Di Serafino Marco, Severino Rosa, Brigida Raffaela, Scarano Enrico
Emergency Radiology Department, San Carlo Hospital, Potenza, Italy.
Radiology Department, Federico II University Hospital, Napoli, Italy.
BJR Case Rep. 2016 Nov 2;2(4):20160058. doi: 10.1259/bjrcr.20160058. eCollection 2016.
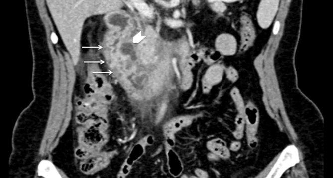
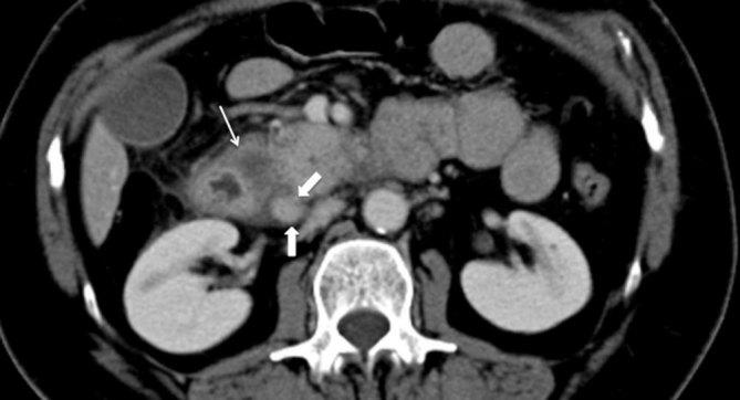
Cystic dystrophy of the duodenal wall in heterotopic pancreas, recently described as paraduodenal pancreatitis, is a rare condition characterized by multiple cysts or pseudocysts located in the submucosa or muscularis propria of a thickened duodenal wall. They result from multiple episodes of obstruction of the small ducts in aberrant pancreatic islets. Cystic dystrophy of the duodenal wall in heterotopic pancreas usually affects alcoholic males, but here we present the case of a female without a history of alcohol abuse who was referred to our emergency department with abdominal pain and vomiting. She was treated by a pancreas-preserving surgical approach, thanks to a proper pre-operative differential diagnosis. Even though differentiating this benign condition from pancreatic cancer is a challenge, some characteristic findings on multidetector CT scan and MRI/MR cholangiopancreatography, such as a thickened duodenal wall containing cysts and sheet-like tissues in the pancreaticoduodenal groove, could lead to the correct diagnosis.
十二指肠壁囊肿性营养不良合并异位胰腺,最近被描述为十二指肠旁胰腺炎,是一种罕见的病症,其特征是在增厚的十二指肠壁的黏膜下层或固有肌层中存在多个囊肿或假性囊肿。它们是由异常胰岛中小导管的多次梗阻引起的。十二指肠壁囊肿性营养不良合并异位胰腺通常影响男性酗酒者,但在此我们报告一例无酗酒史的女性病例,该女性因腹痛和呕吐被转诊至我们的急诊科。由于术前进行了恰当的鉴别诊断,她接受了保留胰腺的手术治疗。尽管将这种良性病症与胰腺癌区分开来具有挑战性,但多排CT扫描和MRI/MR胰胆管造影的一些特征性表现,如十二指肠壁增厚并伴有囊肿以及胰十二指肠沟内的片状组织,可有助于做出正确诊断。