• 文献检索
  • 文档翻译
  • 深度研究
  • 学术资讯
  • Suppr Zotero 插件Zotero 插件
  • 邀请有礼
  • 套餐&价格
  • 历史记录
应用&插件
Suppr Zotero 插件Zotero 插件浏览器插件Mac 客户端Windows 客户端微信小程序
定价
高级版会员购买积分包购买API积分包
服务
文献检索文档翻译深度研究API 文档MCP 服务
关于我们
关于 Suppr公司介绍联系我们用户协议隐私条款
关注我们

Suppr 超能文献

核心技术专利:CN118964589B侵权必究
粤ICP备2023148730 号-1Suppr @ 2026

文献检索

告别复杂PubMed语法,用中文像聊天一样搜索,搜遍4000万医学文献。AI智能推荐,让科研检索更轻松。

立即免费搜索

文件翻译

保留排版,准确专业,支持PDF/Word/PPT等文件格式,支持 12+语言互译。

免费翻译文档

深度研究

AI帮你快速写综述,25分钟生成高质量综述,智能提取关键信息,辅助科研写作。

立即免费体验

532nm 和 1064nm 皮秒域激光诱导离体色素性小牛皮组织即刻反应的模式分析。

Pattern analysis of 532- and 1,064-nm picosecond-domain laser-induced immediate tissue reactions in ex vivo pigmented micropig skin.

机构信息

R&D Center, Lutronic Corporation, Goyang, Korea.

Global Center, Lutronic Corporation, Billerica, MA, USA.

出版信息

Sci Rep. 2019 Mar 12;9(1):4186. doi: 10.1038/s41598-019-41021-7.

DOI:10.1038/s41598-019-41021-7
PMID:30862808
原文链接:https://pmc.ncbi.nlm.nih.gov/articles/PMC6414522/
Abstract

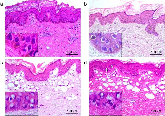
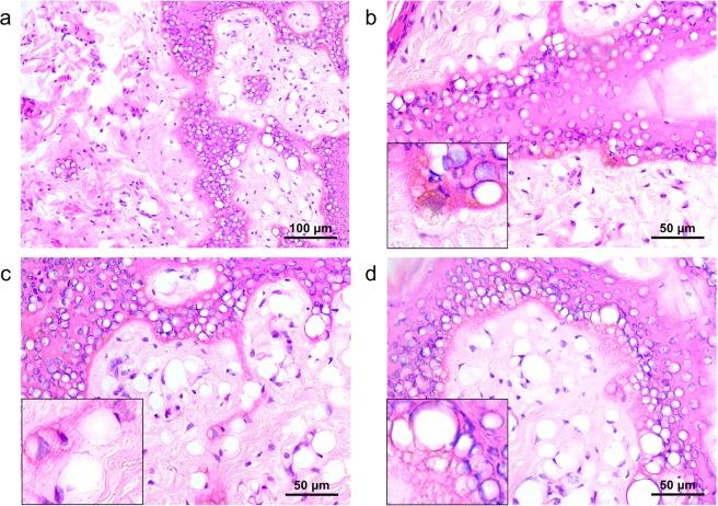
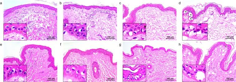
Optical pulses from picosecond lasers can be delivered to the skin as single, flat-top beams or fractionated beams using a beam splitter or microlens array (MLA). In this study, picosecond neodymium:yttrium aluminum garnet laser treatment using a single flat-top beam and an MLA-type beam at the wavelengths of 532 nm and 1,064 nm were delivered on ex vivo genotype-regulated, pigmented micropig skin. Skin specimens were obtained immediately after treatment and microscopically analyzed. Single flat-top beam treatment at a wavelength of 532 nm and a fluence of 0.05-J/cm reduced melanin pigments in epidermal keratinocytes and melanocytes, compared to untreated controls. Additionally, 0.1 J/cm- and 1.3 J/cm-fluenced laser treatment at 532 nm elicited noticeable vacuolation of keratinocytes and melanocytes within all epidermal layers. Single flat-top beam picosecond laser treatment at a wavelength of 1,064 nm and a fluence of 0.18 J/cm also reduced melanin pigments in keratinocytes and melanocytes. Treatment at 1,064-nm and fluences of 1.4 J/cm and 2.8 J/cm generated increasing degrees of vacuolated keratinocytes and melanocytes. Meanwhile, 532- and 1,064-nm MLA-type, picosecond laser treatment elicited fractionated zones of laser-induced micro-vacuolization in the epidermis and dermis. Therein, the sizes and degrees of tissue reactions differed according to wavelength, fluence, and distance between the microlens and skin.

