• 文献检索
  • 文档翻译
  • 深度研究
  • 学术资讯
  • Suppr Zotero 插件Zotero 插件
  • 邀请有礼
  • 套餐&价格
  • 历史记录
应用&插件
Suppr Zotero 插件Zotero 插件浏览器插件Mac 客户端Windows 客户端微信小程序
定价
高级版会员购买积分包购买API积分包
服务
文献检索文档翻译深度研究API 文档MCP 服务
关于我们
关于 Suppr公司介绍联系我们用户协议隐私条款
关注我们

Suppr 超能文献

核心技术专利:CN118964589B侵权必究
粤ICP备2023148730 号-1Suppr @ 2026

文献检索

告别复杂PubMed语法,用中文像聊天一样搜索,搜遍4000万医学文献。AI智能推荐,让科研检索更轻松。

立即免费搜索

文件翻译

保留排版,准确专业,支持PDF/Word/PPT等文件格式,支持 12+语言互译。

免费翻译文档

深度研究

AI帮你快速写综述,25分钟生成高质量综述,智能提取关键信息,辅助科研写作。

立即免费体验

芹菜素抑制人肥大细胞和小鼠皮肤组织中的白细胞介素-31 细胞因子。

Apigenin Inhibits IL-31 Cytokine in Human Mast Cell and Mouse Skin Tissues.

机构信息

Department of Food Science and Technology, Chonbuk National University, Jeonju-si, Jeollabuk-do 54896, Korea.

Department of Health Management, Jeonju University, Jeonju-si, Jeollabuk-do 55069, Korea.

出版信息

Molecules. 2019 Apr 2;24(7):1290. doi: 10.3390/molecules24071290.

DOI:10.3390/molecules24071290
PMID:30987029
原文链接:https://pmc.ncbi.nlm.nih.gov/articles/PMC6479805/
Abstract

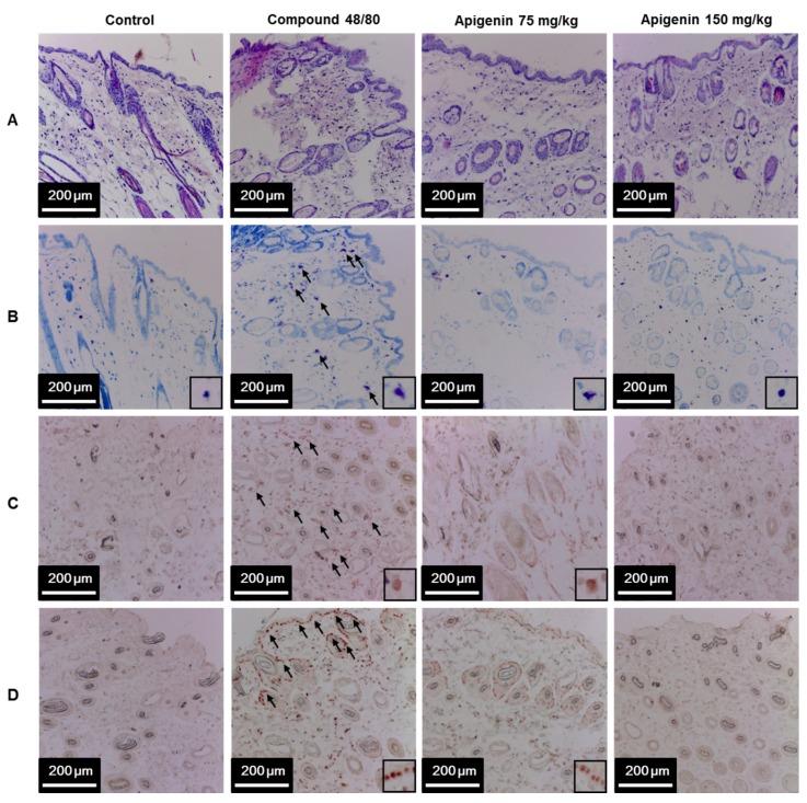
IL-31 is a recently discovered cytokine that is produced not only in T-cells but also in mast cells. It is strongly implicated to play a key role in inflammatory diseases and in the pathogenesis of itch in atopic dermatitis. Apigenin, a flavonoid of plant origin has numerous biological applications. In this study, we showed that apigenin modulates IL-31 mRNA, protein expression, and release in stimulated human mast (HMC-1) by inhibiting the phosphorylation activation of MAPK and NF-κB. To determine whether apigenin has similar effects in vivo, using Compound 48/80, we developed an atopic dermatitis itch model in mice and found an increase in IL-31 expression in the skin. We also revealed that apigenin prevents the infiltration and degranulation of mast cells and suppressed mRNA and protein expression of IL-31 in the skin of mice. These results provide a new suggestion of the potential applicability of apigenin for treatment of various inflammatory diseases and itch mediated by IL-31.

