• 文献检索
  • 文档翻译
  • 深度研究
  • 学术资讯
  • Suppr Zotero 插件Zotero 插件
  • 邀请有礼
  • 套餐&价格
  • 历史记录
应用&插件
Suppr Zotero 插件Zotero 插件浏览器插件Mac 客户端Windows 客户端微信小程序
定价
高级版会员购买积分包购买API积分包
服务
文献检索文档翻译深度研究API 文档MCP 服务
关于我们
关于 Suppr公司介绍联系我们用户协议隐私条款
关注我们

Suppr 超能文献

核心技术专利:CN118964589B侵权必究
粤ICP备2023148730 号-1Suppr @ 2026

文献检索

告别复杂PubMed语法,用中文像聊天一样搜索,搜遍4000万医学文献。AI智能推荐,让科研检索更轻松。

立即免费搜索

文件翻译

保留排版,准确专业,支持PDF/Word/PPT等文件格式,支持 12+语言互译。

免费翻译文档

深度研究

AI帮你快速写综述,25分钟生成高质量综述,智能提取关键信息,辅助科研写作。

立即免费体验

结肠镜检查后并发急性胆囊炎:一例报告及文献综述

Acute Cholecystitis as a Complication after Colonoscopy: A Case Report and Literature Review.

作者信息

Gorgan Madalina-Maria, Grigorescu Ioana, Dumitrascu Dan L

机构信息

2 Medical Department, Iuliu Hatieganu University of Medicine and Pharmacy, Cluj-Napoca, Romania.

出版信息

Eur J Case Rep Intern Med. 2016 Sep 12;3(6):000472. doi: 10.12890/2016_000472. eCollection 2016.

DOI:10.12890/2016_000472
PMID:30755891
原文链接:https://pmc.ncbi.nlm.nih.gov/articles/PMC6346838/
Abstract

UNLABELLED

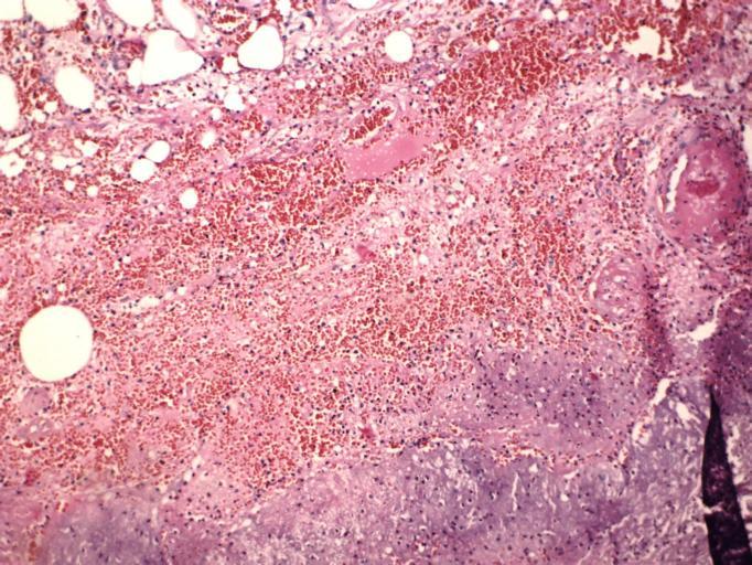
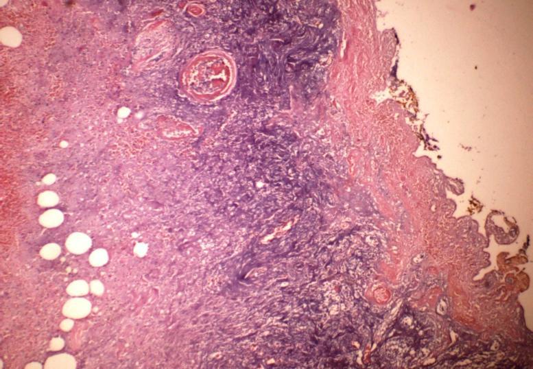
Acute cholecystitis after colonoscopy is a rare event, with less than 10 cases described in the literature. We report the case of a male patient with silent gallstones who underwent colonoscopy for follow-up of his Crohn's disease. The colonoscopy revealed erosions in the terminal ileum, from which biopsies were taken. A sessile polyp 4 mm in diameter at the recto-sigmoid junction was also removed. Less than 24 h after the colonoscopy, the patient complained of upper right quadrant pain, nausea and vomiting. Based on the clinical findings, laboratory data and ultrasonography, we diagnosed acute cholecystitis and excluded any complication after the colonoscopy. Laparoscopic cholecystectomy was performed and the patient was discharged.