摘要

皮秒激光的脉冲光可以通过分束器或微透镜阵列 (MLA) 传输到皮肤,形成单个平顶光束或分割光束。在这项研究中,使用波长为 532nm 和 1064nm 的单个平顶光束和 MLA 型光束对 ex vivo 基因型调控的色素性小母猪皮肤进行了皮秒掺钕钇铝石榴石激光处理。治疗后立即获得皮肤标本并进行显微镜分析。与未处理的对照组相比,532nm 波长和 0.05-J/cm 剂量的单一平顶光束处理降低了表皮角质形成细胞和黑素细胞中的黑色素色素。此外,532nm 波长的 0.1J/cm 和 1.3J/cm 激光处理引起了所有表皮层中角质形成细胞和黑素细胞的明显空泡化。1064nm 波长和 0.18J/cm 剂量的单一平顶光束皮秒激光处理也降低了角质形成细胞和黑素细胞中的黑色素色素。1064nm 波长和 1.4J/cm 和 2.8J/cm 的处理剂量产生了程度不同的空泡化角质形成细胞和黑素细胞。同时,532nm 和 1064nm 的 MLA 型皮秒激光处理在表皮和真皮中引发了分割的激光诱导微空化区。其中,根据波长、剂量和微透镜与皮肤之间的距离,组织反应的大小和程度有所不同。

https://cdn.ncbi.nlm.nih.gov/pmc/blobs/8ed1/6414522/d66f1bafd075/41598_2019_41021_Fig7_HTML.jpg
https://cdn.ncbi.nlm.nih.gov/pmc/blobs/8ed1/6414522/7ec935cb14a2/41598_2019_41021_Fig1_HTML.jpg
https://cdn.ncbi.nlm.nih.gov/pmc/blobs/8ed1/6414522/b6242d9dbb94/41598_2019_41021_Fig2_HTML.jpg
https://cdn.ncbi.nlm.nih.gov/pmc/blobs/8ed1/6414522/46a46bb00d38/41598_2019_41021_Fig3_HTML.jpg
https://cdn.ncbi.nlm.nih.gov/pmc/blobs/8ed1/6414522/28cc2d0d2f4b/41598_2019_41021_Fig4_HTML.jpg
https://cdn.ncbi.nlm.nih.gov/pmc/blobs/8ed1/6414522/bdcf923cb3bf/41598_2019_41021_Fig5_HTML.jpg
https://cdn.ncbi.nlm.nih.gov/pmc/blobs/8ed1/6414522/d1bc1d37e064/41598_2019_41021_Fig6_HTML.jpg
https://cdn.ncbi.nlm.nih.gov/pmc/blobs/8ed1/6414522/d66f1bafd075/41598_2019_41021_Fig7_HTML.jpg
https://cdn.ncbi.nlm.nih.gov/pmc/blobs/8ed1/6414522/7ec935cb14a2/41598_2019_41021_Fig1_HTML.jpg
https://cdn.ncbi.nlm.nih.gov/pmc/blobs/8ed1/6414522/b6242d9dbb94/41598_2019_41021_Fig2_HTML.jpg
https://cdn.ncbi.nlm.nih.gov/pmc/blobs/8ed1/6414522/46a46bb00d38/41598_2019_41021_Fig3_HTML.jpg
https://cdn.ncbi.nlm.nih.gov/pmc/blobs/8ed1/6414522/28cc2d0d2f4b/41598_2019_41021_Fig4_HTML.jpg
https://cdn.ncbi.nlm.nih.gov/pmc/blobs/8ed1/6414522/bdcf923cb3bf/41598_2019_41021_Fig5_HTML.jpg
https://cdn.ncbi.nlm.nih.gov/pmc/blobs/8ed1/6414522/d1bc1d37e064/41598_2019_41021_Fig6_HTML.jpg
https://cdn.ncbi.nlm.nih.gov/pmc/blobs/8ed1/6414522/d66f1bafd075/41598_2019_41021_Fig7_HTML.jpg

