• 文献检索
  • 文档翻译
  • 深度研究
  • 学术资讯
  • Suppr Zotero 插件Zotero 插件
  • 邀请有礼
  • 套餐&价格
  • 历史记录
应用&插件
Suppr Zotero 插件Zotero 插件浏览器插件Mac 客户端Windows 客户端微信小程序
定价
高级版会员购买积分包购买API积分包
服务
文献检索文档翻译深度研究API 文档MCP 服务
关于我们
关于 Suppr公司介绍联系我们用户协议隐私条款
关注我们

Suppr 超能文献

核心技术专利:CN118964589B侵权必究
粤ICP备2023148730 号-1Suppr @ 2026

文献检索

告别复杂PubMed语法,用中文像聊天一样搜索,搜遍4000万医学文献。AI智能推荐,让科研检索更轻松。

立即免费搜索

文件翻译

保留排版,准确专业,支持PDF/Word/PPT等文件格式,支持 12+语言互译。

免费翻译文档

深度研究

AI帮你快速写综述,25分钟生成高质量综述,智能提取关键信息,辅助科研写作。

立即免费体验

酷似动静脉畸形的枕部肌内血管瘤:病例报告

Posterior occipital intramuscular hemangioma mimicking arteriovenous malformation: Case report.

作者信息

Chen Hao, Xu Baofeng, Wang Guangming, Guo Yunbao, Hou Kun, Yu Jinlu

机构信息

Department of Neurosurgery, The First Hospital of Jilin University, Changchun, China.

出版信息

Medicine (Baltimore). 2019 Mar;98(13):e14678. doi: 10.1097/MD.0000000000014678.

DOI:10.1097/MD.0000000000014678
PMID:30921180
原文链接:https://pmc.ncbi.nlm.nih.gov/articles/PMC6456155/
Abstract

RATIONALE

Intermuscular hemangioma (IH) usually occurs in the muscles of the limbs and trunk, but can rarely occur in the occipital region. IH in the occipital region is easily misdiagnosed as arteriovenous malformation (AVM).

PATIENT CONCERNS

A 31-year-old woman had a right occipital mass for 5 months without pulsation.

DIAGNOSIS

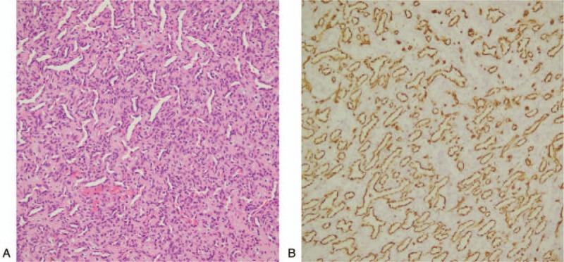
Head computered tomography angiography (CTA) and digital substraction angiography (DSA) examinations showed that the lesion was mainly vascular, approximately 3 × 5 cm in size, and supplied by occipital arteries and the muscular branches of vertebral arteries. The venous drainage of the lesions communicated with the suboccipital vein plexus and the paravertebral vein in the venous phase, indicating AVM. Postoperative histological investigation showed the lesion was a hemangioma.

INTERVENTIONS

It was recommended for surgical removal. The surgery was carried out under general anesthesia. The lesion showed a clear boundary. The occipital artery touched the anterior margin of the lesion, was exposed and ligated, and was removed around the lesion. The lesion consisted of massive blood vessels, and the surrounding muscles were swollen, indicating IH.After the lesion was removed, the normal muscle tissue around the lesion was also removed.

OUTCOMES

The patient achieved a good recovery after surgery, and pathology confirmed IH. A postoperative 1-year CTA review was performed and showed partial residual, then the radiotherapy was recommended. She refused further radiotherapy, follow-up 2 years later showed no enlargement of the lesion.

LESSONS

Although IH rarely occurs in the occipital region, this can occur. Due to the complexity of the drainage veins in the occipital region, these IH are prone to misdiagnosis as AVM.

摘要

理论依据

肌间血管瘤(IH)通常发生于四肢和躯干的肌肉,但很少发生于枕部区域。枕部区域的IH易被误诊为动静脉畸形(AVM)。

患者情况

一名31岁女性右枕部肿物5个月,无搏动。

诊断

头部计算机断层血管造影(CTA)和数字减影血管造影(DSA)检查显示,病变主要为血管性,大小约3×5 cm,由枕动脉和椎动脉肌支供血。病变的静脉引流在静脉期与枕下静脉丛和椎旁静脉相通,提示为AVM。术后组织学检查显示病变为血管瘤。

