Ariizumi Shun-Ichi, Kikuchi Chizuo, Tokitou Fumiaki, Yamashita Shingo, Kotera Yoshihito, Omori Akiko, Kato Takaaki, Nemoto Satoshi, Niinami Hiroshi, Yamamoto Masakazu
Department of Surgery, Institute of Gastroenterology, Tokyo Women's Medical University, Kawada 8-1, Shinjuku-ku, Tokyo, 162-0054, Japan.
Department of Cardiovascular Surgery, Tokyo Women's Medical University, Tokyo, Japan.
Surg Case Rep. 2019 Apr 11;5(1):57. doi: 10.1186/s40792-019-0620-y.
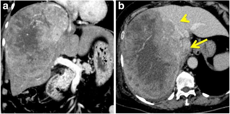
Hepatocellular carcinoma (HCC) with tumor thrombus (TT) in the right atrium is a critical condition. The general consensus is to perform hepatectomy prior to cavo-atrial thrombectomy because of the risk of uncontrollable bleeding during the liver transection after heparinization. However, sudden cardiac arrest due to the ball-valve effect and pulmonary embolism have been reported in cases of TT. Cavo-atrial thrombectomy prior to hepatectomy for HCC with TT in the right atrium was successfully performed to prevent sudden cardiac arrest and pulmonary embolism.
Tumor thrombectomy under cardiopulmonary bypass with heparin and electrical ventricular fibrillation prior to hepatectomy was successfully performed to prevent sudden cardiac arrest or pulmonary embolism in a 75-year-old woman with a huge HCC and TT in the right atrium. After the neutralization of heparin, right hepatectomy with tumor thrombectomy in the inferior vena cava was performed. The total operation time was 9 h, and the total blood loss was 8200 mL. The patient's postoperative course was uneventful, and she was discharged 14 days after surgery. One year after surgery, she is alive with HCC recurrence in the lung.
Cavo-atrial thrombectomy prior to hepatectomy for HCC with TT in the right atrium can be performed safely to prevent sudden cardiac arrest and pulmonary embolism by collaboration of cardiovascular surgeons and gastroenterological surgeons.
伴有右心房肿瘤血栓(TT)的肝细胞癌(HCC)是一种危急情况。普遍的共识是在腔房血栓切除术之前先进行肝切除术,因为肝素化后肝切除术中存在出血难以控制的风险。然而,已有报道称TT病例会因球阀效应和肺栓塞导致心脏骤停。对于伴有右心房TT的HCC患者,在肝切除术之前成功进行腔房血栓切除术可预防心脏骤停和肺栓塞。
在一名患有巨大HCC且右心房有TT的75岁女性患者中,在肝切除术之前成功进行了体外循环下肝素化及心室电颤动状态下的肿瘤血栓切除术,以预防心脏骤停或肺栓塞。肝素中和后,进行了右肝切除术及下腔静脉肿瘤血栓切除术。总手术时间为9小时,总失血量为8200毫升。患者术后恢复顺利,术后14天出院。术后一年,她存活,但肺部出现HCC复发。
对于伴有右心房TT的HCC患者,在肝切除术之前进行腔房血栓切除术,通过心血管外科医生和胃肠外科医生的协作,可以安全地进行,以预防心脏骤停和肺栓塞。