相似文献

1
Pattern analysis of 532- and 1,064-nm picosecond-domain laser-induced immediate tissue reactions in ex vivo pigmented micropig skin.532nm 和 1064nm 皮秒域激光诱导离体色素性小牛皮组织即刻反应的模式分析。
Sci Rep. 2019 Mar 12;9(1):4186. doi: 10.1038/s41598-019-41021-7.
2
Pattern analysis of 532- and 1064-nm microlens array-type, picosecond-domain laser-induced tissue reactions in ex vivo human skin.532nm 和 1064nm 微透镜阵列型皮秒域激光诱导离体人皮肤组织反应的模式分析。
Lasers Med Sci. 2019 Aug;34(6):1207-1215. doi: 10.1007/s10103-018-02711-2. Epub 2019 Jan 2.
3
Interactive tissue reactions of 1064-nm focused picosecond-domain laser and dermal cohesive polydensified matrix hyaluronic acid treatment in in vivo rat skin.1064nm 聚焦皮秒域激光与真皮黏附性聚多糖高密度透明质酸在活体大鼠皮肤中的组织相互作用反应。
Skin Res Technol. 2020 Sep;26(5):683-689. doi: 10.1111/srt.12853. Epub 2020 Mar 16.
4
Wound Healing Profile After 1064- and 532-nm Picosecond Lasers With Microlens Array of In Vivo Human Skin.体内人体皮肤使用带微透镜阵列的1064纳米和532纳米皮秒激光后的伤口愈合情况
Lasers Surg Med. 2021 Oct;53(8):1059-1064. doi: 10.1002/lsm.23390. Epub 2021 Feb 28.
5
Incident Fluence Analysis for 755-nm Picosecond Laser Treatment of Pigmented Skin Lesions Based on Threshold Fluences for Melanosome Disruption.基于黑素体破坏阈值的 755nm 皮秒激光治疗色素皮损的事件辐照量分析。
Lasers Surg Med. 2021 Oct;53(8):1096-1104. doi: 10.1002/lsm.23391. Epub 2021 Feb 19.
6
Wavelength-dependent threshold fluences for melanosome disruption to evaluate the treatment of pigmented lesions with 532-, 730-, 755-, 785-, and 1064-nm picosecond lasers.用于评估532、730、755、785和1064纳米皮秒激光治疗色素沉着性病变时黑素小体破坏的波长依赖性阈值能量密度。
Lasers Surg Med. 2024 Apr;56(4):404-418. doi: 10.1002/lsm.23773. Epub 2024 Mar 4.
7
Microlesion healing dynamics in in vivo porcine skin after treatment with 1064 nm picosecond-domain Nd:YAG laser.1064纳米皮秒级钕:钇铝石榴石激光治疗后猪活体皮肤微损伤的愈合动力学
J Biophotonics. 2023 Apr;16(4):e202200349. doi: 10.1002/jbio.202200349. Epub 2023 Jan 13.
8
Dependence of laser-induced optical breakdown on skin type during 1064 nm picosecond laser treatment.激光诱导光击穿对 1064nm 皮秒激光治疗期间皮肤类型的依赖性。
J Biophotonics. 2021 Sep;14(9):e202100129. doi: 10.1002/jbio.202100129. Epub 2021 Jun 18.
9
Melanin-dependent tissue interactions induced by a 755-nm picosecond-domain laser: complementary visualization by optical imaging and histology.755nm 皮秒域激光诱导的黑色素依赖性组织相互作用:光学成像和组织学的互补可视化。
Lasers Med Sci. 2023 Jul 14;38(1):160. doi: 10.1007/s10103-023-03811-4.
10
Selective photothermolysis of cutaneous pigmentation by Q-switched Nd: YAG laser pulses at 1064, 532, and 355 nm.调Q开关Nd:YAG激光脉冲在1064、532和355纳米波长下对皮肤色素沉着进行选择性光热解。
J Invest Dermatol. 1989 Jul;93(1):28-32. doi: 10.1111/1523-1747.ep12277339.