摘要

白细胞介素-31 是一种新发现的细胞因子,不仅在 T 细胞中产生,也在肥大细胞中产生。它在炎症性疾病和特应性皮炎的瘙痒发病机制中起关键作用。芹菜素是一种植物来源的类黄酮,具有多种生物学应用。在这项研究中,我们表明,芹菜素通过抑制 MAPK 和 NF-κB 的磷酸化激活来调节刺激的人肥大细胞(HMC-1)中的白细胞介素-31 mRNA、蛋白表达和释放。为了确定芹菜素在体内是否具有类似的作用,我们使用化合物 48/80 在小鼠中开发了特应性皮炎瘙痒模型,发现皮肤中白细胞介素-31 的表达增加。我们还揭示了芹菜素可防止肥大细胞的浸润和脱颗粒,并抑制小鼠皮肤中白细胞介素-31 的 mRNA 和蛋白表达。这些结果为芹菜素在治疗各种由白细胞介素-31 介导的炎症性疾病和瘙痒方面的潜在适用性提供了新的建议。

https://cdn.ncbi.nlm.nih.gov/pmc/blobs/26de/6479805/502aa5f6aeb5/molecules-24-01290-g006.jpg
https://cdn.ncbi.nlm.nih.gov/pmc/blobs/26de/6479805/7fd8eacaff78/molecules-24-01290-g001.jpg
https://cdn.ncbi.nlm.nih.gov/pmc/blobs/26de/6479805/8b344574f2bd/molecules-24-01290-g002.jpg
https://cdn.ncbi.nlm.nih.gov/pmc/blobs/26de/6479805/10323006db2d/molecules-24-01290-g003.jpg
https://cdn.ncbi.nlm.nih.gov/pmc/blobs/26de/6479805/ec623b82ff95/molecules-24-01290-g004.jpg
https://cdn.ncbi.nlm.nih.gov/pmc/blobs/26de/6479805/be1e736c2c30/molecules-24-01290-g005.jpg
https://cdn.ncbi.nlm.nih.gov/pmc/blobs/26de/6479805/502aa5f6aeb5/molecules-24-01290-g006.jpg
https://cdn.ncbi.nlm.nih.gov/pmc/blobs/26de/6479805/7fd8eacaff78/molecules-24-01290-g001.jpg
https://cdn.ncbi.nlm.nih.gov/pmc/blobs/26de/6479805/8b344574f2bd/molecules-24-01290-g002.jpg
https://cdn.ncbi.nlm.nih.gov/pmc/blobs/26de/6479805/10323006db2d/molecules-24-01290-g003.jpg
https://cdn.ncbi.nlm.nih.gov/pmc/blobs/26de/6479805/ec623b82ff95/molecules-24-01290-g004.jpg
https://cdn.ncbi.nlm.nih.gov/pmc/blobs/26de/6479805/be1e736c2c30/molecules-24-01290-g005.jpg
https://cdn.ncbi.nlm.nih.gov/pmc/blobs/26de/6479805/502aa5f6aeb5/molecules-24-01290-g006.jpg

