• 文献检索
  • 文档翻译
  • 深度研究
  • 学术资讯
  • Suppr Zotero 插件Zotero 插件
  • 邀请有礼
  • 套餐&价格
  • 历史记录
应用&插件
Suppr Zotero 插件Zotero 插件浏览器插件Mac 客户端Windows 客户端微信小程序
定价
高级版会员购买积分包购买API积分包
服务
文献检索文档翻译深度研究API 文档MCP 服务
关于我们
关于 Suppr公司介绍联系我们用户协议隐私条款
关注我们

Suppr 超能文献

核心技术专利:CN118964589B侵权必究
粤ICP备2023148730 号-1Suppr @ 2026

文献检索

告别复杂PubMed语法,用中文像聊天一样搜索,搜遍4000万医学文献。AI智能推荐,让科研检索更轻松。

立即免费搜索

文件翻译

保留排版,准确专业,支持PDF/Word/PPT等文件格式,支持 12+语言互译。

免费翻译文档

深度研究

AI帮你快速写综述,25分钟生成高质量综述,智能提取关键信息,辅助科研写作。

立即免费体验

埃及腐蚀性狭窄儿童食管黏膜的组织病理学变化:单中心丰富经验。

Histopathological changes in the oesophageal mucosa in Egyptian children with corrosive strictures: A single-centre vast experience.

机构信息

Department of Paediatrics, Kasr Alainy School of Medicine, Cairo University, Cairo 11562, Egypt.

Department of Pathology, Kasr Alainy School of Medicine, Cairo University, Cairo 11562, Egypt.

出版信息

World J Gastroenterol. 2019 Feb 21;25(7):870-879. doi: 10.3748/wjg.v25.i7.870.

DOI:10.3748/wjg.v25.i7.870
PMID:30809086
原文链接:https://pmc.ncbi.nlm.nih.gov/articles/PMC6385009/
Abstract

BACKGROUND

The caustic ingestion continues to be a major problem worldwide especially in developing countries. The long-term complications include stricture and increased life time risk of oesophageal carcinoma. Patients suffered from corrosive induced oesophageal strictures have more than a 1000-fold risk of developing carcinoma of the oesophagus.

AIM

To determine the possibility of oesophageal mucosal dysplasia after prolonged dilatation in post corrosive stricture.

METHODS

This observational study was conducted at the Paediatric Endoscopy Unit in Cairo University Children's Hospital. It included children of both sexes older than 2 years of age who had an established diagnosis of post-corrosive oesophageal stricture and repeated endoscopic dilatation sessions for more than 6 mo. All patients were biopsied at the stricture site after 6 mo of endoscopic dilatation. A histopathological examination of an oesophageal mucosal biopsy was performed for the detection of chronic oesophagitis, inflammatory cellular infiltration and dysplasia.

RESULTS

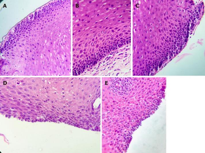
The mean age of the enrolled children was 5.9 ± 2.6 years; 90% of the patients had ingested an alkaline corrosive substance (potash). The total number of endoscopic dilatation sessions were ranging from 16 to 100 with mean number of sessions was 37.2 ± 14.9. Histopathological examination of the specimens showed that 85% of patients had evidence of chronic oesophagitis (group A) in the form of basal cell hyperplasia, hyperkeratosis and subepithelial fibrosis. Thirteen percent of the patients had evidence of reactive atypia (group B) in the form of severe neutrophilic intraepithelial inflammatory cellular infiltration, and 2 patients (2%) had mild squamous dysplasia (group C); we rebiopsied these two patients 6 mo after the initial pathological assessment, guided by chromoendoscopy by Lugol's iodine.

CONCLUSION

The histopathology of oesophageal mucosal biopsies in post-corrosive patients demonstrates evidence of chronic oesophagitis, intraepithelial inflammatory cellular infiltration and dysplasia. Dysplasia is one of the complications of post-corrosive oesophageal stricture.

摘要

背景

腐蚀性摄入物仍然是一个全球性的主要问题,尤其是在发展中国家。长期并发症包括狭窄和食管癌发生的终生风险增加。患有腐蚀性诱导性食管狭窄的患者患食管癌的风险超过 1000 倍。

目的

确定腐蚀性狭窄后长期扩张后食管黏膜异型增生的可能性。

方法

本观察性研究在开罗大学儿童医院儿科内镜科进行。它包括年龄在 2 岁以上、已确诊为腐蚀性食管狭窄且接受多次内镜扩张治疗超过 6 个月的男女儿童。所有患者在 6 个月的内镜扩张后均在狭窄部位进行活检。对食管黏膜活检进行组织病理学检查,以检测慢性食管炎、炎症细胞浸润和异型增生。