引用本文的文献

1
A Randomized, Prospective, Split-Face Pilot Study to Evaluate the Safety and Efficacy of 532-nm and 1,064-nm Picosecond-Domain Neodymium:Yttrium-Aluminum-Garnet Lasers Using a Diffractive Optical Element for Non-Ablative Skin Rejuvenation: Clinical and Histological Evaluation.一项随机、前瞻性、半脸试点研究,以评估使用衍射光学元件的532纳米和1064纳米皮秒级钕钇铝石榴石激光用于非剥脱性皮肤年轻化的安全性和有效性:临床和组织学评估
Ann Dermatol. 2023 Feb;35(1):23-31. doi: 10.5021/ad.22.070.
2
Comparative treatments of a green tattoo ink with Ruby, Nd:YAG nano- and picosecond lasers in normal and array mode.比较绿色纹身墨水在正常和阵列模式下使用红宝石、Nd:YAG 纳米和皮秒激光的治疗效果。
Sci Rep. 2022 Mar 4;12(1):3571. doi: 10.1038/s41598-022-07021-w.
3

本文引用的文献

1
A comparative study with a 755 nm picosecond Alexandrite laser with a diffractive lens array and a 532 nm/1064 nm Nd:YAG with a holographic optic.一项使用带有衍射透镜阵列的755纳米皮秒翠绿宝石激光与使用全息光学元件的532纳米/1064纳米钕:钇铝石榴石激光的对比研究。
Lasers Surg Med. 2018 Jan;50(1):37-44. doi: 10.1002/lsm.22752. Epub 2017 Nov 7.
2
Treatment of acne scarring with a novel fractionated, dual-wavelength, picosecond-domain laser incorporating a novel holographic beam-splitter.采用一种新型的分馏、双波长、皮秒级激光并结合新型全息光束分离器治疗痤疮瘢痕。
Lasers Surg Med. 2017 Nov;49(9):796-802. doi: 10.1002/lsm.22734. Epub 2017 Sep 28.
3
Cutaneous Delivery of Cosmeceutical Peptides Enhanced by Picosecond- and Nanosecond-Domain Nd:YAG Lasers with Quick Recovery of the Skin Barrier Function: Comparison with Microsecond-Domain Ablative Lasers.皮秒和纳秒级钕:钇铝石榴石激光增强药妆肽的皮肤递送并快速恢复皮肤屏障功能:与微秒级剥脱性激光的比较
Pharmaceutics. 2022 Feb 19;14(2):450. doi: 10.3390/pharmaceutics14020450.
4
Histology changes of in vivo human skin after treatment with fractional 1064 nm Nd:YAG picosecond laser in different energy settings.不同能量设置下的1064纳米皮秒掺钕钇铝石榴石(Nd:YAG)分数激光治疗后人体皮肤的组织学变化
Lasers Med Sci. 2022 Apr;37(3):2087-2092. doi: 10.1007/s10103-021-03396-w. Epub 2021 Oct 16.
5
Multi-Lens Arrays (MLA)-Assisted Photothermal Effects for Enhanced Fractional Cancer Treatment: Computational and Experimental Validations.用于增强分数癌症治疗的多透镜阵列(MLA)辅助光热效应:计算与实验验证
Cancers (Basel). 2021 Mar 8;13(5):1146. doi: 10.3390/cancers13051146.
6
Incident Fluence Analysis for 755-nm Picosecond Laser Treatment of Pigmented Skin Lesions Based on Threshold Fluences for Melanosome Disruption.基于黑素体破坏阈值的 755nm 皮秒激光治疗色素皮损的事件辐照量分析。
Lasers Surg Med. 2021 Oct;53(8):1096-1104. doi: 10.1002/lsm.23391. Epub 2021 Feb 19.
