Suppr超能文献

颅底凹陷伴 Chiari 畸形Ⅰ型:文献复习。

Basilar invagination associated with chiari malformation type I: A literature review.

机构信息

Departamento de Neurologia e Neurocirurgia, Faculdade de Ciencias Medicas (FACIME), Universidade Estadual do Piaui, Teresina, PI, BR.

Centro Universitário UNINOVAFAPI, Teresina. PI, BR.

出版信息

Clinics (Sao Paulo). 2019;74:e653. doi: 10.6061/clinics/2019/e653. Epub 2019 Apr 8.

Abstract

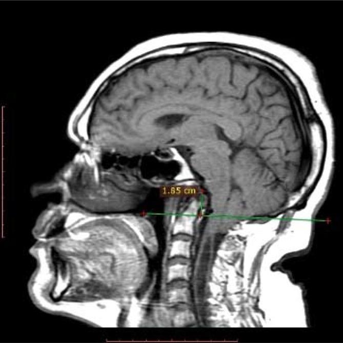
Basilar invagination (BI) and Chiari malformation type I (CM-I) are very important anomalies that introduce instability and compression in the occipitocervical transition region and have complex clinical characteristics. These anomalies vary according to the affected structures. The present study revises current knowledge regarding the anatomy, anatomo-physiology, clinical manifestations, and radiological findings of these entities and the associated surgical treatment approaches. A bibliographic survey was performed through a search in the Medline, PubMed, SciELO, Science and LILACS databases. When associated, these craniovertebral malformations result in neurological deficits due to neural parenchyma compression; however, the presence of microtraumas due to repetitive lesions caused by the bulb and cervical marrow instability has been highlighted as a determinant dysfunction. Surgical treatment is controversial and has many technical variations. Surgery is also challenging due to the complex anatomical characteristics and biomechanics of this region. Nevertheless, advances have been achieved in our understanding of related mechanisms, and compression and atlantoaxial instability are considered key elements when selecting the surgical approach.

摘要

颅底凹陷症(BI)和 Chiari 畸形 I 型(CM-I)是非常重要的异常,它们会导致枕颈过渡区不稳定和受压,并具有复杂的临床特征。这些异常根据受影响的结构而有所不同。本研究回顾了这些实体的解剖学、解剖生理学、临床表现和影像学发现以及相关的手术治疗方法的现有知识。通过在 Medline、PubMed、SciELO、Science 和 LILACS 数据库中进行文献检索,进行了文献综述。当这些颅颈畸形合并存在时,由于神经实质受压会导致神经功能缺损;然而,由于球部和颈髓不稳定引起的反复损伤导致微创伤的存在已被确定为功能障碍的决定因素。手术治疗存在争议,并且有许多技术变化。由于该区域的复杂解剖学特征和生物力学特性,手术也具有挑战性。尽管如此,我们对相关机制的理解已经取得了进展,并且在选择手术方法时,认为压迫和寰枢关节不稳定是关键因素。

https://cdn.ncbi.nlm.nih.gov/pmc/blobs/1d6f/6448527/6431d70389b4/cln-74-e653-gf01.jpg

文献检索

告别复杂PubMed语法,用中文像聊天一样搜索,搜遍4000万医学文献。AI智能推荐,让科研检索更轻松。

立即免费搜索

文件翻译

保留排版,准确专业,支持PDF/Word/PPT等文件格式,支持 12+语言互译。

免费翻译文档

深度研究

AI帮你快速写综述,25分钟生成高质量综述,智能提取关键信息,辅助科研写作。

立即免费体验