Suppr超能文献

三阴性乳腺癌中拓扑异构酶IIα基因改变及其对蒽环类化疗的预测作用(埃及国家癌症研究所患者)

Topoisomerase II α Gene alteration in Triple Negative Breast Cancer and Its Predictive Role for Anthracycline-Based Chemotherapy (Egyptian NCI Patients).

作者信息

Eltohamy Mahitab Ibrahim, Badawy Omnia Mohammed, El kinaai Naglaa, Loay Iman, Nassar Hanan Ramadan, Allam Rasha Mahmoud, Sakr Mona Ali

机构信息

Department of Pathology, National Cancer Institute, Cairo University, Egypt. Email:

出版信息

Asian Pac J Cancer Prev. 2018 Dec 25;19(12):3581-3589. doi: 10.31557/APJCP.2018.19.12.3581.

Abstract

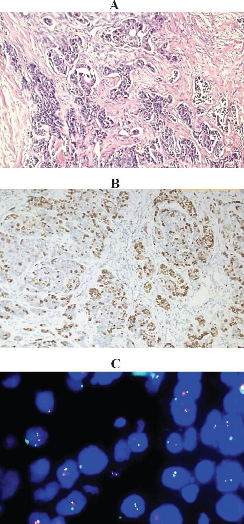
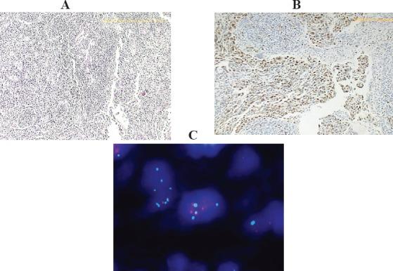
Objective: Triple negative breast cancer is an aggressive variant of breast cancer; it forms about 15% of breast cancer cases. It lacks the responsiveness to hormonal and targeted therapies. Anthracyclines remain the treatment option for these patients. Anthracyclines are cardiotoxic, so predicting sensitivity of response by biological predictors may have a role in selecting suitable candidates for these drugs. Material and methods: This study included 50 TNBC cases, from National Cancer Institute, Cairo University(NCI-CU), Egypt, who underwent surgery and received adjuvant chemotherapy. Archived blocks were obtained and immunostaining for Ki-67 LI and Fluorescent In situ Hybridization (FISH) technique to assess TOP2A gene copy number and chromosome 17CEP status were done. Analysis of association between TOP2A alterations and CEP17 polysomy as well as Ki-67 LI with other clinicopathological parameters was done. Associations between the biological markers and event free survival (EFS) and overall survival (OS), were also performed. Results: TOP2A alteration was seen in 9/50 cases (5 amplified and 4 deleted). CEP17 Polysomy was detected in 14% of cases. Most of patients (80%) showed Ki-67 LI ≥20%. There was a significant association between TOP2A gene and CEP17 status. Outcome was better with abnormal TOP2A gene status and CEP17 polysomy, radiotherapy and combined anthracyclines and taxanes in the adjuvant setting, however P-values were not significant. Conclusion: TOP2A gene alterations and CEP17 polysomy may have prognostic and predictive role in TNBC treated with adjuvant Anthracyclines.

摘要

目的

三阴性乳腺癌是乳腺癌的一种侵袭性亚型,约占乳腺癌病例的15%。它对激素治疗和靶向治疗均无反应。蒽环类药物仍是这些患者的治疗选择。蒽环类药物具有心脏毒性,因此通过生物学预测指标预测反应敏感性可能有助于为这些药物选择合适的候选患者。材料与方法:本研究纳入了50例来自埃及开罗大学国家癌症研究所(NCI-CU)的三阴性乳腺癌患者,这些患者均接受了手术并接受辅助化疗。获取存档组织块,进行Ki-67 LI免疫染色以及荧光原位杂交(FISH)技术以评估TOP2A基因拷贝数和17号染色体着丝粒探针(CEP17)状态。分析TOP2A改变与CEP17多体性之间的关联以及Ki-67 LI与其他临床病理参数之间的关联。还分析了生物学标志物与无事件生存期(EFS)和总生存期(OS)之间的关联。结果:50例患者中有9例(5例扩增,4例缺失)出现TOP2A改变。14%的病例检测到CEP17多体性。大多数患者(80%)的Ki-67 LI≥20%。TOP2A基因与CEP17状态之间存在显著关联。在辅助治疗中,TOP2A基因状态异常、CEP17多体性、放疗以及蒽环类药物与紫杉类药物联合应用时预后较好,然而P值无统计学意义。结论:TOP2A基因改变和CEP17多体性可能在接受辅助蒽环类药物治疗的三阴性乳腺癌中具有预后和预测作用。

https://cdn.ncbi.nlm.nih.gov/pmc/blobs/eb4b/6428522/14906732b01f/APJCP-19-3581-g001.jpg

文献AI研究员

20分钟写一篇综述,助力文献阅读效率提升50倍。

立即体验

用中文搜PubMed

大模型驱动的PubMed中文搜索引擎

马上搜索

文档翻译

学术文献翻译模型,支持多种主流文档格式。

立即体验