Suppr超能文献

曲克芦丁影响青春期前1型糖尿病雄性大鼠的雄性生育能力。

Troxerutin affects the male fertility in prepubertal type 1 diabetic male rats.

作者信息

Zavvari Oskuye Zohreh, Mirzaei Bavil Fariba, Hamidian Gholam Reza, Mehri Keyvan, Qadiri Afsaneh, Ahmadi Mahdi, Oghbaei Hajar, Vatankhah Amir Mansour, Keyhanmanesh Rana

机构信息

Department of Physiology, Faculty of Medicine, Tabriz University of Medical Sciences, Tabriz, Iran.

Drug Applied Research Center, Tabriz University of Medical Sciences, Tabriz, Iran.

出版信息

Iran J Basic Med Sci. 2019 Feb;22(2):197-205. doi: 10.22038/ijbms.2018.32678.7814.

Abstract

OBJECTIVES

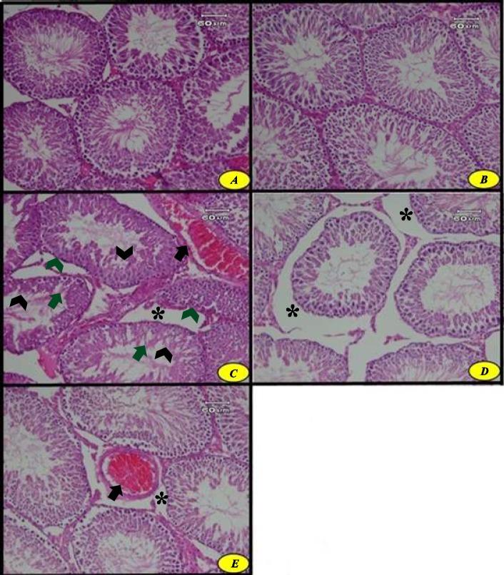
Diabetes can gradually cause damage to the function and structure of male gonads. This survey was conducted to investigate the effect of troxerutin on hormonal changes, serum oxidative stress indices, and testicular function and structure in prepubertal diabetic rats.

MATERIALS AND METHODS

Fifty prepubertal (6 weeks old) male Wistar rats were divided into five groups including Control, Troxerutin, Diabetic, Diabetic+Troxerutin, and Diabetic+Insulin. Type I diabetes was induced by 55 mg/kg of streptozotocin intraperitoneally. The groups were treated with 150 mg/kg/day troxerutin via oral gavage or 4-6 IU/day insulin via subcutaneous injection for 4 consecutive weeks. Blood sugar (BS) and serum levels of insulin, FSH, LH, testosterone, glutathione peroxidase (GPX), superoxide dismutase (SOD), malondialdehyde (MDA), and total antioxidant capacity (TAC) were analyzed. Testis and epididymis were removed for histopathologic study and analysis of sperm parameters.

RESULTS

Troxerutin significantly reduced the BS in the diabetic group similar to insulin but could not affect insulin, FSH, or LH significantly. Troxerutin caused a significant increase in testosterone and GPX but had no significant effect on serum MDA, TAC, and SOD levels. In addition, troxerutin had a better effect than insulin on diabetes-induced testicular structural damage. Sperm analysis results also revealed that troxerutin and insulin could improve sperm number, motility, and viability in diabetic rats.

CONCLUSION

According to these results, it can be derived that administration of troxerutin is a suitable protective strategy for side effects of diabetes in testis of prepubertal diabetic male rats.

摘要

目的

糖尿病会逐渐损害男性性腺的功能和结构。本研究旨在调查曲克芦丁对青春期前糖尿病大鼠激素变化、血清氧化应激指标以及睾丸功能和结构的影响。

材料与方法

将50只青春期前(6周龄)雄性Wistar大鼠分为五组,包括对照组、曲克芦丁组、糖尿病组、糖尿病+曲克芦丁组和糖尿病+胰岛素组。通过腹腔注射55mg/kg链脲佐菌素诱导I型糖尿病。各实验组连续4周分别经口灌胃给予150mg/kg/天曲克芦丁,或皮下注射4 - 6IU/天胰岛素。分析血糖(BS)以及胰岛素、促卵泡激素(FSH)、促黄体生成素(LH)、睾酮、谷胱甘肽过氧化物酶(GPX)、超氧化物歧化酶(SOD)、丙二醛(MDA)和总抗氧化能力(TAC)的血清水平。取出睾丸和附睾进行组织病理学研究及精子参数分析。

结果

曲克芦丁与胰岛素相似,能显著降低糖尿病组的血糖,但对胰岛素、FSH或LH无显著影响。曲克芦丁可使睾酮和GPX显著升高,但对血清MDA、TAC和SOD水平无显著影响。此外,曲克芦丁在改善糖尿病所致睾丸结构损伤方面比胰岛素效果更好。精子分析结果还显示,曲克芦丁和胰岛素均可改善糖尿病大鼠的精子数量 motility、活力和生存能力。

结论

根据这些结果可以得出,给予曲克芦丁是一种适用于青春期前糖尿病雄性大鼠睾丸糖尿病副作用的保护策略。

https://cdn.ncbi.nlm.nih.gov/pmc/blobs/a27d/6396992/b8fe5e9025ef/IJBMS-22-197-g001.jpg

文献检索

告别复杂PubMed语法,用中文像聊天一样搜索,搜遍4000万医学文献。AI智能推荐,让科研检索更轻松。

立即免费搜索

文件翻译

保留排版,准确专业,支持PDF/Word/PPT等文件格式,支持 12+语言互译。

免费翻译文档

深度研究

AI帮你快速写综述,25分钟生成高质量综述,智能提取关键信息,辅助科研写作。

立即免费体验