Suppr超能文献

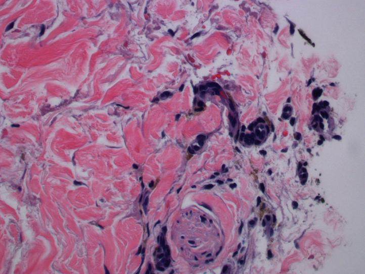
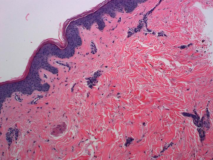
Severe scurvy in an adult male without clear risk factors for nutritional deficiency.

作者信息

Day William, Gyurjyan-Bunch Adelaida, Van Voorhees Abby

机构信息

Eastern Virginia Medical School, Norfolk, Virginia.

Department of Dermatology, Eastern Virginia Medical School, Norfolk, Virginia.

出版信息

JAAD Case Rep. 2019 Apr 1;5(4):309-311. doi: 10.1016/j.jdcr.2019.01.031. eCollection 2019 Apr.

Abstract
摘要
https://cdn.ncbi.nlm.nih.gov/pmc/blobs/8573/6446126/4c865c76dc2a/gr1.jpg

文献检索

告别复杂PubMed语法,用中文像聊天一样搜索,搜遍4000万医学文献。AI智能推荐,让科研检索更轻松。

立即免费搜索

文件翻译

保留排版,准确专业,支持PDF/Word/PPT等文件格式,支持 12+语言互译。

免费翻译文档

深度研究

AI帮你快速写综述,25分钟生成高质量综述,智能提取关键信息,辅助科研写作。

立即免费体验