Suppr超能文献

Rare Association of Leukocytoclastic Vasculitis in Visceral Leishmaniaisis.

作者信息

Chhabria Bharath A, Nampoothiri Ram V, Rajpal Sweta, Gupta Kirti, Jain Sanjay

机构信息

Department of Internal Medicine, Postgraduate Institute of Medical Education and Research, Chandigarh, India.

Department of Hematopathology, Postgraduate Institute of Medical Education and Research, Chandigarh, India.

出版信息

Oman Med J. 2019 Jan;34(1):66-69. doi: 10.5001/omj.2019.11.

Abstract

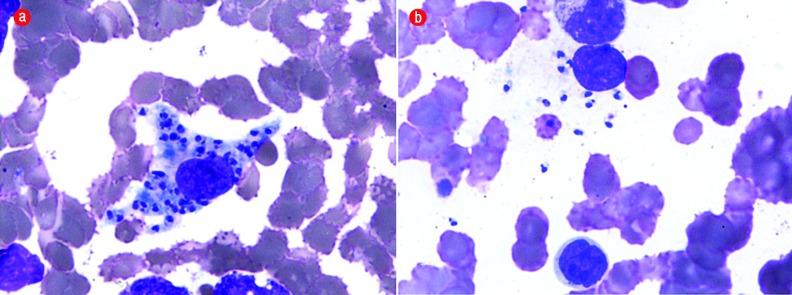
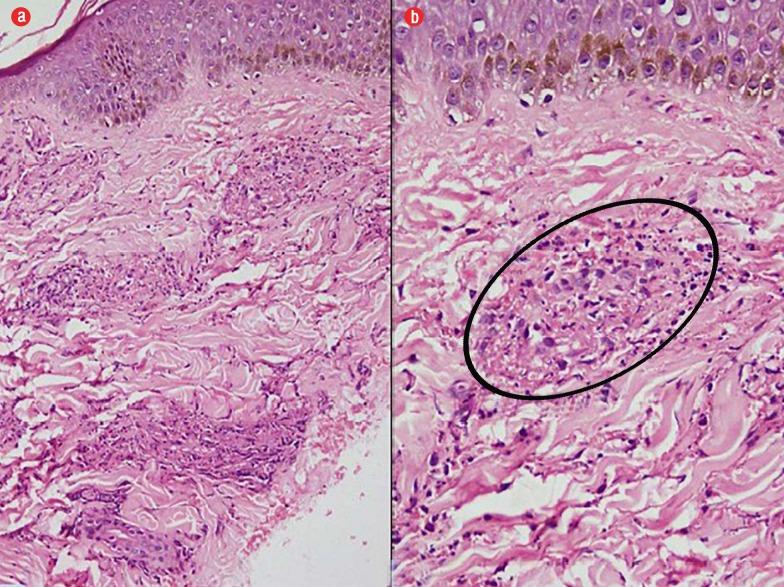
A 30-year-old man presented with fever, hepatosplenomegaly, and a rash over his lower limbs (palpable purpura). Evaluation revealed pancytopenia and hypergammaglobulinemia. A subsequent bone marrow examination and serology confirmed visceral leishmaniasis (kala-azar), while the biopsy of skin lesion suggested leukocytoclastic vasculitis. No alternate cause of vasculitis was forthcoming, and the patient was treated with conventional amphotericin B for 14 days after which resolution of symptoms (including the rash) was noted. Cutaneous vasculitis is an extremely rare complication following visceral leishmaniasis with no known cases reported thus far. Hence, a high index of suspicion is warranted in achieving timely diagnosis and initiation of appropriate therapy.

摘要
https://cdn.ncbi.nlm.nih.gov/pmc/blobs/1c62/6330183/d34377e32b6d/OMJ-D-17-00039-f2.jpg

文献AI研究员

20分钟写一篇综述,助力文献阅读效率提升50倍。

立即体验

用中文搜PubMed

大模型驱动的PubMed中文搜索引擎

马上搜索

文档翻译

学术文献翻译模型,支持多种主流文档格式。

立即体验