相似文献

1
Apigenin Inhibits IL-31 Cytokine in Human Mast Cell and Mouse Skin Tissues.芹菜素抑制人肥大细胞和小鼠皮肤组织中的白细胞介素-31 细胞因子。
Molecules. 2019 Apr 2;24(7):1290. doi: 10.3390/molecules24071290.
2
Sopoongsan inhibits mast cell-mediated anaphylactic reactions and inflammatory cytokine secretion.索蓬山抑制肥大细胞介导的过敏反应和炎性细胞因子分泌。
Int Arch Allergy Immunol. 2006;139(1):31-7. doi: 10.1159/000089520. Epub 2005 Nov 3.
3
Huang-Lian-Jie-Du extract ameliorates atopic dermatitis-like skin lesions induced by 2,4-dinitrobenzene in mice via suppression of MAPKs and NF-κB pathways.黄连解毒提取物通过抑制 MAPKs 和 NF-κB 通路改善二硝基苯诱导的小鼠特应性皮炎样皮肤损伤。
J Ethnopharmacol. 2020 Mar 1;249:112367. doi: 10.1016/j.jep.2019.112367. Epub 2019 Oct 31.
4
Soybean Fermented with (Cheonggukjang) Ameliorates Atopic Dermatitis-Like Skin Lesion in Mice by Suppressing Infiltration of Mast Cells and Production of IL-31 Cytokine.用(清国酱)发酵的大豆通过抑制肥大细胞浸润和白细胞介素-31细胞因子的产生改善小鼠特应性皮炎样皮肤病变。
J Microbiol Biotechnol. 2019 May 28;29(5):827-837. doi: 10.4014/jmb.1812.12046.
5
Sophora flavescens Aiton inhibits the production of pro-inflammatory cytokines through inhibition of the NF kappaB/IkappaB signal pathway in human mast cell line (HMC-1).苦参通过抑制人肥大细胞系(HMC-1)中的NF-κB/IκB信号通路来抑制促炎细胞因子的产生。
Toxicol In Vitro. 2009 Mar;23(2):251-8. doi: 10.1016/j.tiv.2008.12.002. Epub 2008 Dec 13.
6
Inhibitory effect of galangin on atopic dermatitis-like skin lesions.高良姜素对特应性皮炎样皮肤损伤的抑制作用。
Food Chem Toxicol. 2014 Jun;68:135-41. doi: 10.1016/j.fct.2014.03.021. Epub 2014 Mar 25.
7
Improvement of atopic dermatitis with topical application of Spirodela polyrhiza.通过外用浮萍改善特应性皮炎。
J Ethnopharmacol. 2016 Mar 2;180:12-7. doi: 10.1016/j.jep.2016.01.010. Epub 2016 Jan 14.
8
Caffeic acid phenethyl ester promotes anti-inflammatory effects by inhibiting MAPK and NF-κB signaling in activated HMC-1 human mast cells.咖啡酸苯乙酯通过抑制活化的人肥大细胞HMC-1中的丝裂原活化蛋白激酶(MAPK)和核因子κB(NF-κB)信号传导来促进抗炎作用。
Pharm Biol. 2014 Jul;52(7):926-32. doi: 10.3109/13880209.2013.865243.
9
Anti-Allergic and Anti-Inflammatory Effects of Neferine on RBL-2H3 Cells.荷叶碱对 RBL-2H3 细胞的抗过敏和抗炎作用。
Int J Mol Sci. 2021 Oct 12;22(20):10994. doi: 10.3390/ijms222010994.
10
Antiallergic effect of KOB03, a polyherbal medicine, on mast cell-mediated allergic responses in ovalbumin-induced allergic rhinitis mouse and human mast cells.一种复方草药药物 KOB03 对卵清蛋白诱导的变应性鼻炎小鼠和人肥大细胞介导的过敏反应的抗过敏作用。
J Ethnopharmacol. 2012 Aug 1;142(3):684-93. doi: 10.1016/j.jep.2012.05.039. Epub 2012 Jun 9.

引用本文的文献

1
Flavonoids in atopic dermatitis: mechanisms, delivery innovations, and translational strategies.特应性皮炎中的类黄酮:作用机制、递送创新及转化策略
Front Pharmacol. 2025 Aug 22;16:1631977. doi: 10.3389/fphar.2025.1631977. eCollection 2025.
2
Leaf and Stem Extract Ameliorates Atopic Dermatitis-like Skin Inflammation by Inhibiting JAK/STAT Signaling.叶和茎提取物通过抑制JAK/STAT信号通路改善特应性皮炎样皮肤炎症。
Int J Mol Sci. 2025 May 9;26(10):4560. doi: 10.3390/ijms26104560.
3
Electroacupuncture exerts antipruritic and anti-inflammatory effects on atopic dermatitis by activating CB2 receptor.

