剂。

结论

“CRUMPLED”被提议作为一个方便的首字母缩略词,用于对与DWI上DCI相关的各种急性病因进行分类,这些病因源于不同程度的细胞毒性水肿。这些病因的范围从可能可逆(如高氨血症或癫痫持续状态)到不可逆(如缺氧缺血性损伤)。

https://cdn.ncbi.nlm.nih.gov/pmc/blobs/ef6f/6231053/0f5e4c68bc2d/gr9.jpg

文献检索

告别复杂PubMed语法,用中文像聊天一样搜索,搜遍4000万医学文献。AI智能推荐,让科研检索更轻松。

立即免费搜索

文件翻译

保留排版,准确专业,支持PDF/Word/PPT等文件格式,支持 12+语言互译。

免费翻译文档

深度研究

AI帮你快速写综述,25分钟生成高质量综述,智能提取关键信息,辅助科研写作。

立即免费体验