Kim Joo Yeon, Kim Ji Yeon, Park Myungchan, Oh Cheol Kyu, Chung Jae-Seung, Park Sang Hyun, Kim Seong Cheol
Department of Pathology, Inje University, Haeundae Paik Hospital, Busan, Republic of Korea.
Department of Urology, Inje University, Haeundae Paik Hospital, Busan, Republic of Korea.
Int J Surg Case Rep. 2019;55:37-40. doi: 10.1016/j.ijscr.2018.12.008. Epub 2019 Jan 19.
Pseudoepitheliomatous keratotic and micaceous balanitis (PKMB) is an extremely rare disease. Herein, we report a case of PKMB in a patient who underwent two surgical procedures, since the 5-FU cream was not available.
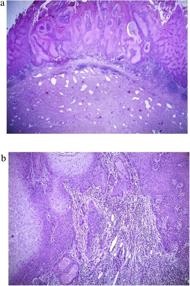
A 50 year-old Korean man undergoing circumcision in a local clinic presented with a tumor-like lesion on the glans penis. Peeling the mass was performed to remove the entire mass after an excisional biopsy. A pathologic finding of mass showed hyperkeratotic and papillomatous squamous epithelium without obvious cytologic atypia. Considering that the lesion recurred after 4 weeks, the patient underwent glansectomy with split-thickness skin graft (STSG). There had been no evidence of recurrence at the surgical site during the follow-up at 6 years postoperatively.
If the 5-FU cream is not available, two surgical procedures can be performed for treatment and biopsy. Peeling the mass has the advantage of confirming the characteristics of the whole lesion, but it cannot confirm tumor invasion because it is unable to obtain the subepithelial layer. Glansectomy is able to accurately identify the tumor stage because it removes the tumor and total glans penis and has excellent outcome.
PKMB is very rare and has a characteristic appearance, which is mica-like crusts and keratotic horny mass on the glans penis. Glansectomy with STSG is a good procedure when the 5-FU cream was not available.
假性上皮瘤样角化性云母状龟头炎(PKMB)是一种极为罕见的疾病。在此,我们报告一例PKMB患者,由于无法获得5-氟尿嘧啶乳膏,该患者接受了两次外科手术。
一名50岁的韩国男性在当地诊所接受包皮环切术时,龟头出现肿瘤样病变。在切除活检后,进行了肿物剥除术以切除整个肿物。肿物的病理检查发现角化过度和乳头瘤样鳞状上皮,无明显细胞学异型性。考虑到病变在4周后复发,患者接受了龟头切除术及中厚皮片移植(STSG)。术后6年随访期间,手术部位无复发迹象。
如果没有5-氟尿嘧啶乳膏,可以进行两次外科手术进行治疗和活检。肿物剥除术的优点是可以确认整个病变的特征,但由于无法获取上皮下组织,所以不能确认肿瘤浸润情况。龟头切除术能够准确识别肿瘤分期,因为它切除了肿瘤和整个龟头,效果良好。
PKMB非常罕见,具有特征性表现,即龟头上有云母样痂皮和角化性角质肿物。当无法获得5-氟尿嘧啶乳膏时,龟头切除术及中厚皮片移植是一种不错的手术方法。