结果

纳入儿童的平均年龄为 5.9 ± 2.6 岁;90%的患者摄入了碱性腐蚀性物质(钾)。内镜扩张次数从 16 次到 100 次不等,平均次数为 37.2 ± 14.9 次。标本的组织病理学检查显示,85%的患者有慢性食管炎的证据(A 组),表现为基底细胞增生、角化过度和上皮下纤维化。13%的患者有反应性异型增生的证据(B 组),表现为严重的中性粒细胞上皮内炎症细胞浸润,2 名患者(2%)有轻度鳞状异型增生(C 组);我们在最初的病理评估后 6 个月,根据卢戈氏碘染色的 chromoendoscopy 对这两名患者进行了再次活检。

结论

腐蚀性患者的食管黏膜活检组织病理学显示有慢性食管炎、上皮内炎症细胞浸润和异型增生的证据。异型增生是腐蚀性食管狭窄的并发症之一。

https://cdn.ncbi.nlm.nih.gov/pmc/blobs/ef9c/6385009/66bb92b8c5fe/WJG-25-870-g003.jpg
https://cdn.ncbi.nlm.nih.gov/pmc/blobs/ef9c/6385009/cf92c38690a9/WJG-25-870-g001.jpg
https://cdn.ncbi.nlm.nih.gov/pmc/blobs/ef9c/6385009/91b02cba1fe8/WJG-25-870-g002.jpg
https://cdn.ncbi.nlm.nih.gov/pmc/blobs/ef9c/6385009/66bb92b8c5fe/WJG-25-870-g003.jpg
https://cdn.ncbi.nlm.nih.gov/pmc/blobs/ef9c/6385009/cf92c38690a9/WJG-25-870-g001.jpg
https://cdn.ncbi.nlm.nih.gov/pmc/blobs/ef9c/6385009/91b02cba1fe8/WJG-25-870-g002.jpg
https://cdn.ncbi.nlm.nih.gov/pmc/blobs/ef9c/6385009/66bb92b8c5fe/WJG-25-870-g003.jpg

相似文献

1
Histopathological changes in the oesophageal mucosa in Egyptian children with corrosive strictures: A single-centre vast experience.埃及腐蚀性狭窄儿童食管黏膜的组织病理学变化:单中心丰富经验。
World J Gastroenterol. 2019 Feb 21;25(7):870-879. doi: 10.3748/wjg.v25.i7.870.
2
Factors affecting the outcome of endoscopic dilatation in refractory post-corrosive oesophageal stricture in Egyptian children: a single-centre study.影响埃及儿童难治性腐蚀性食管狭窄内镜扩张治疗结局的因素:单中心研究。
Esophagus. 2020 Jul;17(3):330-338. doi: 10.1007/s10388-020-00727-8. Epub 2020 Feb 22.
3
Outcome of dilatation and predictors of failed dilatation in patients with acid-induced corrosive esophageal strictures.酸诱导腐蚀性食管狭窄患者扩张的结果和扩张失败的预测因素。
Surg Endosc. 2018 Feb;32(2):900-907. doi: 10.1007/s00464-017-5764-x. Epub 2017 Jul 21.
4
Segmental and total oesophageal transit time in patients with corrosive-induced oesophageal stricture.腐蚀性食管狭窄患者的节段性和全食管通过时间
Nucl Med Commun. 2007 Dec;28(12):920-3. doi: 10.1097/MNM.0b013e3282f1b966.
5
Effectiveness of bougie dilation for the management of corrosive esophageal strictures.探条扩张术治疗腐蚀性食管狭窄的疗效
Acta Gastroenterol Belg. 2006 Oct-Dec;69(4):372-6.
6
Fluoroscopic balloon dilatation for caustic esophageal stricture in children: an 8-year experience.X 光透视下球囊扩张治疗儿童腐蚀性食管狭窄:8 年经验。
J Pediatr Surg. 2013 Nov;48(11):2230-4. doi: 10.1016/j.jpedsurg.2013.04.005.
7
Caustic oesophagitis in children: prevalence, the corrosive agents involved, and management from primary care through to surgery.儿童腐蚀性食管炎:患病率、相关腐蚀剂以及从初级保健到手术的管理
Curr Opin Otolaryngol Head Neck Surg. 2015 Dec;23(6):423-32. doi: 10.1097/MOO.0000000000000198.
8
Effectiveness of endoscopic balloon dilatation in grade 2a and 2b esophageal burns in children.内镜下球囊扩张术治疗儿童2a级和2b级食管烧伤的疗效
Minim Invasive Ther Allied Technol. 2017 Oct;26(5):300-306. doi: 10.1080/13645706.2017.1298621. Epub 2017 Mar 10.
9
Aggressive bougie dilatation and intralesional steroids is effective in refractory benign esophageal strictures secondary to corrosive ingestion.积极的探条扩张术和病灶内注射类固醇对腐蚀性摄入所致难治性良性食管狭窄有效。
Dis Esophagus. 2016 Nov;29(8):1027-1031. doi: 10.1111/dote.12438. Epub 2015 Nov 6.
10
Corrosive oesophageal strictures in children: outcomes after timely or delayed dilatation.儿童腐蚀性食管狭窄:及时或延迟扩张后的结局
Dig Liver Dis. 2009 Apr;41(4):263-8. doi: 10.1016/j.dld.2008.07.319. Epub 2008 Sep 17.

