Mylona Eleni, Golfinopoulou Styliani, Sfakianaki Pelagia, Kyriakopoulos George, Tsonis Ioannis, Apostolou Theofanis, Vourlakou Christina, Skoutelis Athanasios
Fifth Department of Medicine, Evangelismos General Hospital, Athens, Greece.
Pathology Department, Evangelismos General Hospital, Athens, Greece.
Eur J Case Rep Intern Med. 2016 Jun 29;3(5):000424. doi: 10.12890/2016_000424. eCollection 2016.
To report a case of intravascular lymphoma (IVL) in a Caucasian patient who presented with anasarca as his sole clinical sign.
A man presented with anasarca-type oedema and fatigue. After excluding heart failure, hepatic cirrhosis, nephrotic syndrome, hypothyroidism, AL-amyloidosis and adverse drug reaction which can all cause oedema, we turned our attention to capillary permeability disorders.
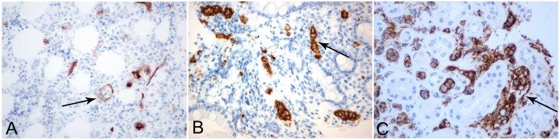
Closer review of the bone marrow aspirate demonstrated haemophagocytic histiocytosis, while core, renal and duodenal biopsies showed a B-cell IVL.
The differential diagnosis of anasarca, a relatively common clinical sign, should include IVL although the diagnosis may still be challenging.
Anasarca-type oedema is an unusual initial presentation of intravascular lymphoma (IVL) and is normally attributed to capillary permeability disorders.Two clinical forms of IVL have been recognized: a Western form and an Asian variant which is characterized by haemophagocytosis.Patients of Caucasian origin who have the clinical features of the Asian variant of IVL make the diagnosis of this condition even more challenging.
报告1例白种人血管内淋巴瘤(IVL)患者,其唯一临床症状为全身性水肿。
1名男性患者出现全身性水肿型水肿和疲劳症状。在排除了所有可能导致水肿的心力衰竭、肝硬化、肾病综合征、甲状腺功能减退、AL淀粉样变性和药物不良反应后,我们将注意力转向毛细血管通透性障碍。
对骨髓穿刺物的仔细检查显示有噬血细胞组织细胞增多症,而骨髓活检、肾活检和十二指肠活检显示为B细胞IVL。
全身性水肿是一种相对常见的临床症状,其鉴别诊断应包括IVL,尽管诊断可能仍具有挑战性。
全身性水肿型水肿是血管内淋巴瘤(IVL)不常见的初始表现,通常归因于毛细血管通透性障碍。IVL已被确认有两种临床类型:西方型和以噬血细胞增多为特征的亚洲型。具有IVL亚洲型临床特征的白种人患者使这种疾病的诊断更具挑战性。