LEARNING POINTS

Cholecystitis following colonoscopy can be a rare complication or a coincidence.Rarely, manoeuvres during colonoscopy may dislodge small gallstones which then obstruct the bile duct causing acute cholecystitis.Imaging and the clinical picture help to differentiate bowel perforation, a fairly common early event after colonoscopy, from other complications.

摘要

未标注

结肠镜检查后发生急性胆囊炎是一种罕见事件,文献中报道的病例不足10例。我们报告一例患有静止性胆结石的男性患者,其因克罗恩病随访接受了结肠镜检查。结肠镜检查发现回肠末端有糜烂,并取了活检。还切除了直肠乙状结肠交界处一个直径4毫米的无蒂息肉。结肠镜检查后不到24小时,患者出现右上腹疼痛、恶心和呕吐。根据临床表现、实验室数据和超声检查,我们诊断为急性胆囊炎,并排除了结肠镜检查后的任何并发症。实施了腹腔镜胆囊切除术,患者出院。

学习要点

结肠镜检查后胆囊炎可能是一种罕见的并发症或巧合。很少情况下,结肠镜检查过程中的操作可能会使小胆结石移位,进而阻塞胆管导致急性胆囊炎。影像学检查和临床表现有助于将结肠镜检查后相当常见的早期事件——肠穿孔与其他并发症区分开来。

https://cdn.ncbi.nlm.nih.gov/pmc/blobs/a7a5/6346838/5056c83fee06/472_Fig3.jpg
https://cdn.ncbi.nlm.nih.gov/pmc/blobs/a7a5/6346838/3a3a9e7482e5/472_Fig1.jpg
https://cdn.ncbi.nlm.nih.gov/pmc/blobs/a7a5/6346838/a5e1cdbf2c36/472_Fig2.jpg
https://cdn.ncbi.nlm.nih.gov/pmc/blobs/a7a5/6346838/5056c83fee06/472_Fig3.jpg
https://cdn.ncbi.nlm.nih.gov/pmc/blobs/a7a5/6346838/3a3a9e7482e5/472_Fig1.jpg
https://cdn.ncbi.nlm.nih.gov/pmc/blobs/a7a5/6346838/a5e1cdbf2c36/472_Fig2.jpg
https://cdn.ncbi.nlm.nih.gov/pmc/blobs/a7a5/6346838/5056c83fee06/472_Fig3.jpg

相似文献

1
Acute Cholecystitis as a Complication after Colonoscopy: A Case Report and Literature Review.结肠镜检查后并发急性胆囊炎:一例报告及文献综述
Eur J Case Rep Intern Med. 2016 Sep 12;3(6):000472. doi: 10.12890/2016_000472. eCollection 2016.
2
Acute cholecystitis after a colonoscopy.结肠镜检查后发生的急性胆囊炎。
Ann Coloproctol. 2013 Oct;29(5):213-5. doi: 10.3393/ac.2013.29.5.213. Epub 2013 Oct 31.
3
Cholelithiasis and cholecystitis.胆结石和胆囊炎。
J Long Term Eff Med Implants. 2005;15(3):329-38. doi: 10.1615/jlongtermeffmedimplants.v15.i3.90.
4
Emphysematous cholecystitis following routine colonoscopy.常规结肠镜检查后发生的气肿性胆囊炎。
J Surg Case Rep. 2020 Apr 29;2020(4):rjaa091. doi: 10.1093/jscr/rjaa091. eCollection 2020 Apr.
5
Acute Cholecystitis: A Review.急性胆囊炎:综述。
JAMA. 2022 Mar 8;327(10):965-975. doi: 10.1001/jama.2022.2350.
6
Acute Cholecystitis, A Rare Complication Following Routine Colonoscopy: Case Series and Literature Review.急性胆囊炎,常规结肠镜检查后罕见的并发症:病例系列及文献综述
Cureus. 2020 Oct 10;12(10):e10877. doi: 10.7759/cureus.10877.
7
[A case of acute cholecystitis after colonoscopy].[结肠镜检查后急性胆囊炎一例]
Korean J Gastroenterol. 2013 Jan 25;61(1):42-5. doi: 10.4166/kjg.2013.61.1.42.
8
Port site metastases a year after initial laparoscopic cholecystectomy. Should the use of retrieval bags during laparoscopic cholecystectomy be the new gold standard?初次腹腔镜胆囊切除术后一年出现穿刺孔转移。腹腔镜胆囊切除术期间使用取物袋应成为新的金标准吗?
Pol Przegl Chir. 2021 May 31;93(6):61-65. doi: 10.5604/01.3001.0015.3280.
9
Biliary tract injuries during laparoscopic cholecystectomy: three case reports and literature review.腹腔镜胆囊切除术中的胆道损伤:三例报告及文献综述
G Chir. 2010 Jan-Feb;31(1-2):16-9.
10
Lymphoeosinophilic cholecystitis: A rare cause of acalculous cholecystitis in immunocompetent patients - A case report.淋巴细胞嗜酸性胆囊炎:免疫功能正常患者非结石性胆囊炎的罕见病因——一例报告
Int J Surg Case Rep. 2021 Mar;80:105608. doi: 10.1016/j.ijscr.2021.01.102. Epub 2021 Feb 1.

