Suppr超能文献

61只犬血管肉瘤相关骨骼肌转移瘤的患病率、分布及临床特征:一项全身计算机断层扫描研究

Prevalence, distribution, and clinical characteristics of hemangiosarcoma-associated skeletal muscle metastases in 61 dogs: A whole body computed tomographic study.

作者信息

Carloni Andrea, Terragni Rossella, Morselli-Labate Antonio Maria, Paninarova Michaela, Graham John, Valenti Paola, Alberti Monica, Albarello Giulia, Millanta Francesca, Vignoli Massimo

机构信息

Service of Diagnostic Imaging, I Portoni Rossi Veterinary Hospital, Zola Predosa, Bologna, Italy.

Pet Care Veterinary Clinic, Bologna, Italy.

出版信息

J Vet Intern Med. 2019 Mar;33(2):812-819. doi: 10.1111/jvim.15456. Epub 2019 Feb 22.

Abstract

BACKGROUND

Skeletal muscle metastases (SMMs) have been described sporadically in canine oncology.

HYPOTHESIS/OBJECTIVES: To determine the prevalence, localization, and clinical signs of SMMs associated with hemangiosarcoma (HSA) in a population of dogs presented for whole body computed tomography (CT).

ANIMALS

Dogs with a histologically confirmed HSA and a tissue core specimen or fine needle aspirate of suspected metastatic lesions were included in the study.

METHODS

Retrospective study. Dogs with a final diagnosis of visceral or muscular HSA that underwent whole body CT scan were enrolled in the study. Final diagnosis of primary tumor and SMMs was reached by histology, cytology, or both. Signalment, clinical signs, localization of the primary lesion, and metastases characteristics were reviewed.

RESULTS

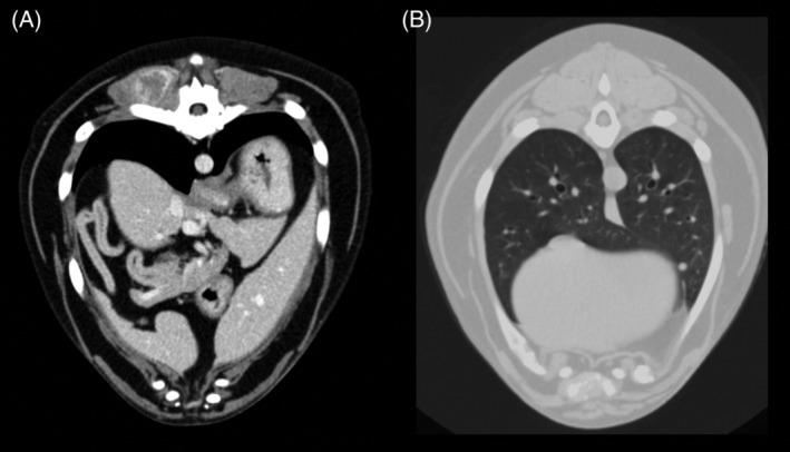
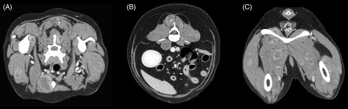
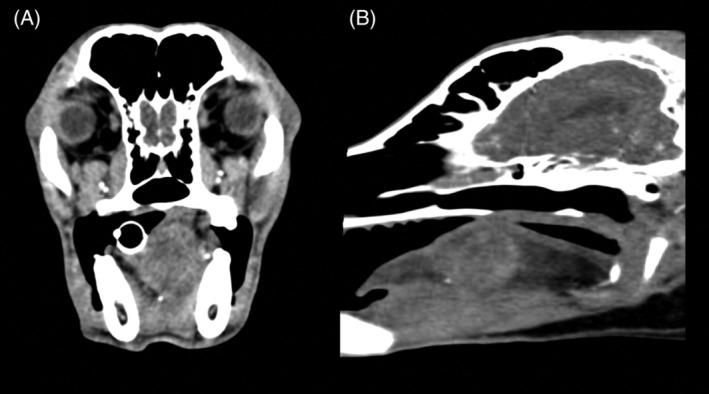
Sixty-one dogs met the inclusion criteria. Skeletal muscle metastases were detected in 15 dogs (24.6%) and all of these dogs had also metastases in ≥1 sites. Presence of SMMs was significantly higher in males but was not significantly related to age, neuter status, breed, localization, and dimensions of the primary tumor. Nine of 15 (60.0%) dogs with SMMs showed lameness or reluctance to move whereas these signs were not recorded in any of the 42 dogs without SMMs (P < .001).

CONCLUSION AND CLINICAL IMPORTANCE

Prevalence of SMMs in our population of dogs with HSA was higher in comparison to previous studies in the human and veterinary medical literature. Whole body CT is recommended for staging of dogs with HSA, because SMMs could be missed by clinical examination and traditional diagnostic imaging modalities.

摘要

背景

骨肉瘤转移(SMMs)在犬类肿瘤学中已有零星报道。

假设/目的:确定在接受全身计算机断层扫描(CT)的犬类群体中,与血管肉瘤(HSA)相关的SMMs的患病率、定位和临床体征。

动物

组织学确诊为HSA且有疑似转移病变的组织芯标本或细针穿刺抽吸物的犬类纳入研究。

方法

回顾性研究。对最终诊断为内脏或肌肉HSA并接受全身CT扫描的犬类进行研究。通过组织学、细胞学或两者结合来达成对原发性肿瘤和SMMs的最终诊断。对信号、临床体征、原发性病变的定位以及转移特征进行回顾。

结果

61只犬符合纳入标准。15只犬(24.6%)检测到骨肉瘤转移,且所有这些犬在≥1个部位也有转移。雄性犬中SMMs的存在显著更高,但与年龄、绝育状态、品种、原发性肿瘤的定位和大小无显著相关性。15只患有SMMs的犬中有9只(60.0%)表现出跛行或不愿活动,而42只无SMMs的犬中均未记录到这些体征(P <.001)。

结论及临床意义

与人类和兽医医学文献中的先前研究相比,我们的HSA犬类群体中SMMs的患病率更高。建议对患有HSA的犬进行全身CT分期,因为临床检查和传统诊断成像方式可能会遗漏SMMs。

https://cdn.ncbi.nlm.nih.gov/pmc/blobs/b36f/6430957/4c0f393a2d83/JVIM-33-812-g001.jpg

文献AI研究员

20分钟写一篇综述,助力文献阅读效率提升50倍。

立即体验

用中文搜PubMed

大模型驱动的PubMed中文搜索引擎

马上搜索

文档翻译

学术文献翻译模型,支持多种主流文档格式。

立即体验