Georgiev Georgi P, Landzhov Boycho, Kotov Georgi, Slavchev Svetoslav A, Iliev Alexandar
Orthopaedics and Traumatology, Queen Giovanna Hospital, Sofia, BGR.
Anatomy, Histology and Embryology, Medical University of Sofia, Sofia, BGR.
Cureus. 2018 Nov 5;10(11):e3550. doi: 10.7759/cureus.3550.
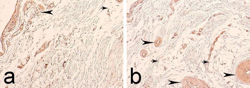
Aim Ninety percent of knee ligament injuries involve the medial collateral ligament (MCL) and the anterior cruciate ligament (ACL) of the knee joint. Matrix metalloproteinases (MMPs) are a large group of calcium- and zinc-dependent endopeptidases responsible for cleaving and rebuilding various connective tissue components. Previous studies showed that MMP-2 and 9 have a significant effect on the healing process of injured ligaments. Therefore, the aim of this study was to evaluate for the first time in literature the expression and localization of MMP-2 and 9 in the epiligament (EL) and the ligament tissue of the MCL and the ACL of the human knee joint in order to assess their role in ligament healing. Materials and methods For the present study, we used histological material from the mid-portion of the MCL and the ACL of 14 knee joints from fresh cadavers. For the purpose of the immunohistochemical analysis, we used primary polyclonal antibodies against MMP-2 and 9. The obtained results were evaluated semi-quantitatively through ImageJ. Results Immunoreactivity for MMP-2 was predominantly positive (2+) in the EL of the MCL and remained mostly negative (0) in the ligament tissue. The expression of MMP-9 was mostly low-positive (1+) in the EL of the MCL and almost entirely negative (0) in the ligament tissue. In the EL of the ACL, the immunohistochemical expression of MMP-2 was predominantly low-positive (1+) and that of the MMP-9 was read as mostly low-positive (1+). Expression of the two enzymes in the ligament tissue was similar to the MCL. Conclusion The present study is the first comparison of the expression of the aforementioned MMPs in the EL tissue of the MCL and the ACL in human knees, which may play a key role in physiological and pathophysiological processes such as tissue healing and repair and basement membrane degradation.
目的 膝关节韧带损伤的90%累及膝关节的内侧副韧带(MCL)和前交叉韧带(ACL)。基质金属蛋白酶(MMPs)是一大类钙和锌依赖性内肽酶,负责切割和重塑各种结缔组织成分。先前的研究表明,MMP-2和9对损伤韧带的愈合过程有显著影响。因此,本研究的目的是首次在文献中评估MMP-2和9在人膝关节MCL和ACL的韧带外膜(EL)及韧带组织中的表达和定位,以评估它们在韧带愈合中的作用。材料和方法 在本研究中,我们使用了来自14具新鲜尸体膝关节MCL和ACL中部的组织学材料。为了进行免疫组织化学分析,我们使用了针对MMP-2和9的多克隆一抗。通过ImageJ对获得的结果进行半定量评估。结果 MMP-2的免疫反应性在MCL的EL中主要为阳性(2+),而在韧带组织中大多为阴性(0)。MMP-9的表达在MCL的EL中大多为低阳性(1+),在韧带组织中几乎完全为阴性(0)。在ACL的EL中,MMP-2的免疫组织化学表达主要为低阳性(1+),MMP-9的表达大多为低阳性(1+)。这两种酶在韧带组织中的表达与MCL相似。结论 本研究首次比较了上述MMPs在人膝关节MCL和ACL的EL组织中的表达,它们可能在组织愈合和修复以及基底膜降解等生理和病理生理过程中起关键作用。