引用本文的文献

1
The Role of Glucagon-Like Peptide-1 (GLP-1) Receptor Agonists in Acute Cholecystitis After a Routine Colonoscopy: A Case Report.胰高血糖素样肽-1(GLP-1)受体激动剂在常规结肠镜检查后急性胆囊炎中的作用:一例报告
Cureus. 2025 Feb 16;17(2):e79105. doi: 10.7759/cureus.79105. eCollection 2025 Feb.
2
Acute cholecystitis following elective colonoscopy.择期结肠镜检查后发生急性胆囊炎
BMJ Case Rep. 2023 Nov 2;16(11):e257166. doi: 10.1136/bcr-2023-257166.
3
Acute Cholecystitis, A Rare Complication Following Routine Colonoscopy: Case Series and Literature Review.

本文引用的文献

1
Acute cholecystitis after a colonoscopy.结肠镜检查后发生的急性胆囊炎。
Ann Coloproctol. 2013 Oct;29(5):213-5. doi: 10.3393/ac.2013.29.5.213. Epub 2013 Oct 31.
2
Torsion of Wandering Gallbladder following Colonoscopy.结肠镜检查后游走胆囊扭转
Case Rep Med. 2013;2013:808751. doi: 10.1155/2013/808751. Epub 2013 Jul 17.
3
[A case of acute cholecystitis after colonoscopy].[结肠镜检查后急性胆囊炎一例]
急性胆囊炎,常规结肠镜检查后罕见的并发症:病例系列及文献综述
Cureus. 2020 Oct 10;12(10):e10877. doi: 10.7759/cureus.10877.
4
Emphysematous cholecystitis following routine colonoscopy.常规结肠镜检查后发生的气肿性胆囊炎。
J Surg Case Rep. 2020 Apr 29;2020(4):rjaa091. doi: 10.1093/jscr/rjaa091. eCollection 2020 Apr.
Korean J Gastroenterol. 2013 Jan 25;61(1):42-5. doi: 10.4166/kjg.2013.61.1.42.
4
Complications of colonoscopy.结肠镜检查的并发症
Gastrointest Endosc. 2011 Oct;74(4):745-52. doi: 10.1016/j.gie.2011.07.025.
5
Acute cholecystitis after colonoscopy: a case series.结肠镜检查后急性胆囊炎:病例系列报道
Gastrointest Endosc. 2011 Jul;74(1):211-3. doi: 10.1016/j.gie.2011.03.1126. Epub 2011 May 6.
6
Complications of colonoscopy: magnitude and management.结肠镜检查的并发症:发生率及处理
Gastrointest Endosc Clin N Am. 2010 Oct;20(4):659-71. doi: 10.1016/j.giec.2010.07.005.
7
Abdominal pain after colonoscopy: can it be acute cholecystitis?
Dig Dis Sci. 2007 Oct;52(10):2660-1. doi: 10.1007/s10620-007-9746-z. Epub 2007 Apr 12.
8
Gangrenous cholecystitis after colonoscopy.结肠镜检查后坏疽性胆囊炎
Am J Gastroenterol. 2002 Jun;97(6):1572. doi: 10.1111/j.1572-0241.2002.05754.x.
9
Colonoscopy cholecystitis.结肠镜检查相关性胆囊炎
Am J Gastroenterol. 2001 May;96(5):1666. doi: 10.1111/j.1572-0241.2001.03837.x.