Suppr超能文献

铁蛋白调节机体能量平衡和产热。

Ferritin regulates organismal energy balance and thermogenesis.

机构信息

Instituto Gulbenkian de Ciência, Oeiras, Portugal.

NeurObesity Group, Department of Physiology, CiMUS & CIBERobn, University of Santiago de Compostela, Spain.

出版信息

Mol Metab. 2019 Jun;24:64-79. doi: 10.1016/j.molmet.2019.03.008. Epub 2019 Mar 21.

Abstract

OBJECTIVE

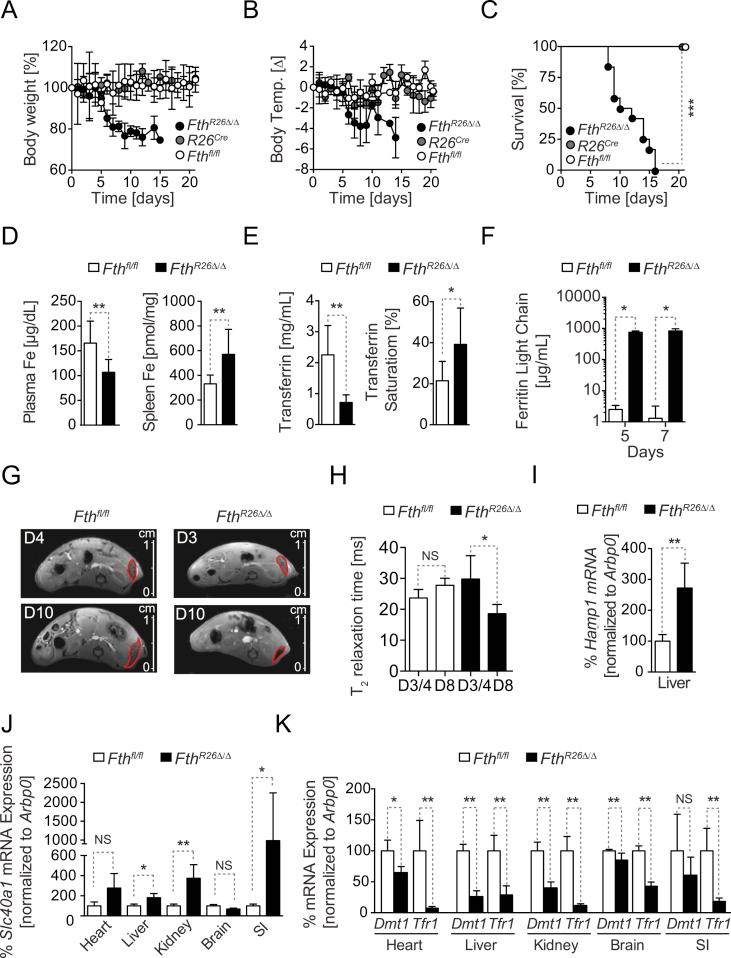
The ferritin heavy/heart chain (FTH) gene encodes the ferroxidase component of the iron (Fe) sequestering ferritin complex, which plays a central role in the regulation of cellular Fe metabolism. Here we tested the hypothesis that ferritin regulates organismal Fe metabolism in a manner that impacts energy balance and thermal homeostasis.

METHODS

We developed a mouse strain, referred herein as Fth, expressing a tamoxifen-inducible Cre recombinase under the control of the Rosa26 (R26) promoter and carrying two LoxP (fl) sites: one at the 5'end of the Fth promoter and another the 3' end of the first Fth exon. Tamoxifen administration induces global deletion of Fth in adult Fth mice, testing whether FTH is required for maintenance of organismal homeostasis.

RESULTS

Under standard nutritional Fe supply, Fth deletion in adult Fth mice led to a profound deregulation of organismal Fe metabolism, oxidative stress, inflammation, and multi-organ damage, culminating in death. Unexpectedly, Fth deletion was also associated with a profound atrophy of white and brown adipose tissue as well as with collapse of energy expenditure and thermogenesis. This was attributed mechanistically to mitochondrial dysfunction, as assessed in the liver and in adipose tissue.

CONCLUSION

The FTH component of ferritin acts as a master regulator of organismal Fe homeostasis, coupling nutritional Fe supply to organismal redox homeostasis, energy expenditure and thermoregulation.

摘要

目的

铁蛋白重/心脏链(FTH)基因编码铁(Fe)螯合铁蛋白复合物的铁氧化酶成分,在细胞 Fe 代谢调节中发挥核心作用。在这里,我们检验了铁蛋白以影响能量平衡和体温调节的方式调节机体 Fe 代谢的假说。

方法

我们开发了一种小鼠品系,在此称为 Fth,该品系在 Rosa26(R26)启动子的控制下表达一种可诱导型 tamoxifen 的 Cre 重组酶,并携带两个 LoxP(fl)位点:一个位于 Fth 启动子的 5'端,另一个位于第一个 Fth 外显子的 3'端。tamoxifen 给药诱导成年 Fth 小鼠中 Fth 的全局缺失,测试 FTH 是否需要维持机体的内稳态。

结果

在标准营养 Fe 供应下,成年 Fth 小鼠中 Fth 的缺失导致机体 Fe 代谢、氧化应激、炎症和多器官损伤的严重失调,最终导致死亡。出乎意料的是,Fth 的缺失也与白色和棕色脂肪组织的严重萎缩以及能量消耗和产热的崩溃有关。这在肝脏和脂肪组织中的线粒体功能障碍评估中得到了机制上的归因。

结论

铁蛋白的 FTH 成分作为机体 Fe 内稳态的主调节因子,将营养 Fe 供应与机体氧化还原内稳态、能量消耗和体温调节偶联。

https://cdn.ncbi.nlm.nih.gov/pmc/blobs/a092/6531837/ddefdba9c40a/gr1.jpg

文献检索

告别复杂PubMed语法,用中文像聊天一样搜索,搜遍4000万医学文献。AI智能推荐,让科研检索更轻松。

立即免费搜索

文件翻译

保留排版,准确专业,支持PDF/Word/PPT等文件格式,支持 12+语言互译。

免费翻译文档

深度研究

AI帮你快速写综述,25分钟生成高质量综述,智能提取关键信息,辅助科研写作。

立即免费体验