7
Laser-induced optical breakdown effects of micro-lens arrays and diffractive optical elements on porcine skin after 1064 nm picosecond laser irradiation.1064纳米皮秒激光照射后微透镜阵列和衍射光学元件对猪皮的激光诱导光学击穿效应
Biomed Opt Express. 2020 Nov 23;11(12):7286-7298. doi: 10.1364/BOE.410991. eCollection 2020 Dec 1.
8
Assessment of Effects of Laser Light Combining Three Wavelengths (450, 520 and 640 nm) on Temperature Increase and Depth of Tissue Lesions in an Ex Vivo Study.一项体外研究中对三种波长(450、520和640纳米)组合的激光对温度升高及组织损伤深度影响的评估
Materials (Basel). 2020 Nov 25;13(23):5340. doi: 10.3390/ma13235340.
Pattern analysis of laser-tattoo interactions for picosecond- and nanosecond-domain 1,064-nm neodymium-doped yttrium-aluminum-garnet lasers in tissue-mimicking phantom.
组织模拟体中皮秒和纳秒域 1064nm 掺钕钇铝石榴石激光与激光纹身相互作用的模式分析。
Sci Rep. 2017 May 8;7(1):1533. doi: 10.1038/s41598-017-01724-1.
4
In vivo multiphoton-microscopy of picosecond-laser-induced optical breakdown in human skin.人皮肤中皮秒激光诱导光学击穿的体内多光子显微镜研究
Lasers Surg Med. 2017 Aug;49(6):555-562. doi: 10.1002/lsm.22655. Epub 2017 Mar 23.
5
The picosecond revolution and laser tattoo treatments: are shorter pulses really better?皮秒革命与激光纹身治疗:更短的脉冲真的更好吗?
Br J Dermatol. 2017 Feb;176(2):299-300. doi: 10.1111/bjd.15294.
6
A Prospective Split-Face Study of the Picosecond Alexandrite Laser With Specialized Lens Array for Facial Photoaging in Chinese.一项关于皮秒翠绿宝石激光联合专用透镜阵列治疗中国人群面部光老化的前瞻性半脸研究。
J Drugs Dermatol. 2016 Nov 1;15(11):1390-1396.
7
The histology of skin treated with a picosecond alexandrite laser and a fractional lens array.用皮秒翠绿宝石激光和分数透镜阵列治疗的皮肤组织学。
Lasers Surg Med. 2016 Sep;48(7):646-52. doi: 10.1002/lsm.22540. Epub 2016 Jun 1.
8
Influence of absorption induced thermal initiation pathway on irradiance threshold for laser induced breakdown.吸收诱导热引发途径对激光诱导击穿辐照阈值的影响。
Biomed Opt Express. 2015 Mar 11;6(4):1234-40. doi: 10.1364/BOE.6.001234. eCollection 2015 Apr 1.
9
Use of a picosecond pulse duration laser with specialized optic for treatment of facial acne scarring.使用皮秒脉宽激光和专用光学元件治疗面部痤疮瘢痕。
JAMA Dermatol. 2015 Mar;151(3):278-84. doi: 10.1001/jamadermatol.2014.3045.
10
Minimally invasive non-thermal laser technology using laser-induced optical breakdown for skin rejuvenation.采用激光诱导光击穿的微创非热激光技术进行皮肤年轻化。
J Biophotonics. 2012 Feb;5(2):194-9. doi: 10.1002/jbio.201100083. Epub 2011 Nov 2.