干预措施

建议手术切除。在全身麻醉下进行手术。病变边界清晰。枕动脉触及病变前缘,予以暴露并结扎,沿病变周围切除。病变由大量血管组成,周围肌肉肿胀,提示为IH。病变切除后,病变周围的正常肌肉组织也被切除。

结果

患者术后恢复良好,病理证实为IH。术后1年进行CTA复查显示有部分残留,遂建议放疗。患者拒绝进一步放疗,2年后随访显示病变未增大。

经验教训

尽管IH很少发生于枕部区域,但仍有可能发生。由于枕部区域引流静脉的复杂性,这些IH容易被误诊为AVM。

https://cdn.ncbi.nlm.nih.gov/pmc/blobs/1f93/6456155/5522ffd9ff3b/medi-98-e14678-g005.jpg
https://cdn.ncbi.nlm.nih.gov/pmc/blobs/1f93/6456155/ebd23e6779a9/medi-98-e14678-g001.jpg
https://cdn.ncbi.nlm.nih.gov/pmc/blobs/1f93/6456155/52739129d819/medi-98-e14678-g002.jpg
https://cdn.ncbi.nlm.nih.gov/pmc/blobs/1f93/6456155/b29e22b4feef/medi-98-e14678-g003.jpg
https://cdn.ncbi.nlm.nih.gov/pmc/blobs/1f93/6456155/343360f129eb/medi-98-e14678-g004.jpg
https://cdn.ncbi.nlm.nih.gov/pmc/blobs/1f93/6456155/5522ffd9ff3b/medi-98-e14678-g005.jpg
https://cdn.ncbi.nlm.nih.gov/pmc/blobs/1f93/6456155/ebd23e6779a9/medi-98-e14678-g001.jpg
https://cdn.ncbi.nlm.nih.gov/pmc/blobs/1f93/6456155/52739129d819/medi-98-e14678-g002.jpg
https://cdn.ncbi.nlm.nih.gov/pmc/blobs/1f93/6456155/b29e22b4feef/medi-98-e14678-g003.jpg
https://cdn.ncbi.nlm.nih.gov/pmc/blobs/1f93/6456155/343360f129eb/medi-98-e14678-g004.jpg
https://cdn.ncbi.nlm.nih.gov/pmc/blobs/1f93/6456155/5522ffd9ff3b/medi-98-e14678-g005.jpg

相似文献

1
Posterior occipital intramuscular hemangioma mimicking arteriovenous malformation: Case report.酷似动静脉畸形的枕部肌内血管瘤:病例报告
Medicine (Baltimore). 2019 Mar;98(13):e14678. doi: 10.1097/MD.0000000000014678.
2
Ruptured tectal arteriovenous malformation demonstrated angiographically after removal of an unruptured occipital lobe arteriovenous malformation.在切除未破裂的枕叶动静脉畸形后,血管造影显示中脑顶盖动静脉畸形破裂。
Neurol Med Chir (Tokyo). 2009 Jan;49(1):30-2. doi: 10.2176/nmc.49.30.
3
Intramuscular hemangioma with hemorrhagic transformation arising from paraspinal muscles of posterior neck: A case report.源于后颈部椎旁肌肉的伴有出血性转化的肌内血管瘤:一例报告。
Medicine (Baltimore). 2020 Aug 14;99(33):e21741. doi: 10.1097/MD.0000000000021741.
4
Occipital Interhemispheric Transtentorial Approach for Microsurgical Resection of a Ruptured Vermian Arteriovenous Malformation: Three-Dimensional Operative Video.枕下入路经天幕显微切除破裂的小脑静脉- 静脉畸形:三维手术视频。
World Neurosurg. 2022 Dec;168:243. doi: 10.1016/j.wneu.2022.10.009. Epub 2022 Oct 11.
5
Contralateral posterior interhemispheric approach to deep medial parietooccipital vascular malformations: surgical technique and results.对侧后纵裂入路切除深部内侧顶枕部血管畸形:手术技术与结果。
J Neurosurg. 2018 Jul;129(1):198-204. doi: 10.3171/2017.2.JNS162750. Epub 2017 Jul 21.
6
Growing intracranial arteriovenous malformation in a newborn.新生儿颅内动静脉畸形不断增大
Childs Nerv Syst. 1986;2(5):270-2. doi: 10.1007/BF00272502.
7
Cavernous angioma associated with arteriovenous malformation of the brain--case report.脑海绵状血管瘤合并动静脉畸形——病例报告
Neurol Med Chir (Tokyo). 2010;50(2):131-4. doi: 10.2176/nmc.50.131.
8
Supracerebellar Approach for Resection of a Falcotentorial Dural Arteriovenous Fistula with Pial Tectal Arteriovenous Malformation Component Associated with a Left Parafalcine Meningioma.小脑幕上入路切除镰幕缘动静脉瘘伴脑桥被盖动静脉畸形及左侧岩斜脑膜瘤
World Neurosurg. 2020 May;137:337. doi: 10.1016/j.wneu.2020.02.051. Epub 2020 Feb 17.
9
Angiography and treatment of a pial occipital malformation supplied by a posterior temporo-occipital branch of the anterior choroidal artery.由脉络膜前动脉颞枕后支供血的软膜枕部畸形的血管造影及治疗
Neuroradiology. 1996 May;38 Suppl 1:S157-9. doi: 10.1007/BF02278146.
10
[Multiple cerebral arteriovenous malformations: case report].[多发性脑动静脉畸形:病例报告]
No Shinkei Geka. 1994 Aug;22(8):761-7.

