Suppr超能文献

MGL配体表达与宫颈鳞状细胞癌和腺鳞癌的低生存率及远处转移相关。

MGL Ligand Expression Is Correlated to Lower Survival and Distant Metastasis in Cervical Squamous Cell and Adenosquamous Carcinoma.

作者信息

Sahasrabudhe Neha M, van der Horst Joost C, Spaans Vivian, Kenter Gemma, de Kroon Cor, Bosse Tjalling, van Vliet Sandra J, Jordanova Ekaterina S

机构信息

Department of Molecular Cell Biology and Immunology, Cancer Center Amsterdam, Amsterdam Infection & Immunity Institute, Amsterdam UMC, Vrije Universiteit Amsterdam, Amsterdam, Netherlands.

Department of Pathology, Leiden University Medical Centre, Leiden, Netherlands.

出版信息

Front Oncol. 2019 Jan 29;9:29. doi: 10.3389/fonc.2019.00029. eCollection 2019.

Abstract

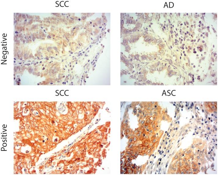
Cervical cancer is the fourth most common cancer type in women worldwide and is characterized by a highly immune-suppressive microenvironment. Here, we describe aberrant glycosylation as a factor mediating this immunosuppressive microenvironment. Expression of a specific carbohydrate ligand for the immune-regulatory C-type lectin MGL was correlated to poor disease-specific survival and distant recurrences in squamous cell carcinoma (SCC) and adenosquamous carcinoma (ASC), the most common histological subtypes of cervical cancer. MGL ligand expression was also associated with lymph node metastasis, the absence of CD14 myeloid cells and the presence of CD14CD163 myeloid cells. Indeed, expression of the MGL receptor itself could be detected on CD163 cells, suggesting that MGL myeloid cells are able to interact locally with MGL ligand tumor cells. Additionally, MGL ligand expression correlated to the occurrence of mutations, the most frequently observed oncogenic alteration in cervical cancer. In conclusion, we present prognostic value for MGL ligand expression in SCC/ASC patients, which further supports an immune evasive role for the C-type lectin MGL in the tumor immune compartment.

摘要

宫颈癌是全球女性中第四大常见癌症类型,其特征是具有高度免疫抑制性的微环境。在此,我们将异常糖基化描述为介导这种免疫抑制微环境的一个因素。免疫调节性C型凝集素MGL的一种特定碳水化合物配体的表达与鳞状细胞癌(SCC)和腺鳞癌(ASC)(宫颈癌最常见的组织学亚型)中较差的疾病特异性生存率和远处复发相关。MGL配体表达还与淋巴结转移、CD14髓样细胞的缺失以及CD14CD163髓样细胞的存在有关。事实上,在CD163细胞上可以检测到MGL受体本身的表达,这表明MGL髓样细胞能够在局部与MGL配体肿瘤细胞相互作用。此外,MGL配体表达与宫颈癌中最常见的致癌改变——突变的发生相关。总之,我们展示了MGL配体表达在SCC/ASC患者中的预后价值,这进一步支持了C型凝集素MGL在肿瘤免疫微环境中具有免疫逃逸作用。

https://cdn.ncbi.nlm.nih.gov/pmc/blobs/cc1c/6361794/b172a1dc75c6/fonc-09-00029-g0001.jpg

文献检索

告别复杂PubMed语法,用中文像聊天一样搜索,搜遍4000万医学文献。AI智能推荐,让科研检索更轻松。

立即免费搜索

文件翻译

保留排版,准确专业,支持PDF/Word/PPT等文件格式,支持 12+语言互译。

免费翻译文档

深度研究

AI帮你快速写综述,25分钟生成高质量综述,智能提取关键信息,辅助科研写作。

立即免费体验