Suppr超能文献

关节内注射重组人生长激素与透明质酸及安慰剂治疗新西兰兔骨关节炎模型的比较

Intra-articular Recombinant Human Growth Hormone Injection Compared with Hyaluronic Acid and Placebo for an Osteoarthritis Model of New Zealand Rabbits.

作者信息

Lubis Andri Maruli Tua, Wonggokusuma Erick, Marsetio Aldo Fransiskus

机构信息

Department of Orthopaedic and Traumatology, Faculty of Medicine, Universitas Indonesia and Department of Orthopaedic and Traumatology, Cipto Mangunkusumo Hospital, Jakarta.

Department of General Orthopaedic, Siloam Hospital Kebon Jeruk, Jakarta, Indonesia.

出版信息

Knee Surg Relat Res. 2019 Mar 1;31(1):44-53. doi: 10.5792/ksrr.18.062.

Abstract

PURPOSE

Up to now, there is no feasible solution for stopping or reversing the degenerative process of osteoarthritis (OA). Our study evaluated the effect of intra-articular injection of growth hormone (GH) in OA-induced rabbit knees compared to hyaluronic acid (HA) and placebo.

MATERIALS AND METHODS

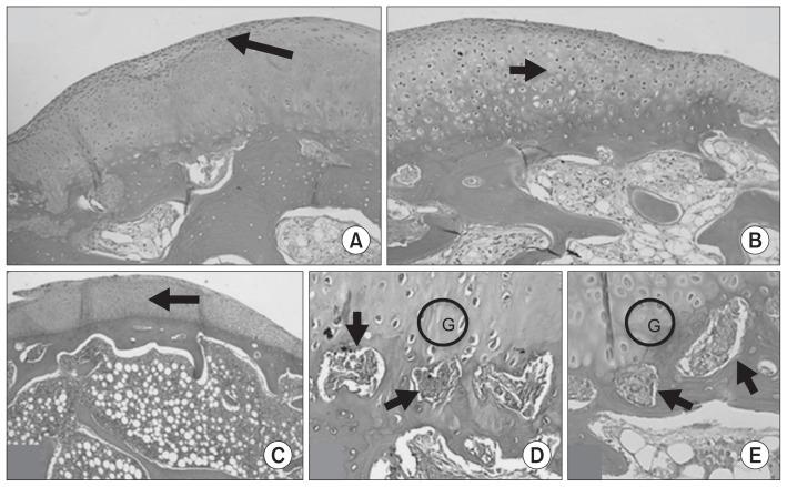
A total of 21 male, skeletally mature, New Zealand rabbits received an intra-articular type II collagenase injection for OA induction. Two weeks later, the rabbits were randomized into three groups based on the weekly intra-articular injection to be received: GH, HA, and saline. Injections were done for three consecutive weeks. Evaluation was done at 8 weeks after treatment, clinically using the lameness period, macroscopically using the Yoshimi score and microscopically using the Mankin score.

RESULTS

The shortest period of lameness was found in the GH group (15.9±2.12 days), compared to the HA group (19.4±1.72 days) and placebo group (25.0±2.94 days). There was a statistically significant difference in macroscopic scoring between groups (p=0.001) in favor of the GH group. There was also significant difference in the microscopic score between groups (p=0.001) also in favor of the GH group.

CONCLUSIONS

Intra-articular injection of GH showed better clinical, macroscopic and microscopic results as compared to HA and placebo.

摘要

目的

到目前为止,尚无可行的解决方案来阻止或逆转骨关节炎(OA)的退行性进程。我们的研究评估了与透明质酸(HA)和安慰剂相比,关节内注射生长激素(GH)对OA诱导的兔膝关节的影响。

材料与方法

总共21只骨骼成熟的雄性新西兰兔接受关节内注射II型胶原酶以诱导OA。两周后,根据每周接受的关节内注射将兔子随机分为三组:GH组、HA组和生理盐水组。连续三周进行注射。在治疗后8周进行评估,临床评估采用跛行期,宏观评估采用吉见评分,微观评估采用曼金评分。

结果

与HA组(19.4±1.72天)和安慰剂组(25.0±2.94天)相比,GH组的跛行期最短(15.9±2.12天)。各组间宏观评分存在统计学显著差异(p=0.001),支持GH组。各组间微观评分也存在显著差异(p=0.001),同样支持GH组。

结论

与HA和安慰剂相比,关节内注射GH显示出更好的临床、宏观和微观效果。

https://cdn.ncbi.nlm.nih.gov/pmc/blobs/c1eb/6425894/3159ed8b9381/ksrr-31-044f1.jpg

相似文献

2
6
Hyaluronic acid versus saline intra-articular injections for amelioration of chronic knee osteoarthritis: A canine model.
J Orthop Res. 2016 Oct;34(10):1772-1779. doi: 10.1002/jor.23191. Epub 2016 Mar 7.

引用本文的文献

1
Animal Models of Osteoarthritis: Updated Models and Outcome Measures 2016-2023.
Regen Eng Transl Med. 2024 Jun;10(2):127-146. doi: 10.1007/s40883-023-00309-x. Epub 2023 Jun 27.
3
Candidates for Intra-Articular Administration Therapeutics and Therapies of Osteoarthritis.
Int J Mol Sci. 2021 Mar 30;22(7):3594. doi: 10.3390/ijms22073594.
4
Bone Marrow Aspirate Matrix: A Convenient Ally in Regenerative Medicine.
Int J Mol Sci. 2021 Mar 9;22(5):2762. doi: 10.3390/ijms22052762.
5
Umbilical cord-derived Wharton's jelly for regenerative medicine applications.
J Orthop Surg Res. 2020 Feb 13;15(1):49. doi: 10.1186/s13018-020-1553-7.

本文引用的文献

1
Dissecting the contribution of knee joint NGF to spinal nociceptive sensitization in a model of OA pain in the rat.
Osteoarthritis Cartilage. 2015 Jun;23(6):906-13. doi: 10.1016/j.joca.2015.01.010. Epub 2015 Jan 24.
2
Destabilization of the medial meniscus leads to subchondral bone defects and site-specific cartilage degeneration in an experimental rat model.
Osteoarthritis Cartilage. 2014 Jul;22(7):1036-43. doi: 10.1016/j.joca.2014.05.009. Epub 2014 May 21.
3
Preventive effects of hyaluronan from deterioration of gait parameters in surgically induced mice osteoarthritic knee model.
Osteoarthritis Cartilage. 2014 Jun;22(6):831-5. doi: 10.1016/j.joca.2014.03.016. Epub 2014 Apr 3.
5
Toward regeneration of articular cartilage.
Birth Defects Res C Embryo Today. 2013 Sep;99(3):192-202. doi: 10.1002/bdrc.21042.
7
Knee and ankle osteoarthritis in former elite soccer players: a systematic review of the recent literature.
J Sci Med Sport. 2012 Nov;15(6):480-7. doi: 10.1016/j.jsams.2012.02.008. Epub 2012 May 8.
8
Lameness in a rabbit.
Lab Anim (NY). 2011 Feb;40(2):39-41. doi: 10.1038/laban0211-39.
9
The OARSI histopathology initiative - recommendations for histological assessments of osteoarthritis in the mouse.
Osteoarthritis Cartilage. 2010 Oct;18 Suppl 3:S17-23. doi: 10.1016/j.joca.2010.05.025.
10

文献AI研究员

20分钟写一篇综述,助力文献阅读效率提升50倍。

立即体验

用中文搜PubMed

大模型驱动的PubMed中文搜索引擎

马上搜索

文档翻译

学术文献翻译模型,支持多种主流文档格式。

立即体验