本文引用的文献

1
Morin attenuates cigarette smoke-induced lung inflammation through inhibition of PI3K/AKT/NF-κB signaling pathway.莫林通过抑制 PI3K/AKT/NF-κB 信号通路减轻香烟烟雾诱导的肺部炎症。
Int Immunopharmacol. 2018 Oct;63:198-203. doi: 10.1016/j.intimp.2018.07.035. Epub 2018 Aug 9.
2
Fisetin inhibits IL-31 production in stimulated human mast cells: Possibilities of fisetin being exploited to treat histamine-independent pruritus.漆黄素抑制刺激的人肥大细胞中的白细胞介素-31 的产生:利用漆黄素治疗非组胺依赖性瘙痒的可能性。
Life Sci. 2018 May 15;201:121-129. doi: 10.1016/j.lfs.2018.03.056. Epub 2018 Mar 28.
3
Cardiovascular and cerebrovascular risk with nonsteroidal anti-inflammatory drugs and cyclooxygenase 2 inhibitors: latest evidence and clinical implications.
电针通过激活CB2受体对特应性皮炎发挥止痒和抗炎作用。
Chin Med. 2025 May 26;20(1):72. doi: 10.1186/s13020-025-01102-4.
4
Analgesic and anti-inflammatory effects of galangin: a potential pathway to inhibit transient receptor potential vanilloid 1 receptor activation.高良姜素的镇痛和抗炎作用:抑制瞬时受体电位香草酸亚型1受体激活的潜在途径。
Korean J Pain. 2024 Apr 1;37(2):151-163. doi: 10.3344/kjp.23363.
5
Mast cell-sensory neuron crosstalk in allergic diseases.肥大细胞-感觉神经元相互作用与过敏性疾病。
J Allergy Clin Immunol. 2024 Apr;153(4):939-953. doi: 10.1016/j.jaci.2024.02.005. Epub 2024 Feb 17.
6
Apigenin accelerates wound healing in diabetic mice by promoting macrophage M2-type polarization via increasing miR-21 expression.芹菜素通过增加 miR-21 的表达促进巨噬细胞 M2 型极化加速糖尿病小鼠伤口愈合。
Mol Cell Biochem. 2024 Nov;479(11):3119-3127. doi: 10.1007/s11010-023-04885-y. Epub 2024 Jan 23.
7
In Vitro Safety and Efficacy Evaluation of a Callus Culture Extract and Processing Waste Extract Combination as a Cosmetic Ingredient.愈伤组织培养提取物与加工废料提取物组合作为化妆品成分的体外安全性和功效评估
Plants (Basel). 2024 Jan 18;13(2):287. doi: 10.3390/plants13020287.
8
Network Pharmacology, Molecular Docking and Experimental Verification Revealing the Mechanism of Fule Cream against Childhood Atopic Dermatitis.网络药理学、分子对接及实验验证揭示复乐乳膏治疗儿童特应性皮炎的作用机制。
Curr Comput Aided Drug Des. 2024;20(6):860-875. doi: 10.2174/0115734099257922230925074407.
9
Exploring the Potential of Supercritical Fluid Extraction of White Ray Florets as a Source of Bioactive (Cosmetic) Ingredients.探索超临界流体萃取白菊花小花作为生物活性(化妆品)成分来源的潜力。
Antioxidants (Basel). 2023 May 12;12(5):1092. doi: 10.3390/antiox12051092.
10
Epicutaneous Sensitization and Food Allergy: Preventive Strategies Targeting Skin Barrier Repair-Facts and Challenges.经皮致敏与食物过敏:针对皮肤屏障修复的预防策略——事实与挑战。
Nutrients. 2023 Feb 21;15(5):1070. doi: 10.3390/nu15051070.
非甾体抗炎药和环氧化酶-2抑制剂与心血管和脑血管风险:最新证据及临床意义
Ther Adv Drug Saf. 2017 Jun;8(6):173-182. doi: 10.1177/2042098617690485. Epub 2017 Feb 10.
4
Exacerbating factors of itch in atopic dermatitis.特应性皮炎瘙痒的加重因素。
Allergol Int. 2017 Jan;66(1):8-13. doi: 10.1016/j.alit.2016.10.005. Epub 2016 Nov 15.
5
A matter of time - How transient transcription factor interactions create dynamic gene regulatory networks.时间问题——瞬时转录因子相互作用如何创建动态基因调控网络。
Biochim Biophys Acta Gene Regul Mech. 2017 Jan;1860(1):75-83. doi: 10.1016/j.bbagrm.2016.08.007. Epub 2016 Aug 18.
6
Neuroprotective effects of apigenin against inflammation, neuronal excitability and apoptosis in an induced pluripotent stem cell model of Alzheimer's disease.芹菜素对阿尔茨海默病诱导多能干细胞模型中炎症、神经元兴奋性和细胞凋亡的神经保护作用。
Sci Rep. 2016 Aug 12;6:31450. doi: 10.1038/srep31450.
7
Cellular and molecular immunologic mechanisms in patients with atopic dermatitis.特应性皮炎患者的细胞和分子免疫机制。
J Allergy Clin Immunol. 2016 Aug;138(2):336-49. doi: 10.1016/j.jaci.2016.06.010.
8
Soothing and anti-itch effect of quercetin phytosome in human subjects: a single-blind study.槲皮素磷脂复合物对人体的舒缓和止痒作用:一项单盲研究。
Clin Cosmet Investig Dermatol. 2016 Feb 26;9:55-62. doi: 10.2147/CCID.S98890. eCollection 2016.
9
Curcumin and Apigenin - novel and promising therapeutics against chronic neuroinflammation in Alzheimer's disease.姜黄素和芹菜素——对抗阿尔茨海默病慢性神经炎症的新型且有前景的疗法。
Neural Regen Res. 2015 Aug;10(8):1181-5. doi: 10.4103/1673-5374.162686.
10
Flavonoid apigenin inhibits lipopolysaccharide-induced inflammatory response through multiple mechanisms in macrophages.黄酮类化合物芹菜素通过多种机制抑制巨噬细胞中脂多糖诱导的炎症反应。
PLoS One. 2014 Sep 5;9(9):e107072. doi: 10.1371/journal.pone.0107072. eCollection 2014.