引用本文的文献

1
Outcomes of pneumatic dilation in pediatric caustic esophageal strictures: a descriptive and analytic study from a developing country.小儿腐蚀性食管狭窄行气囊扩张治疗的结局:来自发展中国家的描述性和分析性研究。
Surg Endosc. 2023 Dec;37(12):9291-9298. doi: 10.1007/s00464-023-10489-w. Epub 2023 Oct 26.
2
Endoscopic Grading as a Predictor to Develop Strictures in Corrosive Esophagitis in Children.内镜分级作为儿童腐蚀性食管炎发生狭窄的预测指标
J Clin Med. 2023 Feb 20;12(4):1699. doi: 10.3390/jcm12041699.
3
Caustic stenosis of the esophagus and malignant neoplasia: A dilemma.

本文引用的文献

1
Long-Term Outcomes of Caustic Esophageal Stricture with Endoscopic Balloon Dilatation in Chinese Children.中国儿童腐蚀性食管狭窄内镜下球囊扩张的长期预后
Gastroenterol Res Pract. 2018 Aug 8;2018:8352756. doi: 10.1155/2018/8352756. eCollection 2018.
2
Four Year Results of Conservative Treatment of Benign Strictures of the Esophagus with Savary Gilliard Technique of Bougienage: Cross-Sectional Study Representing First Experiences in Republic of Macedonia.采用萨瓦里-吉利尔探条扩张术对食管良性狭窄进行保守治疗的四年结果:一项代表马其顿共和国首次经验的横断面研究。
Pril (Makedon Akad Nauk Umet Odd Med Nauki). 2018 Jul 1;39(1):29-35. doi: 10.2478/prilozi-2018-0021.
3
食管腐蚀性狭窄与恶性肿瘤:一个两难困境。
Front Oncol. 2022 Nov 11;12:1059524. doi: 10.3389/fonc.2022.1059524. eCollection 2022.
4
Endoscopic, laboratory, and clinical findings and outcomes of caustic ingestion in adults; a retrospective study.成人腐蚀性物质摄入的内镜、实验室及临床检查结果与预后:一项回顾性研究
Gastroenterol Hepatol Bed Bench. 2022 Winter;15(1):59-65.
5
Acquired Esophageal Strictures in Children: Morphometric and Immunohistochemical Analyses.儿童获得性食管狭窄:形态计量学和免疫组织化学分析。
Pediatr Dev Pathol. 2022 Mar-Apr;25(2):124-133. doi: 10.1177/10935266211041086. Epub 2021 Sep 13.
Epidemiology, etiology, and prevention of esophageal squamous cell carcinoma in China.
中国食管鳞状细胞癌的流行病学、病因学及预防
Cancer Biol Med. 2017 Feb;14(1):33-41. doi: 10.20892/j.issn.2095-3941.2016.0093.
4
NUTRITIONAL THERAPY IN THE TREATMENT OF ACUTE CORROSIVE INTOXICATION IN ADULTS.成人急性腐蚀性中毒治疗中的营养疗法
Mater Sociomed. 2016 Feb;28(1):66-70. doi: 10.5455/msm.2016.28.66-70. Epub 2016 Jan 30.
5
Caustic oesophagitis in children: prevalence, the corrosive agents involved, and management from primary care through to surgery.儿童腐蚀性食管炎:患病率、相关腐蚀剂以及从初级保健到手术的管理
Curr Opin Otolaryngol Head Neck Surg. 2015 Dec;23(6):423-32. doi: 10.1097/MOO.0000000000000198.
6
Squamous dysplasia--the precursor lesion for esophageal squamous cell carcinoma.鳞状上皮不典型增生——食管鳞状细胞癌的癌前病变。
Cancer Epidemiol Biomarkers Prev. 2013 Apr;22(4):540-52. doi: 10.1158/1055-9965.EPI-12-1347.
7
Corrosive induced carcinoma of esophagus after 58 years.食管腐蚀性溃疡癌变 58 年后。
Ann Thorac Surg. 2012 Dec;94(6):2103-5. doi: 10.1016/j.athoracsur.2012.03.110.
8
Update on the diagnosis and treatment of caustic ingestion.腐蚀性物质摄入的诊断与治疗进展
Ochsner J. 2009 Summer;9(2):54-9.
9
Narrow-band imaging with magnifying endoscopy for the screening of esophageal cancer in patients with primary head and neck cancers.窄带成像放大内镜用于筛查头颈部原发性癌症患者的食管癌。
Endoscopy. 2010 Aug;42(8):613-9. doi: 10.1055/s-0030-1255514. Epub 2010 Jul 28.
10
ESCC with metastasis in the young age of caustic ingestion of shortest duration.在腐蚀性摄入时间最短的年轻患者中发生转移的食管鳞状细胞癌。
J Gastrointest Cancer. 2010 Jun;41(2):93-5. doi: 10.1007/s12029-009-9121-8.