引用本文的文献

1
Characteristics, Natural Course and Treatment of Intramuscular Capillary-type Haemangioma: A Systematic Literature Review.肌内毛细血管型血管瘤的特征、自然病程和治疗:系统文献回顾。
Acta Derm Venereol. 2023 Mar 20;103:adv00893. doi: 10.2340/actadv.v103.4432.
2
Anatomical features of the occipital artery on CTA and differences between patients with/without stenosis and occlusion of the internal carotid artery.CTA上枕动脉的解剖特征以及颈内动脉有无狭窄和闭塞患者之间的差异。
Med Int (Lond). 2021 Dec 29;2(1):3. doi: 10.3892/mi.2021.28. eCollection 2022 Jan-Feb.
3
Intramuscular hemangioma with hemorrhagic transformation arising from paraspinal muscles of posterior neck: A case report.

本文引用的文献

1
Intracranial Connections of the Vertebral Venous Plexus: Anatomical Study with Application to Neurosurgical and Endovascular Procedures at the Craniocervical Junction.颅内椎静脉丛的连接:应用于颅颈交界区神经外科和血管内手术的解剖学研究。
Oper Neurosurg (Hagerstown). 2018 Jan 1;14(1):51-57. doi: 10.1093/ons/opx080.
2
Intramuscular Capillary Haemangioma of the Temporalis Muscle: A Rare Case with A Review of the Literature.颞肌内毛细血管型血管瘤:1例罕见病例并文献复习
J Clin Diagn Res. 2017 Feb;11(2):MD01-MD02. doi: 10.7860/JCDR/2017/20978.9320. Epub 2017 Feb 1.
3
The craniocervical junction: embryology, anatomy, biomechanics and imaging in blunt trauma.
源于后颈部椎旁肌肉的伴有出血性转化的肌内血管瘤:一例报告。
Medicine (Baltimore). 2020 Aug 14;99(33):e21741. doi: 10.1097/MD.0000000000021741.
颅颈交界区:钝性创伤中的胚胎学、解剖学、生物力学与影像学
Insights Imaging. 2017 Feb;8(1):29-47. doi: 10.1007/s13244-016-0530-5. Epub 2016 Nov 4.
4
Brain arteriovenous malformations.脑动静脉畸形。
Nat Rev Dis Primers. 2015 May 28;1:15008. doi: 10.1038/nrdp.2015.8.
5
Case of erectile tumour in the popliteal space.-Removal.腘窝处勃起性肿瘤病例。-切除。
Med Chir Trans. 1843;26:120-32. doi: 10.1177/095952874302600111.
6
Cavernous haemangioma of the temporalis muscle: case report and review of the literature.颞肌海绵状血管瘤:病例报告及文献复习
Acta Otorhinolaryngol Ital. 2008 Apr;28(2):83-6.
7
Craniocervical junction venous anatomy around the suboccipital cavernous sinus: evaluation by MR imaging.枕下海绵窦周围的颅颈交界区静脉解剖:磁共振成像评估
Eur Radiol. 2005 Aug;15(8):1694-700. doi: 10.1007/s00330-004-2597-5. Epub 2005 Feb 27.
8
The craniocervical venous system in relation to cerebral venous drainage.与脑静脉引流相关的颅颈静脉系统。
AJNR Am J Neuroradiol. 2002 Oct;23(9):1500-8.
9
Hemangioma of the temporalis muscle: a case report and review of the literature.颞肌血管瘤:一例病例报告及文献复习
J Oral Maxillofac Surg. 1996 Sep;54(9):1130-2. doi: 10.1016/s0278-2391(96)90177-9.
10
Hemangioma of skeletal muscle. An analysis of 89 cases.骨骼肌血管瘤。89例分析。
Cancer. 1972 Jan;29(1):8-22. doi: 10.1002/1097-0142(197201)29:1<8::aid-cncr2820290103>3.0.co;2-a.